Skip to main content

Serpin A3/alpha 1-Antichymotrypsin Antibody (AACT/1451)

Novus Biologicals, part of Bio-Techne | Catalog # NBP2-53316

Novus Biologicals, part of Bio-Techne
Catalog #
Availability
Size / Price
Qty
Loading...
NBP2-53316-100ug
NBP2-53316-20ug
Conjugate
Catalog #

Key Product Details

Species Reactivity

Human

Applications

Immunohistochemistry, Immunohistochemistry-Paraffin

Label

Unconjugated

Antibody Source

Monoclonal Mouse IgG1 Clone # AACT/1451

Concentration

0.2 mg/ml

Product Specifications

Immunogen

Recombinant human Serpin A3/alpha 1-Antichymotrypsin protein fragment (around aa 49-187) (exact sequence is proprietary) (Uniprot: P01011)

Localization

Cytoplasmic

Specificity

It recognizes a protein of 65-76kDa, which is identified antichymotrypsin (AACT). AACT is a plasma protease inhibitor synthesized in the liver as a single glycopeptide chain. In human, the normal serum level of AACT is about one-tenth that of their concentrations in plasma increase in response to trauma, surgery and infection. Elevated levels of AACT are widely, but not universally, reported in the cerebrospinal fluid and plasma of AD patients. Prostate-specific antigen (PSA) and its SDS-stable complex with AACT are in widespread use as markers for the diagnosis of prostate cancer. AACT deficiency may also be a possible cause of chronic liver disease. AACT antibody reacts with histiocytes and histiocytic neoplasms. It is widely used to identify histiocytes and tumors derived from them. Acinar tumors of the pancreas and salivary gland may also exhibit AACT positivity.

Marker

Histiocytoma Marker

Clonality

Monoclonal

Host

Mouse

Isotype

IgG1

Description

200ug/ml of antibody purified from Bioreactor Concentrate by Protein A or G. Prepared in 10 mM PBS with 0.05% BSA & 0.05% azide. Also available WITHOUT BSA & azide at 1.0 mg/ml. (NBP2-54339)

Antibody with azide - store at 2 to 8C. Antibody without azide - store at -20 to -80 C.

Scientific Data Images for Serpin A3/alpha 1-Antichymotrypsin Antibody (AACT/1451)

Immunohistochemistry-Paraffin: Serpin A3/alpha 1-Antichymotrypsin Antibody (AACT/1451) [NBP2-53316]

Immunohistochemistry-Paraffin: Serpin A3/alpha 1-Antichymotrypsin Antibody (AACT/1451) [NBP2-53316]

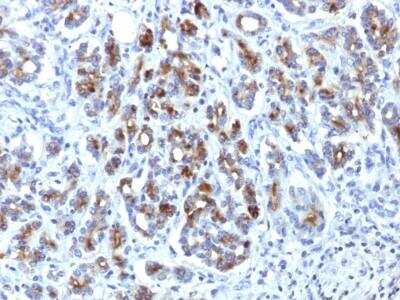
Immunohistochemistry-Paraffin: Serpin A3/alpha 1-Antichymotrypsin Antibody (AACT/1451) [NBP2-53316] - Formalin-fixed, paraffin-embedded human pancreas stained with Serpin A3/alpha 1-Antichymotrypsin Antibody (AACT/1451).
Immunohistochemistry-Paraffin: Serpin A3/alpha 1-Antichymotrypsin Antibody (AACT/1451) [NBP2-53316]

Immunohistochemistry-Paraffin: Serpin A3/alpha 1-Antichymotrypsin Antibody (AACT/1451) [NBP2-53316]

Immunohistochemistry-Paraffin: Serpin A3/alpha 1-Antichymotrypsin Antibody (AACT/1451) [NBP2-53316] - Human Pancreas stained with Alpha-1-Antichymotrypsin Monoclonal Antibody (AACT/1451)

Applications for Serpin A3/alpha 1-Antichymotrypsin Antibody (AACT/1451)

Application
Recommended Usage

Immunohistochemistry-Paraffin

1-2 ug/ml
Application Notes
Immunohistochemistry (Formalin-fixed): 1-2ug/ml for 30 minutes at RT. Staining of formalin-fixed tissues requires heating tissue sections in 10mM Tris with 1mM EDTA, pH 9.0, for 45 min at 95C followed by cooling at RT for 20 minutes.
Optimal dilution for a specific application should be determined.

Formulation, Preparation, and Storage

Purification

Protein A or G purified

Formulation

10 mM PBS with 0.05% BSA

Preservative

0.05% Sodium Azide

Concentration

0.2 mg/ml

Shipping

The product is shipped with polar packs. Upon receipt, store it immediately at the temperature recommended below.

Stability & Storage

Store at 4C.

Background: Serpin A3/alpha 1-Antichymotrypsin

Alpha 1 Antichymotrypsin is a plasma protease inhibitor and member of the serine protease inhibitor class. Polymorphisms in this protein appear to be tissue specific and influence protease targeting. Variation in this protein's sequence have been implicated in Alzheimer's disease, and deficiency of this protein has been associated with liver disease. Mutations have been identified in patients with Parkinson disease and chronic obstructive pulmonary disease.

Alternate Names

alpha 1-Antichymotrypsin

Gene Symbol

SERPINA3

UniProt

Additional Serpin A3/alpha 1-Antichymotrypsin Products

Product Documents for Serpin A3/alpha 1-Antichymotrypsin Antibody (AACT/1451)

Certificate of Analysis

To download a Certificate of Analysis, please enter a lot number in the search box below.

Product Specific Notices for Serpin A3/alpha 1-Antichymotrypsin Antibody (AACT/1451)

This product is for research use only and is not approved for use in humans or in clinical diagnosis. Primary Antibodies are guaranteed for 1 year from date of receipt.

Loading...
Loading...
Loading...
Loading...