Skip to main content

RTDR1 Antibody - BSA Free

Novus Biologicals, part of Bio-Techne | Catalog # NBP1-86045

Novus Biologicals, part of Bio-Techne
Catalog #
Availability
Size / Price
Qty
Loading...
NBP1-86045
NBP1-86045-25ul

Key Product Details

Species Reactivity

Human

Applications

Immunohistochemistry, Immunohistochemistry-Paraffin, Western Blot

Label

Unconjugated

Antibody Source

Polyclonal Rabbit IgG

Format

BSA Free

Concentration

Concentrations vary lot to lot. See vial label for concentration. If unlisted please contact technical services.

Product Specifications

Immunogen

This antibody was developed against Recombinant Protein corresponding to amino acids: SLELPININATQITTAYGHRALPKLKEELQSEDLQTRQKALMALCDLMHDPECIYKAMNIGCMENLKALLKD

Clonality

Polyclonal

Host

Rabbit

Isotype

IgG

Scientific Data Images for RTDR1 Antibody - BSA Free

Western Blot: RTDR1 Antibody [NBP1-86045]

Western Blot: RTDR1 Antibody [NBP1-86045]

Western Blot: RTDR1 Antibody [NBP1-86045] - Analysis in control (vector only transfected HEK293T lysate) and RTDR1 over-expression lysate (Co-expressed with a C-terminal myc-DDK tag (3.1 kDa) in mammalian HEK293T cells).
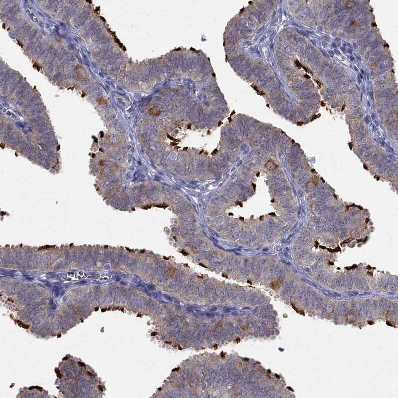
RTDR1 Antibody - BSA Free Immunohistochemistry-Paraffin: RTDR1 Antibody - BSA Free [NBP1-86045]

Immunohistochemistry-Paraffin: RTDR1 Antibody - BSA Free [NBP1-86045]

Staining of human fallopian tube shows strong positivity in cilia in glandular cells.
RTDR1 Antibody - BSA Free Immunohistochemistry-Paraffin: RTDR1 Antibody - BSA Free [NBP1-86045]

Immunohistochemistry-Paraffin: RTDR1 Antibody - BSA Free [NBP1-86045]

Staining of human skeletal muscle shows weak cytoplasmic positivity in myocytes.

Applications for RTDR1 Antibody - BSA Free

Application
Recommended Usage

Immunohistochemistry

1:200 - 1:500

Immunohistochemistry-Paraffin

1:200 - 1:500

Western Blot

0.04-0.4 ug/ml
Application Notes
For IHC-Paraffin, HIER pH 6 retrieval is recommended. Immunocytochemistry/Immunofluorescence Fixation Permeabilization: Use PFA/Triton X-100.

Formulation, Preparation, and Storage

Purification

Affinity purified

Formulation

PBS (pH 7.2) and 40% Glycerol

Format

BSA Free

Preservative

0.02% Sodium Azide

Concentration

Concentrations vary lot to lot. See vial label for concentration. If unlisted please contact technical services.

Shipping

The product is shipped with polar packs. Upon receipt, store it immediately at the temperature recommended below.

Stability & Storage

Store at 4C short term. Aliquot and store at -20C long term. Avoid freeze-thaw cycles.

Background: RTDR1

RTDR1 encodes a protein with no known function but with slight similarity to a yeast vacuolar protein. The gene is located in a region deleted in pediatric rhabdoid tumors of the brain, kidney and soft tissues, but mutations in this gene have not been associated with the disease. [provided by RefSeq]

Alternate Names

MGC16968, rhabdoid tumor deletion region gene 1, rhabdoid tumor deletion region protein 1

Gene Symbol

RSPH14

Additional RTDR1 Products

Product Documents for RTDR1 Antibody - BSA Free

Certificate of Analysis

To download a Certificate of Analysis, please enter a lot number in the search box below.

Product Specific Notices for RTDR1 Antibody - BSA Free

This product is for research use only and is not approved for use in humans or in clinical diagnosis. Primary Antibodies are guaranteed for 1 year from date of receipt.

Loading...
Loading...
Loading...
Loading...