Skip to main content

Serpin B6 Antibody (OTI1C5) - Azide and BSA Free

Novus Biologicals, part of Bio-Techne | Catalog # NBP2-74111

Novus Biologicals, part of Bio-Techne
Catalog #
Availability
Size / Price
Qty
Loading...
NBP2-74111
Conjugate
Catalog #

Key Product Details

Species Reactivity

Human, Mouse, Monkey

Applications

Immunohistochemistry, Immunohistochemistry-Paraffin, Western Blot, Flow Cytometry, CyTOF-ready

Label

Unconjugated

Antibody Source

Monoclonal Mouse IgG2A Clone # OTI1C5

Format

Azide and BSA Free

Concentration

LYOPH mg/ml

Product Specifications

Immunogen

Full length human recombinant protein of human SERPINB6(NP_004559) produced in HEK293T cell.

Reactivity Notes

Please note that this antibody is reactive to Mouse and derived from the same host, Mouse. Mouse-On-Mouse blocking reagent may be needed for IHC and ICC experiments to reduce high background signal. You can find these reagents under catalog numbers PK-2200-NB and MP-2400-NB. Please contact Technical Support if you have any questions.

Clonality

Monoclonal

Host

Mouse

Isotype

IgG2A

Scientific Data Images for Serpin B6 Antibody (OTI1C5) - Azide and BSA Free

Western Blot: Serpin B6 Antibody (OTI1C5)Azide and BSA Free [NBP2-74111]

Western Blot: Serpin B6 Antibody (OTI1C5)Azide and BSA Free [NBP2-74111]

Western Blot: Serpin B6 Antibody (OTI1C5) - Azide and BSA Free [NBP2-74111] - HEK293T cells were transfected with the pCMV6-ENTRY control (Left lane) or pCMV6-ENTRY SerpinB6 (Right lane) cDNA for 48 hrs and lysed. Equivalent amounts of cell lysates (5 ug per lane) were separated by SDS-PAGE and immunoblotted with anti-SerpinB6.
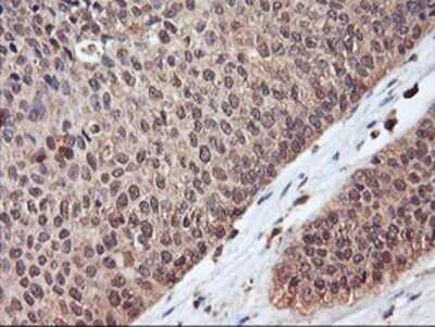
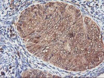
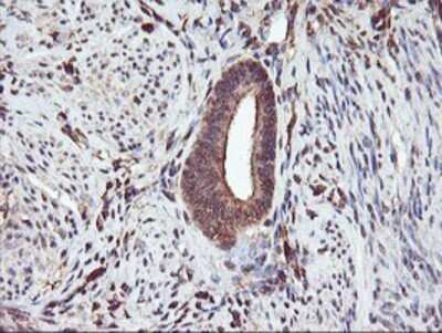
Immunohistochemistry: Serpin B6 Antibody (OTI1C5) - Azide and BSA Free [NBP2-74111]

Immunohistochemistry: Serpin B6 Antibody (OTI1C5) - Azide and BSA Free [NBP2-74111]

Immunohistochemistry: Serpin B6 Antibody (OTI1C5) - Azide and BSA Free [NBP2-74111] - Staining of paraffin-embedded Human endometrium tissue using anti-SerpinB6 mouse monoclonal antibody.
Flow Cytometry: Serpin B6 Antibody (OTI1C5) - Azide and BSA Free [NBP2-74111]

Flow Cytometry: Serpin B6 Antibody (OTI1C5) - Azide and BSA Free [NBP2-74111]

Flow Cytometry: Serpin B6 Antibody (OTI1C5) - Azide and BSA Free [NBP2-74111] - HEK293T cells transfected with either overexpression plasmid (Red) or empty vector control plasmid (Blue) were immunostaining by anti-SerpinB6 antibody, and then analyzed by flow cytometry.

Applications for Serpin B6 Antibody (OTI1C5) - Azide and BSA Free

Application
Recommended Usage

Flow Cytometry

1:100

Immunohistochemistry

1:150

Western Blot

1:500-2000

Formulation, Preparation, and Storage

Purification

Immunogen affinity purified

Reconstitution

we recommend adding 100uL distilled water to a final antibody concentration of about 1 mg/mL. To use this carrier-free antibody for conjugation experiment, we strongly recommend performing another round of desalting process.

Formulation

Lyophilized from PBS (pH 7.3) with 8% Trehalose

Format

Azide and BSA Free

Preservative

No Preservative

Concentration

LYOPH mg/ml

Shipping

The product is shipped with polar packs. Upon receipt, store it immediately at the temperature recommended below.

Stability & Storage

Store at -20C. Avoid freeze-thaw cycles.

Background: Serpin B6

SerpinB6 inhibits thrombin

Alternate Names

CAP, PI6, PTI

Gene Symbol

SERPINB6

Additional Serpin B6 Products

Product Documents for Serpin B6 Antibody (OTI1C5) - Azide and BSA Free

Certificate of Analysis

To download a Certificate of Analysis, please enter a lot number in the search box below.

Product Specific Notices for Serpin B6 Antibody (OTI1C5) - Azide and BSA Free

This product is for research use only and is not approved for use in humans or in clinical diagnosis. Primary Antibodies are guaranteed for 1 year from date of receipt.

Loading...
Loading...
Loading...
Loading...
Loading...
Loading...