Skip to main content

Serpin A3/alpha 1-Antichymotrypsin Antibody - BSA Free

Novus Biologicals, part of Bio-Techne | Catalog # NBP1-90296

Novus Biologicals, part of Bio-Techne
Catalog #
Availability
Size / Price
Qty
Loading...
NBP1-90296
NBP1-90296-25ul

Key Product Details

Validated by

Independent Antibodies

Species Reactivity

Human

Applications

Immunohistochemistry, Immunohistochemistry-Paraffin, Western Blot

Label

Unconjugated

Antibody Source

Polyclonal Rabbit IgG

Format

BSA Free

Concentration

Concentrations vary lot to lot. See vial label for concentration. If unlisted please contact technical services.

Product Specifications

Immunogen

This antibody was developed against Recombinant Protein corresponding to amino acids: LASANVDFAFSLYKQLVLKAPDKNVIFSPLSISTALAFLSLGAHNTTLTEILKGLKFNLTETSEAEIHQSFQHLLRTLNQSSDELQLSMGNAMFVKEQLSLLDRFTEDAKRLYGSEAFATDFQDSAAAKKLINDYVKNGGAPHR

Clonality

Polyclonal

Host

Rabbit

Isotype

IgG

Description

Novus Biologicals Rabbit Serpin A3/alpha 1-Antichymotrypsin Antibody - BSA Free (NBP1-90296) is a polyclonal antibody validated for use in IHC and WB. Anti-Serpin A3/alpha 1-Antichymotrypsin Antibody: Cited in 2 publications. All Novus Biologicals antibodies are covered by our 100% guarantee.

Scientific Data Images for Serpin A3/alpha 1-Antichymotrypsin Antibody - BSA Free

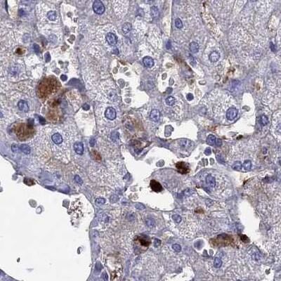
Immunohistochemistry-Paraffin: Serpin A3/alpha 1-Antichymotrypsin Antibody [NBP1-90296]

Immunohistochemistry-Paraffin: Serpin A3/alpha 1-Antichymotrypsin Antibody [NBP1-90296]

Immunohistochemistry-Paraffin: Serpin A3/alpha 1-Antichymotrypsin Antibody [NBP1-90296] - Staining of human cerebral cortex, cervix, uterine, colon and liver using Anti-SERPINA3 antibody NBP1-90296 (A) shows similar protein distribution across tissues to independent antibody NBP1-90295 (B).
Serpin A3/alpha 1-Antichymotrypsin Antibody - BSA Free Immunohistochemistry: Serpin A3/alpha 1-Antichymotrypsin Antibody - BSA Free [NBP1-90296]

Immunohistochemistry: Serpin A3/alpha 1-Antichymotrypsin Antibody - BSA Free [NBP1-90296]

Staining of human cerebral cortex using Anti-SERPINA3 antibody NBP1-90296.
Serpin A3/alpha 1-Antichymotrypsin Antibody - BSA Free Immunohistochemistry: Serpin A3/alpha 1-Antichymotrypsin Antibody - BSA Free [NBP1-90296]

Immunohistochemistry: Serpin A3/alpha 1-Antichymotrypsin Antibody - BSA Free [NBP1-90296]

Staining of human cervix, uterine using Anti-SERPINA3 antibody NBP1-90296.

Applications for Serpin A3/alpha 1-Antichymotrypsin Antibody - BSA Free

Application
Recommended Usage

Immunohistochemistry

1:2500 - 1:5000

Immunohistochemistry-Paraffin

1:2500 - 1:5000

Western Blot

0.04-0.4 ug/ml
Application Notes
For IHC-Paraffin, HIER pH 6 retrieval is recommended.

Formulation, Preparation, and Storage

Purification

Affinity purified

Formulation

PBS (pH 7.2) and 40% Glycerol

Format

BSA Free

Preservative

0.02% Sodium Azide

Concentration

Concentrations vary lot to lot. See vial label for concentration. If unlisted please contact technical services.

Shipping

The product is shipped with polar packs. Upon receipt, store it immediately at the temperature recommended below.

Stability & Storage

Store at 4C short term. Aliquot and store at -20C long term. Avoid freeze-thaw cycles.

Background: Serpin A3/alpha 1-Antichymotrypsin

Alpha 1 Antichymotrypsin is a plasma protease inhibitor and member of the serine protease inhibitor class. Polymorphisms in this protein appear to be tissue specific and influence protease targeting. Variation in this protein's sequence have been implicated in Alzheimer's disease, and deficiency of this protein has been associated with liver disease. Mutations have been identified in patients with Parkinson disease and chronic obstructive pulmonary disease.

Alternate Names

alpha 1-Antichymotrypsin

Gene Symbol

SERPINA3

Additional Serpin A3/alpha 1-Antichymotrypsin Products

Product Documents for Serpin A3/alpha 1-Antichymotrypsin Antibody - BSA Free

Certificate of Analysis

To download a Certificate of Analysis, please enter a lot number in the search box below.

Product Specific Notices for Serpin A3/alpha 1-Antichymotrypsin Antibody - BSA Free

This product is for research use only and is not approved for use in humans or in clinical diagnosis. Primary Antibodies are guaranteed for 1 year from date of receipt.

Loading...
Loading...
Loading...
Loading...