Skip to main content

SCML1 Antibody - BSA Free

Novus Biologicals, part of Bio-Techne | Catalog # NBP1-86309

Novus Biologicals, part of Bio-Techne
Catalog #
Availability
Size / Price
Qty
Loading...
NBP1-86309
NBP1-86309-25ul

Key Product Details

Validated by

Orthogonal Validation

Species Reactivity

Human

Applications

Immunocytochemistry/ Immunofluorescence, Immunohistochemistry, Immunohistochemistry-Paraffin

Label

Unconjugated

Antibody Source

Polyclonal Rabbit IgG

Format

BSA Free

Concentration

Concentrations vary lot to lot. See vial label for concentration. If unlisted please contact technical services.

Product Specifications

Immunogen

This antibody was developed against Recombinant Protein corresponding to amino acids: WTNHKPYGYKKHSYRLVKKLKLQKMKKNEVYETFSYPESYSPTLPVSRRENNSPSNLPRPSFCMEEYQRAELEEDPILSRTPSPVHPSD

Clonality

Polyclonal

Host

Rabbit

Isotype

IgG

Description

Novus Biologicals Rabbit SCML1 Antibody - BSA Free (NBP1-86309) is a polyclonal antibody validated for use in IHC and ICC/IF. All Novus Biologicals antibodies are covered by our 100% guarantee.

Scientific Data Images for SCML1 Antibody - BSA Free

Immunocytochemistry/ Immunofluorescence: SCML1 Antibody [NBP1-86309]

Immunocytochemistry/ Immunofluorescence: SCML1 Antibody [NBP1-86309]

Immunocytochemistry/Immunofluorescence: SCML1 Antibody [NBP1-86309] - Immunofluorescent staining of human cell line A-431 shows localization to nucleus & nucleoli. Antibody staining is shown in green.
Immunohistochemistry-Paraffin: SCML1 Antibody [NBP1-86309]

Immunohistochemistry-Paraffin: SCML1 Antibody [NBP1-86309]

Immunohistochemistry-Paraffin: SCML1 Antibody [NBP1-86309] - Staining in human testis and prostate tissues using anti-SCML1 antibody. Corresponding SCML1 RNA-seq data are presented for the same tissues.
Immunohistochemistry-Paraffin: SCML1 Antibody [NBP1-86309]

Immunohistochemistry-Paraffin: SCML1 Antibody [NBP1-86309]

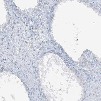
Immunohistochemistry-Paraffin: SCML1 Antibody [NBP1-86309] - Staining of human prostate shows low expression as expected.

Applications for SCML1 Antibody - BSA Free

Application
Recommended Usage

Immunocytochemistry/ Immunofluorescence

0.25-2 ug/ml

Immunohistochemistry

1:50 - 1:200

Immunohistochemistry-Paraffin

1:50 - 1:200
Application Notes
For IHC-Paraffin, HIER pH 6 retrieval is recommended. Immunocytochemistry/Immunofluorescence Fixation Permeabilization: Use PFA/Triton X-100.

Formulation, Preparation, and Storage

Purification

Immunogen affinity purified

Formulation

PBS (pH 7.2) and 40% Glycerol

Format

BSA Free

Preservative

0.02% Sodium Azide

Concentration

Concentrations vary lot to lot. See vial label for concentration. If unlisted please contact technical services.

Shipping

The product is shipped with polar packs. Upon receipt, store it immediately at the temperature recommended below.

Stability & Storage

Store at 4C short term. Aliquot and store at -20C long term. Avoid freeze-thaw cycles.

Background: SCML1

Putative Polycomb group (PcG) protein. PcG proteins act by forming multiprotein complexes, which are required to maintain the transcriptionally repressive state of homeotic genes throughout development. May be involved in spermatogenesis during sexual maturation

Alternate Names

sex comb on midleg (Drosophila)-like 1, sex comb on midleg-like 1 (Drosophila), sex comb on midleg-like protein 1

Gene Symbol

SCML1

Additional SCML1 Products

Product Documents for SCML1 Antibody - BSA Free

Certificate of Analysis

To download a Certificate of Analysis, please enter a lot number in the search box below.

Product Specific Notices for SCML1 Antibody - BSA Free

This product is for research use only and is not approved for use in humans or in clinical diagnosis. Primary Antibodies are guaranteed for 1 year from date of receipt.

Loading...
Loading...
Loading...
Loading...