Serpin E2/PN1 Antibody (OTI2C9) - Azide and BSA Free
Novus Biologicals, part of Bio-Techne | Catalog # NBP2-74117
Conjugate
Catalog #
Key Product Details
Species Reactivity
Human, Mouse
Applications
Immunohistochemistry, Immunohistochemistry-Paraffin, Western Blot, Flow Cytometry, CyTOF-ready
Label
Unconjugated
Antibody Source
Monoclonal Mouse IgG1 Clone # OTI2C9
Format
Azide and BSA Free
Concentration
LYOPH mg/ml
Product Specifications
Immunogen
Full length human recombinant protein of human SERPINE2(NP_006207) produced in HEK293T cell.
Reactivity Notes
Please note that this antibody is reactive to Mouse and derived from the same host, Mouse. Mouse-On-Mouse blocking reagent may be needed for IHC and ICC experiments to reduce high background signal. You can find these reagents under catalog numbers PK-2200-NB and MP-2400-NB. Please contact Technical Support if you have any questions.
Clonality
Monoclonal
Host
Mouse
Isotype
IgG1
Theoretical MW
41.8 kDa.
Disclaimer note: The observed molecular weight of the protein may vary from the listed predicted molecular weight due to post translational modifications, post translation cleavages, relative charges, and other experimental factors.
Disclaimer note: The observed molecular weight of the protein may vary from the listed predicted molecular weight due to post translational modifications, post translation cleavages, relative charges, and other experimental factors.
Description
Novus Biologicals Mouse Serpin E2/PN1 Antibody (OTI2C9) - Azide and BSA Free (NBP2-01984) is a monoclonal antibody validated for use in IHC, WB and Flow. All Novus Biologicals antibodies are covered by our 100% guarantee.
Scientific Data Images for Serpin E2/PN1 Antibody (OTI2C9) - Azide and BSA Free
Western Blot: Serpin E2/PN1 Antibody (OTI2C9)Azide and BSA Free [NBP2-74117]
Western Blot: Serpin E2/PN1 Antibody (OTI2C9) - Azide and BSA Free [NBP2-74117] - HEK293T cells were transfected with the pCMV6-ENTRY control (Left lane) or pCMV6-ENTRY SERPINE2 (Right lane) cDNA for 48 hrs and lysed. Equivalent amounts of cell lysates (5 ug per lane) were separated by SDS-PAGE and immunoblotted with anti-SERPINE2.Immunohistochemistry: Serpin E2/PN1 Antibody (OTI2C9) - Azide and BSA Free [NBP2-74117]
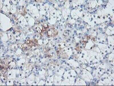
Immunohistochemistry: Serpin E2/PN1 Antibody (OTI2C9) - Azide and BSA Free [NBP2-74117] - Staining of paraffin-embedded Adenocarcinoma of Human ovary tissue using anti-SERPINE2 mouse monoclonal antibody.Flow Cytometry: Serpin E2/PN1 Antibody (OTI2C9) - Azide and BSA Free [NBP2-74117]
Flow Cytometry: Serpin E2/PN1 Antibody (OTI2C9) - Azide and BSA Free [NBP2-74117] - HEK293T cells transfected with either overexpression plasmid (Red) or empty vector control plasmid (Blue) were immunostaining by anti-SERPINE2 antibody, and then analyzed by flow cytometry.Applications for Serpin E2/PN1 Antibody (OTI2C9) - Azide and BSA Free
Application
Recommended Usage
Flow Cytometry
1:100
Immunohistochemistry
1:150
Immunohistochemistry-Paraffin
1:150
Western Blot
1:2000
Formulation, Preparation, and Storage
Purification
Immunogen affinity purified
Reconstitution
we recommend adding 100uL distilled water to a final antibody concentration of about 1 mg/mL. To use this carrier-free antibody for conjugation experiment, we strongly recommend performing another round of desalting process.
Formulation
Lyophilized from PBS (pH 7.3) with 8% Trehalose
Format
Azide and BSA Free
Preservative
No Preservative
Concentration
LYOPH mg/ml
Shipping
The product is shipped with polar packs. Upon receipt, store it immediately at the temperature recommended below.
Stability & Storage
Store at -20C. Avoid freeze-thaw cycles.
Background: Serpin E2/PN1
Alternate Names
GDN, GdNPF, Proteinase Nexin 1
Gene Symbol
SERPINE2
Additional Serpin E2/PN1 Products
Product Documents for Serpin E2/PN1 Antibody (OTI2C9) - Azide and BSA Free
Product Specific Notices for Serpin E2/PN1 Antibody (OTI2C9) - Azide and BSA Free
This product is for research use only and is not approved for use in humans or in clinical diagnosis. Primary Antibodies are guaranteed for 1 year from date of receipt.
Loading...
Loading...
Loading...
Loading...
Loading...
Loading...