Skip to main content

Key Product Details

Species Reactivity

Mouse

Applications

Immunohistochemistry, Immunohistochemistry-Paraffin, Western Blot, Flow Cytometry

Label

Unconjugated

Antibody Source

Monoclonal Rat IgG Lambda Clone # 63N13G5

Format

Azide and BSA Free

Concentration

0.5 mg/ml

Product Specifications

Immunogen

Within the range of amino acids 2-98 of mouse S100A8 were used as the immunogen for the antibody.

Clonality

Monoclonal

Host

Rat

Isotype

IgG Lambda

Description

Novus Biologicals Rat S100A8 Antibody (63N13G5) - Azide and BSA Free (NBP2-27067) is a monoclonal antibody validated for use in IHC, WB and Flow. All Novus Biologicals antibodies are covered by our 100% guarantee.

Scientific Data Images for S100A8 Antibody (63N13G5) - Azide and BSA Free

Western Blot: S100A8 Antibody (63N13G5)Azide Free [NBP2-25273]

Western Blot: S100A8 Antibody (63N13G5)Azide Free [NBP2-25273]

Western Blot: S100A8 Antibody (63N13G5) - Azide Free [NBP2-25273] - analysis of S100A8 in 1) recombinant protein 2) mouse spleen and 3) mouse lung lysate using S1008A antibody at 1 ug/ml. goat anti-rat Ig HRP secondary antibody and PicoTect ECL substrate solution were used for this test.
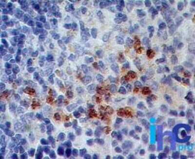
Immunohistochemistry-Paraffin: S100A8 Antibody (63N13G5) - Azide Free [NBP2-25273]

Immunohistochemistry-Paraffin: S100A8 Antibody (63N13G5) - Azide Free [NBP2-25273]

Immunohistochemistry-Paraffin: S100A8 Antibody (63N13G5) - Azide Free [NBP2-25273] - Formalin-fixed, paraffin-embedded mouse spleen stained with S100A8 antibody (5 ug/ml), peroxidase-conjugate and DAB chromogen.
S100A8 Antibody (63N13G5) - Azide Free

S100A8 Antibody (63N13G5) - BSA Free

Mouse splenocytes were fixed and permeabilized with Foxp3 Fixation/Permeabilization kit. Next, they were incubated with Fc block for 5 mins at RT and then stained with 1:100 dilution of this antibody for 25 mins at RT. Cells were acquired on a CytoFlex LX and analyzed using FlowJo 10. Image from verified customer review

Applications for S100A8 Antibody (63N13G5) - Azide and BSA Free

Application
Recommended Usage

Flow Cytometry

reported by customer review

Immunohistochemistry

1:10-1:500

Immunohistochemistry-Paraffin

1:10-1:500

Western Blot

1:100-1:2000

Formulation, Preparation, and Storage

Purification

Protein G purified

Formulation

Sterile - filtered PBS

Format

Azide and BSA Free

Preservative

No Preservative

Concentration

0.5 mg/ml

Shipping

The product is shipped with polar packs. Upon receipt, store it immediately at the temperature recommended below.

Stability & Storage

Store at 4C short term. Aliquot and store at -20C long term. Avoid freeze-thaw cycles.

Background: S100A8

S100A8 is a low-molecular weight member of the S100 family of calcium-binding protein which promotes tumorigenesis. It promotes cell migration and invasion through p38 MAP dependent NF-kappaB activation leading to an increase of MMP2 and MMP12 in gastric cancer (Kwon CH et al., 2013). The phagocyte-specific Ca2+-binding S100A8 protein has been proposed as an essential regulator of the plasma membrane NADPH oxidase activity. It is abundantly expressed in the cytosol of neutrophils and is able to form Ca2+-dependent heterocomplexes, with heterotetramers being a probable prerequisite for its biological activities in myeloid cells. S100A8 and S100A9 have been proposed as essential regulators that exert their role through interactions with NADPH oxidase subunits (Brechard S et al., 2013).S100A8 and S100A9 are generally considered proinflammatory. Whereas hypohalous acids generated by activated phagocytes promote novel modifications in murine S100A8 but modifications to human S100A8 are undefined and there is no evidence that these proteins scavenge oxidants in human disease. Oxidized S100A8 was prominent in lungs from patients with asthma and significantly elevated in sputum compared to controls. Results have broad implications for conditions under which hypohalous acid oxidants are generated by activated phagocytes. Identification in human disease of the novel S100A8 Cys derivatives typical of those generated in vitro strongly supports the notion that S100A8 contributes to antioxidant defense during oxidative stress (Gomes LH et al., 2013).PsA (Psoriatic arthritis) is a chronic inflammatory arthropathy associated with psoriasis. Histologically, PsA is characterized by lining layer hyperplasia, diffuse infiltrate of B, T, macrophages and dendritic cells associated with neutrophils' proliferation and angiogenesis. Histological findings are associated with monocyte-derived cytokines expression, as Myeloid-related protein (S100A8/A9). They play an important role in intracellular functions and cytoskeleton-membrane interactions. S100A8/A9 has a role in the propagation and perpetuation of the inflammatory process in patients with psoriasis and PsA, because of an activated monocyte/macrophage system that involve, distal to the skin, the "enthesal-complex." It also acts as one of the principal mediators of innate immune response, and has been proposed as diagnostic marker for several inflammatory conditions including neonatal sepsis. (Chimenti MS et al. 2013, Terrin G et al., 2012).

Long Name

S100 Calcium Binding Protein A8

Alternate Names

Calgranulin A, CFAG, MRP8

Gene Symbol

S100A8

Additional S100A8 Products

Product Documents for S100A8 Antibody (63N13G5) - Azide and BSA Free

Certificate of Analysis

To download a Certificate of Analysis, please enter a lot number in the search box below.

Product Specific Notices for S100A8 Antibody (63N13G5) - Azide and BSA Free

This product is for research use only and is not approved for use in humans or in clinical diagnosis. Primary Antibodies are guaranteed for 1 year from date of receipt.

Loading...
Loading...
Loading...
Loading...
Loading...
Loading...