Skip to main content

SKAR Antibody - BSA Free

Novus Biologicals, part of Bio-Techne | Catalog # NBP1-57411

Novus Biologicals, part of Bio-Techne
Catalog #
Availability
Size / Price
Qty
Loading...
NBP1-57411

Key Product Details

Species Reactivity

Human

Applications

Immunohistochemistry, Immunohistochemistry-Paraffin, Western Blot

Label

Unconjugated

Antibody Source

Polyclonal Rabbit IgG

Format

BSA Free

Concentration

0.5 mg/ml

Product Specifications

Immunogen

Synthetic peptides corresponding to POLDIP3(polymerase (DNA-directed), delta interacting protein 3) The peptide sequence was selected from the C terminal of POLDIP3. Peptide sequence DAITAYKKYNNRCLDGQPMKCNLHMNGNVITSDQPILLRLSDSPSMKKES. The peptide sequence for this immunogen was taken from within the described region.

Clonality

Polyclonal

Host

Rabbit

Isotype

IgG

Description

The addition of 50% glycerol is optional for those storing this antibody at -20C and not aliquoting smaller units. However, please note that glycerol may interrupt some downstream antibody applications and should be added with caution.

Scientific Data Images for SKAR Antibody - BSA Free

Western Blot: SKAR Antibody [NBP1-57411]

Western Blot: SKAR Antibody [NBP1-57411]

Western Blot: SKAR Antibody [NBP1-57411] - 721_B tissue lysate at a concentration of 1ug/ml.
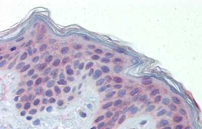
Immunohistochemistry-Paraffin: SKAR Antibody [NBP1-57411]

Immunohistochemistry-Paraffin: SKAR Antibody [NBP1-57411]

Immunohistochemistry-Paraffin: SKAR Antibody [NBP1-57411] - Human Skin Tissue, 10ug/ml.

Applications for SKAR Antibody - BSA Free

Application
Recommended Usage

Immunohistochemistry

1:10-1:500

Immunohistochemistry-Paraffin

1:10-1:500

Western Blot

1.0 ug/ml

Formulation, Preparation, and Storage

Purification

Affinity purified

Formulation

PBS, 2% Sucrose

Format

BSA Free

Preservative

0.09% Sodium Azide

Concentration

0.5 mg/ml

Shipping

The product is shipped with polar packs. Upon receipt, store it immediately at the temperature recommended below.

Stability & Storage

Store at 4C short term. Aliquot and store at -20C long term. Avoid freeze-thaw cycles.

Background: SKAR

POLDIP3 is a protein that interacts with the DNA polymerase delta p50 subunit. This protein is a specific target of S6 kinase 1 and regulates cell growth. This gene encodes a protein that interacts with the DNA polymerase delta p50 subunit. This protein is a specific target of S6 kinase 1 and regulates cell growth. Two transcript variants that encode different protein isoforms have been identified.

Alternate Names

KIAA1649polymerase delta interacting protein 46, p46, PDIP46S6K1 Aly/REF-like target, polymerase (DNA-directed), delta interacting protein 3, RNA-binding protein P46, SKARpolymerase delta-interacting protein 3,46 kDa DNA polymerase delta interaction protein

Gene Symbol

POLDIP3

UniProt

Additional SKAR Products

Product Documents for SKAR Antibody - BSA Free

Certificate of Analysis

To download a Certificate of Analysis, please enter a lot number in the search box below.

Product Specific Notices for SKAR Antibody - BSA Free

This product is for research use only and is not approved for use in humans or in clinical diagnosis. Primary Antibodies are guaranteed for 1 year from date of receipt.

Loading...
Loading...
Loading...
Loading...