Skip to main content

RP5-1077B9.4 Antibody - BSA Free

Novus Biologicals, part of Bio-Techne | Catalog # NBP1-87394

Novus Biologicals, part of Bio-Techne
Catalog #
Availability
Size / Price
Qty
Loading...
NBP1-87394
NBP1-87394-25ul

Key Product Details

Species Reactivity

Human

Applications

Immunohistochemistry, Immunohistochemistry-Paraffin, Immunocytochemistry/ Immunofluorescence

Label

Unconjugated

Antibody Source

Polyclonal Rabbit IgG

Format

BSA Free

Concentration

Concentrations vary lot to lot. See vial label for concentration. If unlisted please contact technical services.

Product Specifications

Immunogen

This antibody was developed against Recombinant Protein corresponding to amino acids: SDTLALPRHCLLGWDIFPPKSEKSSAPRNLDLWSSVSAEAQHQKLSGTSSPFHPASPMQMLPPTPTWSVPQVPRPHVPRQKP

Clonality

Polyclonal

Host

Rabbit

Isotype

IgG

Scientific Data Images for RP5-1077B9.4 Antibody - BSA Free

Immunocytochemistry/ Immunofluorescence: RP5-1077B9.4 Antibody [NBP1-87394]

Immunocytochemistry/ Immunofluorescence: RP5-1077B9.4 Antibody [NBP1-87394]

Immunocytochemistry/Immunofluorescence: RP5-1077B9.4 Antibody [NBP1-87394] - Immunofluorescent staining of human cell line U-251 MG shows localization to nucleoplasm.
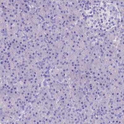
Immunohistochemistry-Paraffin: RP5-1077B9.4 Antibody [NBP1-87394]

Immunohistochemistry-Paraffin: RP5-1077B9.4 Antibody [NBP1-87394]

Immunohistochemistry-Paraffin: RP5-1077B9.4 Antibody [NBP1-87394] - Staining of human pancreas shows no positivity in exocrine glandular cells as expected.
Immunohistochemistry-Paraffin: RP5-1077B9.4 Antibody [NBP1-87394]

Immunohistochemistry-Paraffin: RP5-1077B9.4 Antibody [NBP1-87394]

Immunohistochemistry-Paraffin: RP5-1077B9.4 Antibody [NBP1-87394] - Staining of human liver shows moderate cytoplasmic positivity in hepatocytes.

Applications for RP5-1077B9.4 Antibody - BSA Free

Application
Recommended Usage

Immunocytochemistry/ Immunofluorescence

0.25-2 ug/ml

Immunohistochemistry

1:50 - 1:200

Immunohistochemistry-Paraffin

1:50 - 1:200
Application Notes
For IHC-Paraffin, HIER pH 6 retrieval is recommended. Immunocytochemistry/Immunofluorescence Fixation Permeabilization: Use PFA/Triton X-100.

Formulation, Preparation, and Storage

Purification

Affinity purified

Formulation

PBS (pH 7.2) and 40% Glycerol

Format

BSA Free

Preservative

0.02% Sodium Azide

Concentration

Concentrations vary lot to lot. See vial label for concentration. If unlisted please contact technical services.

Shipping

The product is shipped with polar packs. Upon receipt, store it immediately at the temperature recommended below.

Stability & Storage

Store at 4C short term. Aliquot and store at -20C long term. Avoid freeze-thaw cycles.

Background: RP5-1077B9.4

Alternate Names

FLJ12438, FLJ38609, IGFBP-2-Binding Protein, IGFBP2-binding protein, IIP45, invasion inhibitory protein 45, Invasion-inhibitory protein 45, migration and invasion inhibitory protein, migration and invasion-inhibitory protein

Gene Symbol

MIIP

Additional RP5-1077B9.4 Products

Product Documents for RP5-1077B9.4 Antibody - BSA Free

Certificate of Analysis

To download a Certificate of Analysis, please enter a lot number in the search box below.

Product Specific Notices for RP5-1077B9.4 Antibody - BSA Free

This product is for research use only and is not approved for use in humans or in clinical diagnosis. Primary Antibodies are guaranteed for 1 year from date of receipt.

Loading...
Loading...
Loading...
Loading...