Skip to main content

ROCK2 Antibody - BSA Free

Novus Biologicals, part of Bio-Techne | Catalog # NBP1-76570

Novus Biologicals, part of Bio-Techne

Key Product Details

Species Reactivity

Validated:

Human, Mouse, Rat

Predicted:

Bovine (100%), Porcine (100%). Backed by our 100% Guarantee.

Applications

Immunohistochemistry, Immunohistochemistry-Paraffin, Western Blot, ELISA, Immunocytochemistry/ Immunofluorescence

Label

Unconjugated

Antibody Source

Polyclonal Rabbit IgG

Format

BSA Free

Concentration

1 mg/ml

Product Specifications

Immunogen

Antibody was raised against a 15 amino acid synthetic peptide near the center of human ROCK2. The immunogen is located within amino acids 920 - 970 of ROCK2. Amino Acid Squence: DLEKEKIMKELEIKE

Specificity

Three isoforms of ROCK2 are known to exist; this antibody recognizes all three isoforms. ROCK2 antibody is predicted to not cross-react with other ROCK protein family members.

Clonality

Polyclonal

Host

Rabbit

Isotype

IgG

Theoretical MW

160 kDa.
Disclaimer note: The observed molecular weight of the protein may vary from the listed predicted molecular weight due to post translational modifications, post translation cleavages, relative charges, and other experimental factors.

Description

Novus Biologicals Rabbit ROCK2 Antibody - BSA Free (NBP1-76570) is a polyclonal antibody validated for use in IHC, WB, ELISA and ICC/IF. All Novus Biologicals antibodies are covered by our 100% guarantee.

Scientific Data Images for ROCK2 Antibody - BSA Free

Western Blot: ROCK2 AntibodyBSA Free [NBP1-76570]

Western Blot: ROCK2 AntibodyBSA Free [NBP1-76570]

Western Blot: ROCK2 Antibody [NBP1-76570] - Mouse brain tissue lysate with ROCK2 antibody at (A) 1 and (B) 2 ug/mL
ROCK2 Antibody - BSA Free

Immunocytochemistry/ Immunofluorescence: ROCK2 Antibody - BSA Free [NBP1-76570] -

Immunocytochemistry/ Immunofluorescence: ROCK2 Antibody - BSA Free [NBP1-76570] - Immunofluorescence of ROCK2 in mouse brain tissue with ROCK2 antibody at 20 ug/mL.
ROCK2 Antibody - BSA Free

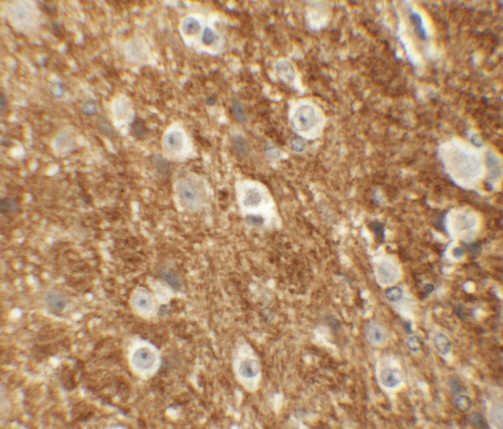
Immunohistochemistry: ROCK2 Antibody - BSA Free [NBP1-76570] -

Immunohistochemistry: ROCK2 Antibody - BSA Free [NBP1-76570] - Immunohistochemistry of ROCK2 in mouse brain tissue with ROCK2 antibody at 5 ug/mL.

Applications for ROCK2 Antibody - BSA Free

Application
Recommended Usage

ELISA

1:100-1:2000

Immunocytochemistry/ Immunofluorescence

20 ug/mL

Immunohistochemistry

5 ug/ml

Immunohistochemistry-Paraffin

5 ug/ml

Western Blot

1-2 ug/ml

Formulation, Preparation, and Storage

Purification

Peptide affinity purified

Formulation

PBS

Format

BSA Free

Preservative

0.02% Sodium Azide

Concentration

1 mg/ml

Shipping

The product is shipped with polar packs. Upon receipt, store it immediately at the temperature recommended below.

Stability & Storage

Store at 4C short term. Aliquot and store at -20C long term. Avoid freeze-thaw cycles.

Background: ROCK2

ROCK2 is a member of the AGC serine/threonine protein kinase family that regulates the assembly of the actin cytoskeleton. ROCK2 contains a protein kinase domain, a coiled-coil region and a zinc finger region and appears to be present as a dimer. ROCK2, like its isozyme ROCK1, is a downstream target of the small G-protein Rho and plays a role in smooth muscle contraction, malignant cell transformation, tumor invasion and metastasis, and mediates the cellular morphological changes during apoptosis.

Long Name

Rho-associated, Coiled-coil Containing Protein Kinase 2

Alternate Names

ROCK-II, ROKalpha

Entrez Gene IDs

9475 (Human)

Gene Symbol

ROCK2

UniProt

Additional ROCK2 Products

Product Documents for ROCK2 Antibody - BSA Free

Certificate of Analysis

To download a Certificate of Analysis, please enter a lot number in the search box below.

Product Specific Notices for ROCK2 Antibody - BSA Free

This product is for research use only and is not approved for use in humans or in clinical diagnosis. Primary Antibodies are guaranteed for 1 year from date of receipt.

Loading...
Loading...
Loading...
Loading...