Skip to main content

RYBP/DEDAF Antibody (OTI1B2)

Novus Biologicals, part of Bio-Techne | Catalog # NBP2-02009

Catalog #
Availability
Size / Price
Qty
Loading...
NBP2-02009
Conjugate
Catalog #

Key Product Details

Species Reactivity

Human, Mouse

Applications

Immunohistochemistry, Immunohistochemistry-Paraffin, Western Blot, Immunocytochemistry/ Immunofluorescence

Label

Unconjugated

Antibody Source

Monoclonal Mouse IgG1 Clone # OTI1B2

Concentration

1 mg/ml

Product Specifications

Immunogen

Full length human recombinant protein of human RYBP(NP_036366) produced in E.coli.

Reactivity Notes

Please note that this antibody is reactive to Mouse and derived from the same host, Mouse. Mouse-On-Mouse blocking reagent may be needed for IHC and ICC experiments to reduce high background signal. You can find these reagents under catalog numbers PK-2200-NB and MP-2400-NB. Please contact Technical Support if you have any questions.

Clonality

Monoclonal

Host

Mouse

Isotype

IgG1

Theoretical MW

24.6 kDa.
Disclaimer note: The observed molecular weight of the protein may vary from the listed predicted molecular weight due to post translational modifications, post translation cleavages, relative charges, and other experimental factors.

Scientific Data Images for RYBP/DEDAF Antibody (OTI1B2)

Western Blot: RYBP/DEDAF Antibody (OTI1B2) [NBP2-02009]

Western Blot: RYBP/DEDAF Antibody (OTI1B2) [NBP2-02009]

Western Blot: RYBP/DEDAF Antibody (1B2) [NBP2-02009] - HEK293T cells were transfected with the pCMV6-ENTRY control (Left lane) or pCMV6-ENTRY RYBP/DEDAF (Right lane) cDNA for 48 hrs and lysed. Equivalent amounts of cell lysates (5 ug per lane) were separated by SDS-PAGE and immunoblotted with anti-RYBP/DEDAF.
Immunocytochemistry/Immunofluorescence: RYBP/DEDAF Antibody (1B2) [NBP2-02009] Staining of COS7 cells transiently transfected by pCMV6-ENTRY RYBP/DEDAF.
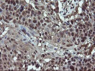
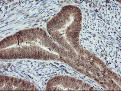
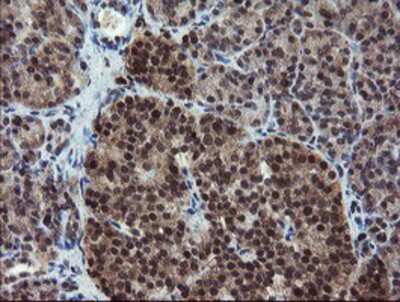
Immunohistochemistry-Paraffin: RYBP/DEDAF Antibody (OTI1B2) [NBP2-02009]

Immunohistochemistry-Paraffin: RYBP/DEDAF Antibody (OTI1B2) [NBP2-02009]

Immunohistochemistry-Paraffin: RYBP/DEDAF Antibody (1B2) [NBP2-02009] - Staining of paraffin-embedded Human pancreas tissue using anti-RYBP/DEDAF mouse monoclonal antibody.

Applications for RYBP/DEDAF Antibody (OTI1B2)

Application
Recommended Usage

Immunocytochemistry/ Immunofluorescence

1:100

Immunohistochemistry

1:150

Immunohistochemistry-Paraffin

1:150

Western Blot

1:2000

Formulation, Preparation, and Storage

Purification

Immunogen affinity purified

Formulation

PBS (pH 7.3), 1.0% BSA and 50% Glycerol

Preservative

0.02% Sodium Azide

Concentration

1 mg/ml

Shipping

The product is shipped with polar packs. Upon receipt, store it immediately at the temperature recommended below.

Stability & Storage

Store at -20C. Avoid freeze-thaw cycles.

Background: RYBP/DEDAF

Apoptosis is related to many diseases and induced by a family of cell death receptors and their ligands. Cell death signals are transduced by death domain (DD) death effector domain (DED), and caspase recruitment domain (CARD) containing molecules. Several molecules including caspases and adaptor FADD contain DEDs. A novel protein that interacts with DED of caspase-8 and

Alternate Names

AAP1, APAP-1, Apoptin-associating protein 1, Death effector domain-associated factor, DEDAFYY1 and E4TF1-associated factor 1, RING1 and YY1 binding protein, RING1 and YY1-binding protein, ring1 interactor RYBP, YEAF1DED-associated factor, YY1 and E4TF1 associated factor 1

Entrez Gene IDs

23429 (Human)

Gene Symbol

RYBP

Additional RYBP/DEDAF Products

Product Documents for RYBP/DEDAF Antibody (OTI1B2)

Certificate of Analysis

To download a Certificate of Analysis, please enter a lot number in the search box below.

Product Specific Notices for RYBP/DEDAF Antibody (OTI1B2)

This product is for research use only and is not approved for use in humans or in clinical diagnosis. Primary Antibodies are guaranteed for 1 year from date of receipt.

Loading...
Loading...
Loading...
Loading...