Skip to main content

Serpin A3/alpha 1-Antichymotrypsin Antibody (5G3C11) - BSA Free

Novus Biologicals, part of Bio-Techne | Catalog # NBP2-52559

Novus Biologicals, part of Bio-Techne
Catalog #
Availability
Size / Price
Qty
Loading...
NBP2-52559-0.025mg
NBP2-52559

Key Product Details

Species Reactivity

Validated:

Human

Cited:

Human

Applications

Validated:

Immunohistochemistry, Immunohistochemistry-Paraffin, Western Blot, ELISA, Flow Cytometry, CyTOF-ready

Cited:

ELISA

Label

Unconjugated

Antibody Source

Monoclonal Mouse IgG1 Clone # 5G3C11

Format

BSA Free

Concentration

1 mg/ml

Product Specifications

Immunogen

Purified recombinant fragment of human Serpin A3/alpha 1-Antichymotrypsin (AA: 279-432) expressed in E. Coli.

Clonality

Monoclonal

Host

Mouse

Isotype

IgG1

Theoretical MW

47.7 kDa.
Disclaimer note: The observed molecular weight of the protein may vary from the listed predicted molecular weight due to post translational modifications, post translation cleavages, relative charges, and other experimental factors.

Description

Novus Biologicals Mouse Serpin A3/alpha 1-Antichymotrypsin Antibody (5G3C11) - BSA Free (NBP2-52559) is a monoclonal antibody validated for use in IHC, WB, ELISA and Flow. Anti-Serpin A3/alpha 1-Antichymotrypsin Antibody: Cited in 1 publication. All Novus Biologicals antibodies are covered by our 100% guarantee.

Scientific Data Images for Serpin A3/alpha 1-Antichymotrypsin Antibody (5G3C11) - BSA Free

Western Blot: Serpin A3/alpha 1-Antichymotrypsin Antibody (5G3C11)BSA Free [NBP2-52559]

Western Blot: Serpin A3/alpha 1-Antichymotrypsin Antibody (5G3C11)BSA Free [NBP2-52559]

Western Blot: Serpin A3/alpha 1-Antichymotrypsin Antibody (5G3C11) [NBP2-52559] - Analysis using SERPIN A3 mouse mAb against A549 cell lysate.
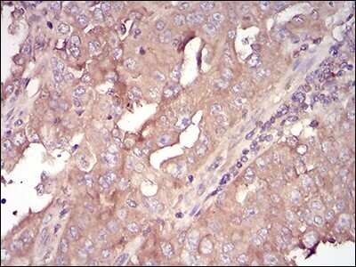
Immunohistochemistry-Paraffin: Serpin A3/alpha 1-Antichymotrypsin Antibody (5G3C11) - BSA Free [NBP2-52559]

Immunohistochemistry-Paraffin: Serpin A3/alpha 1-Antichymotrypsin Antibody (5G3C11) - BSA Free [NBP2-52559]

Immunohistochemistry-Paraffin: Serpin A3/alpha 1-Antichymotrypsin Antibody (5G3C11) [NBP2-52559] - Analysis of paraffin-embedded bladder cancer tissues using SERPINA3 mouse mAb with DAB staining.
Flow Cytometry: Serpin A3/alpha 1-Antichymotrypsin Antibody (5G3C11) - BSA Free [NBP2-52559]

Flow Cytometry: Serpin A3/alpha 1-Antichymotrypsin Antibody (5G3C11) - BSA Free [NBP2-52559]

Flow Cytometry: Serpin A3/alpha 1-Antichymotrypsin Antibody (5G3C11) [NBP2-52559] - Analysis of A549 cells using SERPINA3 mouse mAb (green) and negative control (red).

Applications for Serpin A3/alpha 1-Antichymotrypsin Antibody (5G3C11) - BSA Free

Application
Recommended Usage

ELISA

1:10000

Flow Cytometry

1:200-1:400

Immunohistochemistry

1:200-1:1000

Western Blot

1:500-1:2000
Application Notes
This antibody is Cytof ready.

Formulation, Preparation, and Storage

Purification

Protein G purified

Formulation

PBS

Format

BSA Free

Preservative

0.05% Sodium Azide

Concentration

1 mg/ml

Shipping

The product is shipped with polar packs. Upon receipt, store it immediately at the temperature recommended below.

Stability & Storage

Store at 4C short term. Aliquot and store at -20C long term. Avoid freeze-thaw cycles.

Background: Serpin A3/alpha 1-Antichymotrypsin

Alpha 1 Antichymotrypsin is a plasma protease inhibitor and member of the serine protease inhibitor class. Polymorphisms in this protein appear to be tissue specific and influence protease targeting. Variation in this protein's sequence have been implicated in Alzheimer's disease, and deficiency of this protein has been associated with liver disease. Mutations have been identified in patients with Parkinson disease and chronic obstructive pulmonary disease.

Alternate Names

alpha 1-Antichymotrypsin

Gene Symbol

SERPINA3

Additional Serpin A3/alpha 1-Antichymotrypsin Products

Product Documents for Serpin A3/alpha 1-Antichymotrypsin Antibody (5G3C11) - BSA Free

Certificate of Analysis

To download a Certificate of Analysis, please enter a lot number in the search box below.

Product Specific Notices for Serpin A3/alpha 1-Antichymotrypsin Antibody (5G3C11) - BSA Free

This product is for research use only and is not approved for use in humans or in clinical diagnosis. Primary Antibodies are guaranteed for 1 year from date of receipt.

Loading...
Loading...
Loading...
Loading...
Loading...