Skip to main content

SALL4 Antibody (CL12183) - Azide and BSA Free

Novus Biologicals, part of Bio-Techne | Catalog # NBP3-44348

Novus Biologicals, part of Bio-Techne
Catalog #
Availability
Size / Price
Qty
Loading...
NBP3-44348

Key Product Details

Validated by

Orthogonal Validation

Species Reactivity

Human, Mouse

Applications

Immunohistochemistry-Paraffin, Western Blot, Immunocytochemistry/ Immunofluorescence

Label

Unconjugated

Antibody Source

Monoclonal Mouse IgG1 Clone # CL12183

Format

Azide and BSA Free

Concentration

LYOPH mg/ml

Product Specifications

Immunogen

This antibody was generated using a synthetic peptide of Q9UJQ4, with the exact immunogen sequence remaining proprietary.

Clonality

Monoclonal

Host

Mouse

Isotype

IgG1

Description

Novus Biologicals Mouse SALL4 Antibody (CL12183) - Azide and BSA Free (NBP3-21209) is a monoclonal antibody validated for use in IHC, WB and ICC/IF. All Novus Biologicals antibodies are covered by our 100% guarantee.

Scientific Data Images for SALL4 Antibody (CL12183) - Azide and BSA Free

SALL4 Antibody (CL12183) - Azide and BSA Free Immunohistochemistry-Paraffin: SALL4 Antibody [NBP3-44348]

Immunohistochemistry-Paraffin: SALL4 Antibody [NBP3-44348]

Staining of human cerebellum shows no positivity in Purkinje cells as expected.
SALL4 Antibody (CL12183) - Azide and BSA Free Immunohistochemistry-Paraffin: SALL4 Antibody [NBP3-44348]

Immunohistochemistry-Paraffin: SALL4 Antibody [NBP3-44348]

Analysis in human testis and endometrium tissues using NBP3-44348 antibody. Corresponding SALL4 RNA-seq data are presented for the same tissues.
SALL4 Antibody (CL12183) - Azide and BSA Free Immunohistochemistry-Paraffin: SALL4 Antibody [NBP3-44348]

Immunohistochemistry-Paraffin: SALL4 Antibody [NBP3-44348]

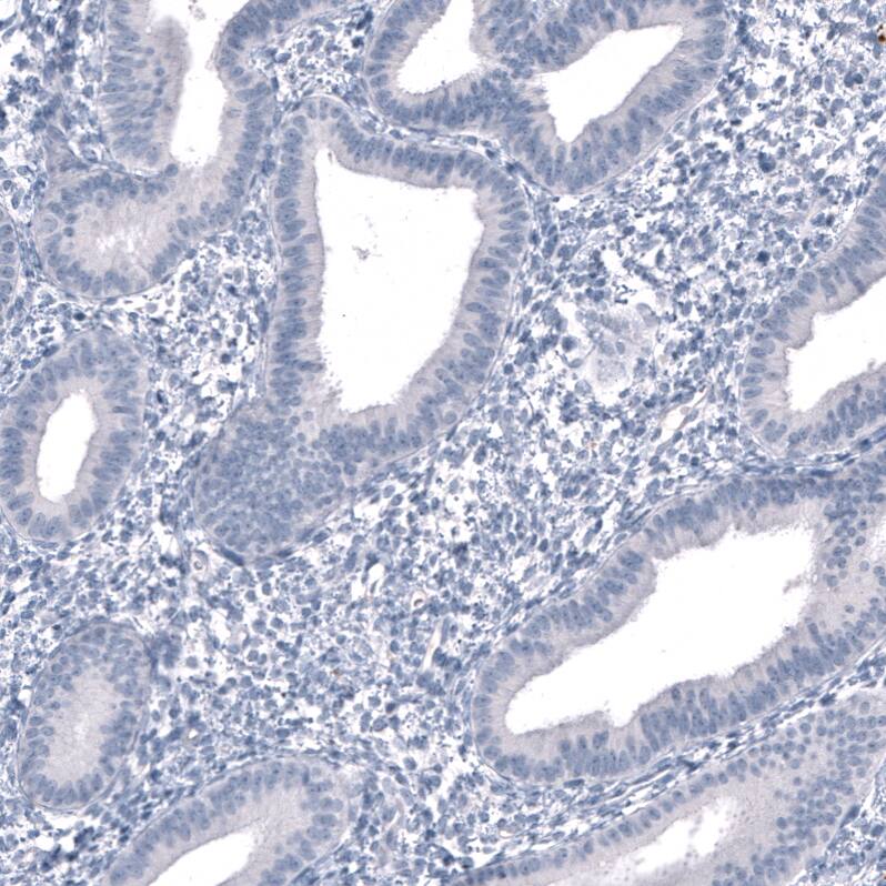
Staining of human endometrium shows no positivity in glandular cells as expected.

Applications for SALL4 Antibody (CL12183) - Azide and BSA Free

Application
Recommended Usage

Immunocytochemistry/ Immunofluorescence

2-10 ug/ml

Immunohistochemistry-Paraffin

1:2500 - 1:5000

Western Blot

1 ug/ml
Application Notes
Immunocytochemistry/ Immunofluorescence/IF Fixation Permeabilization: Use PFA/Triton X-100. For IHC-Paraffin, HIER pH 6 retrieval is recommended.

Formulation, Preparation, and Storage

Purification

Protein A purified

Reconstitution

Centrifuge the vial of lyophilized antibody at 12,000 x g for 20 seconds. Reconstitute by adding sterile, distilled water to achieve a final antibody concentration of 1mg/ml.

Formulation

Lyophilized from a 0.2 um filtered solution in PBS with Trehalose

Format

Azide and BSA Free

Preservative

No Preservative

Concentration

LYOPH mg/ml

Shipping

The product is shipped at ambient temperature. Upon receipt, store it immediately at the temperature recommended below.

Stability & Storage

Store at 4C short term. Aliquot and store at -20C long term. Avoid freeze-thaw cycles.

Background: SALL4

Sall4 is encoded by this gene may be a zinc finger transcription factor. Defects in this gene are a cause of Duane-radial ray syndrome (DRRS).

Long Name

Sal-like 4

Alternate Names

DRRS, HSAL4, ZNF797

Gene Symbol

SALL4

Additional SALL4 Products

Product Documents for SALL4 Antibody (CL12183) - Azide and BSA Free

Certificate of Analysis

To download a Certificate of Analysis, please enter a lot number in the search box below.

Product Specific Notices for SALL4 Antibody (CL12183) - Azide and BSA Free

This product is for research use only and is not approved for use in humans or in clinical diagnosis. Primary Antibodies are guaranteed for 1 year from date of receipt.

Loading...
Loading...
Loading...
Loading...
Loading...