Skip to main content

SALL4 Antibody (CL12183) - BSA Free

Novus Biologicals, part of Bio-Techne | Catalog # NBP3-21209

Novus Biologicals, part of Bio-Techne
Catalog #
Availability
Size / Price
Qty
Loading...
NBP3-21209-100ul
NBP3-21209-25ul

Key Product Details

Validated by

Orthogonal Validation

Species Reactivity

Human, Mouse

Applications

Immunohistochemistry, Immunohistochemistry-Paraffin, Western Blot, Immunocytochemistry/ Immunofluorescence

Label

Unconjugated

Antibody Source

Monoclonal Mouse IgG1 Clone # CL12183

Format

BSA Free

Concentration

Concentrations vary lot to lot. See vial label for concentration. If unlisted please contact technical services.

Product Specifications

Immunogen

This antibody was developed using a synthetic peptide derived from Q9UJQ4, with the exact immunogen sequence remaining proprietary.

Reactivity Notes

Rat (85%).

Clonality

Monoclonal

Host

Mouse

Isotype

IgG1

Description

Novus Biologicals Mouse SALL4 Antibody (CL12183) - BSA Free (NBP3-21209) is a monoclonal antibody validated for use in IHC, WB and ICC/IF. All Novus Biologicals antibodies are covered by our 100% guarantee.

Scientific Data Images for SALL4 Antibody (CL12183) - BSA Free

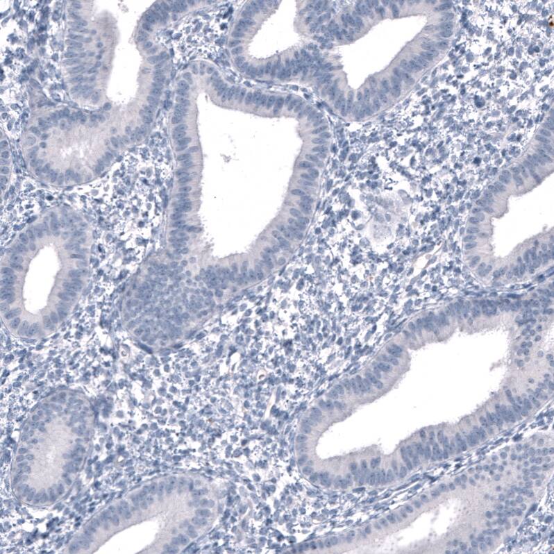
Immunohistochemistry-Paraffin: SALL4 Antibody [NBP3-21209] -

Immunohistochemistry-Paraffin: SALL4 Antibody [NBP3-21209] -

Analysis in human testis and endometrium tissues using NBP3-21209 antibody. Corresponding SALL4 RNA-seq data are presented for the same tissues.
Immunohistochemistry-Paraffin: SALL4 Antibody [NBP3-21209] -

Immunohistochemistry-Paraffin: SALL4 Antibody [NBP3-21209] -

Staining of mouse embryo E11 shows moderate to strong nuclear positivity in in a subset of cells in developing hindbrain.
Immunohistochemistry-Paraffin: SALL4 Antibody [NBP3-21209] -

Immunohistochemistry-Paraffin: SALL4 Antibody [NBP3-21209] -

Staining of human ovary shows strong nuclear positivity in oocyte.

Applications for SALL4 Antibody (CL12183) - BSA Free

Application
Recommended Usage

Immunocytochemistry/ Immunofluorescence

2-10 ug/ml

Immunohistochemistry

1:2500 - 1:5000

Immunohistochemistry-Paraffin

1:2500 - 1:5000

Western Blot

1 ug/ml
Application Notes
ICC/IF Fixation Permeabilization: Use PFA/Triton X-100. For IHC-Paraffin, HIER pH 6 retrieval is recommended.

Formulation, Preparation, and Storage

Purification

Protein A purified

Formulation

PBS (pH 7.2) and 40% Glycerol

Format

BSA Free

Preservative

0.02% Sodium Azide

Concentration

Concentrations vary lot to lot. See vial label for concentration. If unlisted please contact technical services.

Shipping

The product is shipped with polar packs. Upon receipt, store it immediately at the temperature recommended below.

Stability & Storage

Store at 4C short term. Aliquot and store at -20C long term. Avoid freeze-thaw cycles.

Background: SALL4

Sall4 is encoded by this gene may be a zinc finger transcription factor. Defects in this gene are a cause of Duane-radial ray syndrome (DRRS).

Long Name

Sal-like 4

Alternate Names

DRRS, HSAL4, ZNF797

Gene Symbol

SALL4

Additional SALL4 Products

Product Documents for SALL4 Antibody (CL12183) - BSA Free

Certificate of Analysis

To download a Certificate of Analysis, please enter a lot number in the search box below.

Product Specific Notices for SALL4 Antibody (CL12183) - BSA Free

This product is for research use only and is not approved for use in humans or in clinical diagnosis. Primary Antibodies are guaranteed for 1 year from date of receipt.

Loading...
Loading...
Loading...
Loading...