Skip to main content

SEPHS2 Antibody - BSA Free

Novus Biologicals, part of Bio-Techne | Catalog # NBP2-97672

Novus Biologicals, part of Bio-Techne

Key Product Details

Species Reactivity

Human

Applications

Immunohistochemistry, Immunohistochemistry-Paraffin, Immunocytochemistry/ Immunofluorescence

Label

Unconjugated

Antibody Source

Polyclonal Rabbit IgG

Format

BSA Free

Concentration

Please see the vial label for concentration. If unlisted please contact technical services.

Product Specifications

Immunogen

Produced in rabbits immunized with E. coli-derived Human SEPHS2 fragment.

Clonality

Polyclonal

Host

Rabbit

Isotype

IgG

Description

This antibody can be stored at 2C to 8C for one month without detectable loss of activity. Antibody products are stable for twelve months from date of receipt when stored at -20C to -80C. Avoid repeated freeze-thaw cycles.

Scientific Data Images for SEPHS2 Antibody - BSA Free

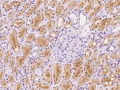
Immunohistochemistry-Paraffin: SEPHS2 Antibody [NBP2-97672]

Immunohistochemistry-Paraffin: SEPHS2 Antibody [NBP2-97672]

Immunohistochemistry-Paraffin: SEPHS2 Antibody [NBP2-97672] - Immunochemical staining of human SEPHS2 in human kidney with rabbit polyclonal antibody at 1:500 dilution, formalin-fixed paraffin embedded sections.
SEPHS2 Antibody - BSA Free

Immunocytochemistry/Immunofluorescence: SEPHS2 Antibody [NBP2-97672] -

Immunocytochemistry/Immunofluorescence: SEPHS2 Antibody [NBP2-97672] - Immunofluorescence staining of SEPHS2 in U2OS cells. Cells were fixed with 4% PFA, permeabilzed with 0.1% Triton X-100 in PBS, blocked with 10% serum, and incubated with NBP2-97672 antibody (dilution ratio 1:100) at 4C overnight. Then cells were stained with the Alexa Fluor(R)594-conjugated Goat Anti-rabbit IgG secondary antibody (red). Positive staining was localized to Nucleus.

Applications for SEPHS2 Antibody - BSA Free

Application
Recommended Usage

Immunocytochemistry/ Immunofluorescence

1:50-1:200

Immunohistochemistry-Paraffin

1:200-1:1000

Formulation, Preparation, and Storage

Purification

Antigen and protein A Affinity-purified

Formulation

PBS

Format

BSA Free

Preservative

0.03% Proclin 300

Concentration

Please see the vial label for concentration. If unlisted please contact technical services.

Shipping

The product is shipped with polar packs. Upon receipt, store it immediately at the temperature recommended below.

Stability & Storage

Store at 4C short term. Aliquot and store at -20C long term. Avoid freeze-thaw cycles.

Background: SEPHS2

SEPHS2 encodes an enzyme that synthesizes selenophosphate from selenide and ATP. Selenophosphate is the selenium donor used to synthesize selenocysteine, which is co-translationally incorporated into selenoproteins at in-frame UGA codons. This protein itself contains a selenocysteine residue in its predicted active site. The 3' UTR of the gene has a stem-loop secondary structure called a selenocysteine insertion sequence (SECIS) element, which allows UGA to direct the incorporation of selenocysteine rather than signal a translational stop. Alternatively spliced transcripts have been identified, but their biological validity has not been determined.

Alternate Names

EC 2.7.9.3, Selenophosphate synthase 2, selenophosphate synthetase 2, SPS2water dikinase 2

Gene Symbol

SEPHS2

Additional SEPHS2 Products

Product Documents for SEPHS2 Antibody - BSA Free

Certificate of Analysis

To download a Certificate of Analysis, please enter a lot number in the search box below.

Product Specific Notices for SEPHS2 Antibody - BSA Free

This product is for research use only and is not approved for use in humans or in clinical diagnosis. Primary Antibodies are guaranteed for 1 year from date of receipt.

Loading...
Loading...
Loading...
Loading...