Skip to main content

Serpin A3/alpha 1-Antichymotrypsin Antibody (CL10697) - Azide and BSA Free

Novus Biologicals, part of Bio-Techne | Catalog # NBP3-44021

Novus Biologicals, part of Bio-Techne
Catalog #
Availability
Size / Price
Qty
Loading...
NBP3-44021

Key Product Details

Validated by

Orthogonal Validation

Species Reactivity

Human

Applications

Immunohistochemistry-Paraffin

Label

Unconjugated

Antibody Source

Monoclonal Mouse IgG1 Clone # CL10697

Format

Azide and BSA Free

Concentration

LYOPH mg/ml

Product Specifications

Immunogen

This antibody was generated using a recombinant protein sequence of P01011, with the exact immunogen sequence remaining proprietary.

Clonality

Monoclonal

Host

Mouse

Isotype

IgG1

Description

Novus Biologicals Mouse Serpin A3/alpha 1-Antichymotrypsin Antibody (CL10697) - Azide and BSA Free (NBP3-07987) is a monoclonal antibody validated for use in IHC. All Novus Biologicals antibodies are covered by our 100% guarantee.

Scientific Data Images

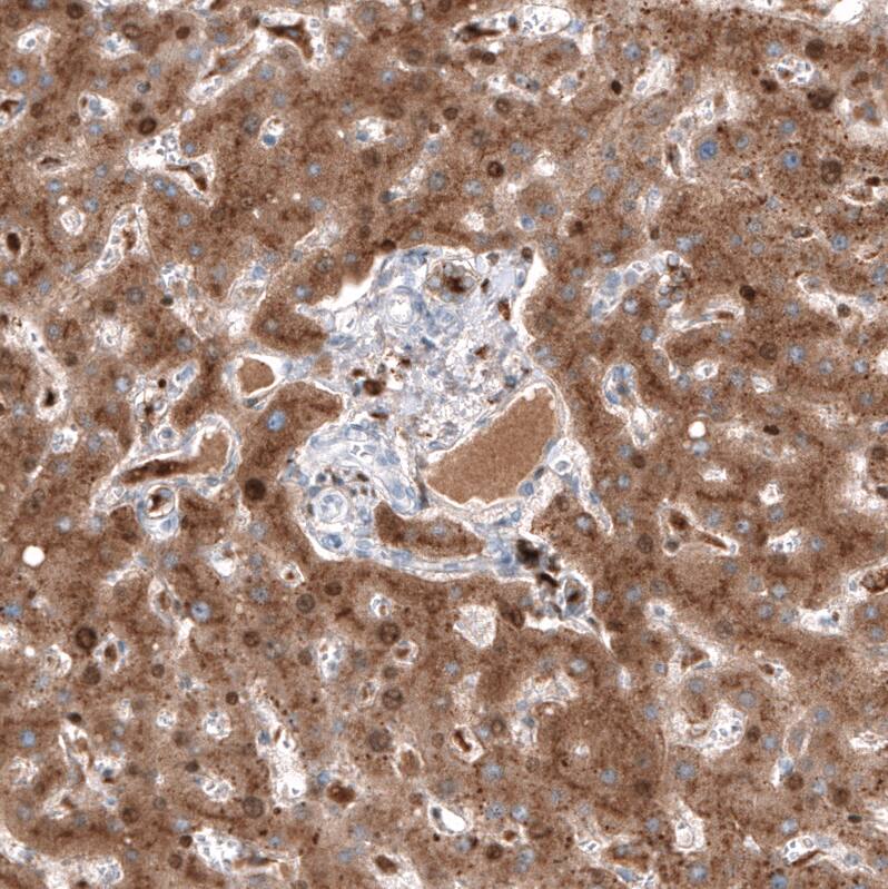
Serpin A3/alpha 1-Antichymotrypsin Antibody (CL10697) - Azide and BSA Free Immunohistochemistry-Paraffin: Serpin A3/alpha 1-Antichymotrypsin Antibody [NBP3-44021]

Immunohistochemistry-Paraffin: Serpin A3/alpha 1-Antichymotrypsin Antibody [NBP3-44021]

Analysis in human liver and skeletal muscle tissues using NBP3-44021 antibody. Corresponding Serpin A3/alpha 1-Antichymotrypsin RNA-seq data are presented for the same tissues.
Serpin A3/alpha 1-Antichymotrypsin Antibody (CL10697) - Azide and BSA Free Immunohistochemistry-Paraffin: Serpin A3/alpha 1-Antichymotrypsin Antibody [NBP3-44021]

Immunohistochemistry-Paraffin: Serpin A3/alpha 1-Antichymotrypsin Antibody [NBP3-44021]

Staining of human cerebral cortex shows cytoplasmic and nuclear positivity in a subset of glial cells.
Serpin A3/alpha 1-Antichymotrypsin Antibody (CL10697) - Azide and BSA Free Immunohistochemistry-Paraffin: Serpin A3/alpha 1-Antichymotrypsin Antibody [NBP3-44021]

Immunohistochemistry-Paraffin: Serpin A3/alpha 1-Antichymotrypsin Antibody [NBP3-44021]

Staining of human skeletal muscle shows no positivity in myocytes as expected.

Applications

Application
Recommended Usage

Immunohistochemistry-Paraffin

1:2500 - 1:5000
Application Notes
For IHC-Paraffin, HIER pH 6 retrieval is recommended.

Formulation, Preparation, and Storage

Purification

Protein A purified

Reconstitution

Centrifuge the vial of lyophilized antibody at 12,000 x g for 20 seconds. Reconstitute by adding sterile, distilled water to achieve a final antibody concentration of 1mg/ml.

Formulation

Lyophilized from a 0.2 um filtered solution in PBS with Trehalose

Format

Azide and BSA Free

Preservative

No Preservative

Concentration

LYOPH mg/ml

Shipping

The product is shipped at ambient temperature. Upon receipt, store it immediately at the temperature recommended below.

Stability & Storage

Store at 4C short term. Aliquot and store at -20C long term. Avoid freeze-thaw cycles.

Background: Serpin A3/alpha 1-Antichymotrypsin

Alpha 1 Antichymotrypsin is a plasma protease inhibitor and member of the serine protease inhibitor class. Polymorphisms in this protein appear to be tissue specific and influence protease targeting. Variation in this protein's sequence have been implicated in Alzheimer's disease, and deficiency of this protein has been associated with liver disease. Mutations have been identified in patients with Parkinson disease and chronic obstructive pulmonary disease.

Alternate Names

alpha 1-Antichymotrypsin

Gene Symbol

SERPINA3

Additional Serpin A3/alpha 1-Antichymotrypsin Products

Product Documents

Certificate of Analysis

To download a Certificate of Analysis, please enter a lot number in the search box below.

Product Specific Notices

This product is for research use only and is not approved for use in humans or in clinical diagnosis. Primary Antibodies are guaranteed for 1 year from date of receipt.

Loading...
Loading...
Loading...
Loading...
Loading...