Skip to main content

Serpin B6 Antibody (OTI1C5)

Novus Biologicals, part of Bio-Techne | Catalog # NBP2-01650

Novus Biologicals, part of Bio-Techne
Catalog #
Availability
Size / Price
Qty
Loading...
NBP2-01650
Conjugate
Catalog #

Key Product Details

Species Reactivity

Human, Mouse, Monkey

Applications

Immunohistochemistry, Immunohistochemistry-Paraffin, Western Blot, Flow Cytometry

Label

Unconjugated

Antibody Source

Monoclonal Mouse IgG2A Clone # OTI1C5

Concentration

0.71 mg/ml

Product Specifications

Immunogen

Full length human recombinant protein of human SERPINB6(NP_004559) produced in HEK293T cell.

Reactivity Notes

Please note that this antibody is reactive to Mouse and derived from the same host, Mouse. Mouse-On-Mouse blocking reagent may be needed for IHC and ICC experiments to reduce high background signal. You can find these reagents under catalog numbers PK-2200-NB and MP-2400-NB. Please contact Technical Support if you have any questions.

Clonality

Monoclonal

Host

Mouse

Isotype

IgG2A

Scientific Data Images for Serpin B6 Antibody (OTI1C5)

Western Blot: Serpin B6 Antibody (OTI1C5) [NBP2-01650]

Western Blot: Serpin B6 Antibody (OTI1C5) [NBP2-01650]

Western Blot: Serpin B6 Antibody (1C5) [NBP2-01650] - Analysis of extracts (10ug) from 9 Human tissue by using anti-SERPINB6 monoclonal antibody at 1:200 (1: Testis; 2: Omentum; 3: Uterus; 4: Breast; 5: Brain; 6: Liver; 7: Ovary; 8: Thyroid gland; 9: colon)
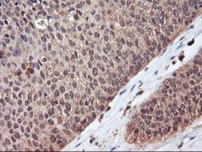
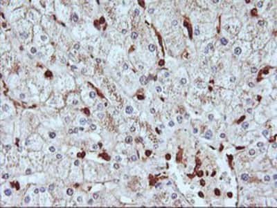
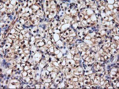
Immunohistochemistry-Paraffin: Serpin B6 Antibody (OTI1C5) [NBP2-01650]

Immunohistochemistry-Paraffin: Serpin B6 Antibody (OTI1C5) [NBP2-01650]

Immunohistochemistry-Paraffin: SerpinB6 Antibody (1C5) [NBP2-01650] - Staining of paraffin-embedded Human liver tissue using anti-SerpinB6 mouse monoclonal antibody.
Flow Cytometry: Serpin B6 Antibody (OTI1C5) [NBP2-01650]

Flow Cytometry: Serpin B6 Antibody (OTI1C5) [NBP2-01650]

Flow Cytometry: SerpinB6 Antibody (1C5) [NBP2-01650] - HEK293T cells transfected with either overexpression plasmid (Red) or empty vector control plasmid (Blue) were immunostained by anti-SerpinB6 antibody, and then analyzed by flow cytometry.

Applications for Serpin B6 Antibody (OTI1C5)

Application
Recommended Usage

Flow Cytometry

1:100

Immunohistochemistry

1:150

Immunohistochemistry-Paraffin

1:150

Western Blot

1:500-2000

Formulation, Preparation, and Storage

Purification

Immunogen affinity purified

Formulation

PBS (pH 7.3), 1.0% BSA and 50% Glycerol

Preservative

0.02% Sodium Azide

Concentration

0.71 mg/ml

Shipping

The product is shipped with polar packs. Upon receipt, store it immediately at the temperature recommended below.

Stability & Storage

Store at -20C. Avoid freeze-thaw cycles.

Background: Serpin B6

The protein encoded by this gene is a member of the serpin (serine proteinase inhibitor) superfamily, and ovalbumin(ov)-serpin subfamily. It was originally discovered as a placental thrombin inhibitor. The mouse homolog was found to be expressed in the hair cells of the inner ear. Mutations in this gene are associated with nonsyndromic progressive hearing loss, suggesting that this serpin plays an important role in the inner ear in the protection against leakage of lysosomal content during stress, and that loss of this protection results in cell death and sensorineural hearing loss. Alternatively spliced transcript variants have been found for this gene. [provided by RefSeq].

Alternate Names

CAP, PI6, PTI

Entrez Gene IDs

5269 (Human)

Gene Symbol

SERPINB6

Additional Serpin B6 Products

Product Documents for Serpin B6 Antibody (OTI1C5)

Certificate of Analysis

To download a Certificate of Analysis, please enter a lot number in the search box below.

Product Specific Notices for Serpin B6 Antibody (OTI1C5)

This product is for research use only and is not approved for use in humans or in clinical diagnosis. Primary Antibodies are guaranteed for 1 year from date of receipt.

Loading...
Loading...
Loading...
Loading...
Loading...