Skip to main content

SF3B2 Antibody - BSA Free

Novus Biologicals, part of Bio-Techne | Catalog # NBP3-38205

Novus Biologicals, part of Bio-Techne
Catalog #
Availability
Size / Price
Qty
Loading...
NBP3-38205-100ul
NBP3-38205-20ul

Key Product Details

Species Reactivity

Human, Mouse, Rat

Applications

ELISA, Immunocytochemistry/ Immunofluorescence, Immunohistochemistry, Immunohistochemistry-Paraffin, Western Blot

Label

Unconjugated

Antibody Source

Polyclonal Rabbit IgG

Format

BSA Free

Concentration

Please see the vial label for concentration. If unlisted please contact technical services.

Product Specifications

Immunogen

Recombinant fusion protein containing a sequence corresponding to amino acids 616-895 of human SF3B2 (NP_006833.2).

Sequence:
SLGMPVGPNAHKVPPPWLIAMQRYGPPPSYPNLKIPGLNSPIPESCSFGYHAGGWGKPPVDETGKPLYGDVFGTNAAEFQTKTEEEEIDRTPWGELEPSDEESSEEEEEEESDEDKPDETGFITPADSGLITPGGFSSVPAGMETPELIELRKKKIEEAMDGSETPQLFTVLPEKRTATVGGAMMGSTHIYDMSTVMSRKGPAPELQGVEVALAPEELELDPMAMTQKYEEHVREQQAQVEKEDFSDMVAEHAAKQKQKKRKAQPQDSRGGSKKYKEFKF

Clonality

Polyclonal

Host

Rabbit

Isotype

IgG

Theoretical MW

100 kDa.
Disclaimer note: The observed molecular weight of the protein may vary from the listed predicted molecular weight due to post translational modifications, post translation cleavages, relative charges, and other experimental factors.

Description

Novus Biologicals Rabbit SF3B2 Antibody - BSA Free (NBP3-38205) is a polyclonal antibody validated for use in IHC, WB, ELISA and ICC/IF. All Novus Biologicals antibodies are covered by our 100% guarantee.

Scientific Data Images for SF3B2 Antibody - BSA Free

SF3B2 Antibody

Immunohistochemistry: SF3B2 Antibody [NBP3-38205] -

Immunohistochemistry: SF3B2 Antibody [NBP3-38205] - Immunohistochemistry analysis of paraffin-embedded Human lung cancer using SF3B2 Rabbit pAb at dilution of 1:100 (40x lens). Microwave antigen retrieval performed with 0.01M PBS Buffer (pH 7.2) prior to IHC staining.
SF3B2 Antibody

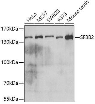
Western Blot: SF3B2 Antibody [NBP3-38205] -

Western Blot: SF3B2 Antibody [NBP3-38205] - Western blot analysis of various lysates using SF3B2 Rabbit pAb at 1:1000 dilution.
Secondary antibody: HRP-conjugated Goat anti-Rabbit IgG (H+L) at 1:10000 dilution.
Lysates/proteins: 25ug per lane.
Blocking buffer: 3% nonfat dry milk in TBST.
Detection: ECL Basic Kit.
Exposure time: 5s.
SF3B2 Antibody

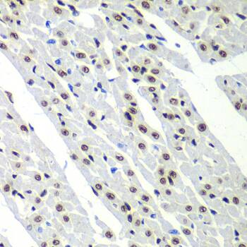
Immunohistochemistry: SF3B2 Antibody [NBP3-38205] -

Immunohistochemistry: SF3B2 Antibody [NBP3-38205] - Immunohistochemistry analysis of paraffin-embedded Rat heart using SF3B2 Rabbit pAb at dilution of 1:100 (40x lens). Microwave antigen retrieval performed with 0.01M PBS Buffer (pH 7.2) prior to IHC staining.

Applications for SF3B2 Antibody - BSA Free

Application
Recommended Usage

Immunocytochemistry/ Immunofluorescence

1:50 - 1:200

Immunohistochemistry-Paraffin

1:50 - 1:200

Western Blot

1:500 - 1:2000

Formulation, Preparation, and Storage

Purification

Affinity purified

Formulation

PBS (pH 7.3), 50% glycerol

Format

BSA Free

Preservative

0.02% Sodium Azide

Concentration

Please see the vial label for concentration. If unlisted please contact technical services.

Shipping

The product is shipped with polar packs. Upon receipt, store it immediately at the temperature recommended below.

Stability & Storage

Store at -20C. Avoid freeze-thaw cycles.

Background: SF3B2

SF3B2 encodes subunit 2 of the splicing factor 3b protein complex. Splicing factor 3b, together with splicing factor 3a and a 12S RNA unit, forms the U2 small nuclear ribonucleoproteins complex (U2 snRNP). The splicing factor 3b/3a complex binds pre-mRNA upstream of the intron's branch site in a sequence-independent manner and may anchor the U2 snRNP to the pre-mRNA. Splicing factor 3b is also a component of the minor U12-type spliceosome. Subunit 2 associates with pre-mRNA upstream of the branch site at the anchoring site. Subunit 2 also interacts directly with subunit 4 of the splicing factor 3b complex. Subunit 2 is a highly hydrophilic protein with a proline-rich N-terminus and a glutamate-rich stretch in the C-terminus.

Alternate Names

Cus1, pre-mRNA splicing factor SF3b 145 kDa subunit, Pre-mRNA-splicing factor SF3b 145 kDa subunit, SAP145SAP 145, SF3b1, SF3B145, SF3b150, spliceosome associated protein 145, Spliceosome-associated protein 145, splicing factor 3B subunit 2, splicing factor 3b, subunit 2, 145kD, splicing factor 3b, subunit 2, 145kDa

Gene Symbol

SF3B2

Additional SF3B2 Products

Product Documents for SF3B2 Antibody - BSA Free

Certificate of Analysis

To download a Certificate of Analysis, please enter a lot number in the search box below.

Product Specific Notices for SF3B2 Antibody - BSA Free

This product is for research use only and is not approved for use in humans or in clinical diagnosis. Primary Antibodies are guaranteed for 1 year from date of receipt.

Loading...
Loading...
Loading...
Loading...