Skip to main content

RYBP/DEDAF Antibody (OTI1B2) - Azide and BSA Free

Novus Biologicals, part of Bio-Techne | Catalog # NBP2-73961

Novus Biologicals, part of Bio-Techne

Key Product Details

Species Reactivity

Human, Mouse

Applications

Immunohistochemistry, Immunohistochemistry-Paraffin, Western Blot, Immunocytochemistry/ Immunofluorescence

Label

Unconjugated

Antibody Source

Monoclonal Mouse IgG1 Clone # OTI1B2

Format

Azide and BSA Free

Concentration

LYOPH mg/ml

Product Specifications

Immunogen

Full length human recombinant protein of human RYBP(NP_036366) produced in E.coli.

Reactivity Notes

Please note that this antibody is reactive to Mouse and derived from the same host, Mouse. Mouse-On-Mouse blocking reagent may be needed for IHC and ICC experiments to reduce high background signal. You can find these reagents under catalog numbers PK-2200-NB and MP-2400-NB. Please contact Technical Support if you have any questions.

Clonality

Monoclonal

Host

Mouse

Isotype

IgG1

Theoretical MW

24.6 kDa.
Disclaimer note: The observed molecular weight of the protein may vary from the listed predicted molecular weight due to post translational modifications, post translation cleavages, relative charges, and other experimental factors.

Description

Novus Biologicals Mouse RYBP/DEDAF Antibody (OTI1B2) - Azide and BSA Free (NBP2-02009) is a monoclonal antibody validated for use in IHC, WB and ICC/IF. All Novus Biologicals antibodies are covered by our 100% guarantee.

Scientific Data Images for RYBP/DEDAF Antibody (OTI1B2) - Azide and BSA Free

Western Blot: RYBP/DEDAF Antibody (OTI1B2)Azide and BSA Free [NBP2-73961]

Western Blot: RYBP/DEDAF Antibody (OTI1B2)Azide and BSA Free [NBP2-73961]

Western Blot: RYBP/DEDAF Antibody (OTI1B2) - Azide and BSA Free [NBP2-73961] - HEK293T cells were transfected with the pCMV6-ENTRY control (Left lane) or pCMV6-ENTRY RYBP/DEDAF (Right lane) cDNA for 48 hrs and lysed. Equivalent amounts of cell lysates (5 ug per lane) were separated by SDS-PAGE and immunoblotted with anti-RYBP/DEDAF.
Immunocytochemistry/ Immunofluorescence: RYBP/DEDAF Antibody (OTI1B2) - Azide and BSA Free [NBP2-73961]

Immunocytochemistry/ Immunofluorescence: RYBP/DEDAF Antibody (OTI1B2) - Azide and BSA Free [NBP2-73961]

Immunocytochemistry/Immunofluorescence: RYBP/DEDAF Antibody (OTI1B2) - Azide and BSA Free [NBP2-73961] - Staining of COS7 cells transiently transfected by pCMV6-ENTRY RYBP/DEDAF.
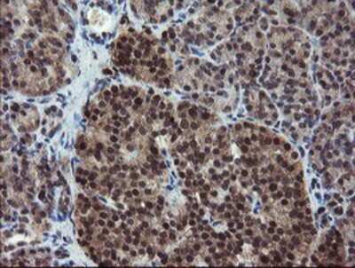
Immunohistochemistry: RYBP/DEDAF Antibody (OTI1B2) - Azide and BSA Free [NBP2-73961]

Immunohistochemistry: RYBP/DEDAF Antibody (OTI1B2) - Azide and BSA Free [NBP2-73961]

Immunohistochemistry: RYBP/DEDAF Antibody (OTI1B2) - Azide and BSA Free [NBP2-73961] - Staining of paraffin-embedded Human liver tissue using anti-RYBP/DEDAF mouse monoclonal antibody.

Applications for RYBP/DEDAF Antibody (OTI1B2) - Azide and BSA Free

Application
Recommended Usage

Immunocytochemistry/ Immunofluorescence

1:100

Immunohistochemistry

1:150

Western Blot

1:2000

Formulation, Preparation, and Storage

Purification

Immunogen affinity purified

Reconstitution

we recommend adding 100uL distilled water to a final antibody concentration of about 1 mg/mL. To use this carrier-free antibody for conjugation experiment, we strongly recommend performing another round of desalting process.

Formulation

Lyophilized from PBS (pH 7.3) with 8% Trehalose

Format

Azide and BSA Free

Preservative

No Preservative

Concentration

LYOPH mg/ml

Shipping

The product is shipped with polar packs. Upon receipt, store it immediately at the temperature recommended below.

Stability & Storage

Store at -20C. Avoid freeze-thaw cycles.

Background: RYBP/DEDAF

Apoptosis is related to many diseases and induced by a family of cell death receptors and their ligands. Cell death signals are transduced by death domain (DD) death effector domain (DED), and caspase recruitment domain (CARD) containing molecules. Several molecules including caspases and adaptor FADD contain DEDs. A novel protein that interacts with DED of caspase-8 and

Alternate Names

AAP1, APAP-1, Apoptin-associating protein 1, Death effector domain-associated factor, DEDAFYY1 and E4TF1-associated factor 1, RING1 and YY1 binding protein, RING1 and YY1-binding protein, ring1 interactor RYBP, YEAF1DED-associated factor, YY1 and E4TF1 associated factor 1

Gene Symbol

RYBP

Additional RYBP/DEDAF Products

Product Documents for RYBP/DEDAF Antibody (OTI1B2) - Azide and BSA Free

Certificate of Analysis

To download a Certificate of Analysis, please enter a lot number in the search box below.

Product Specific Notices for RYBP/DEDAF Antibody (OTI1B2) - Azide and BSA Free

This product is for research use only and is not approved for use in humans or in clinical diagnosis. Primary Antibodies are guaranteed for 1 year from date of receipt.

Loading...
Loading...
Loading...
Loading...
Loading...