Skip to main content

RNF170 Antibody - BSA Free

Novus Biologicals, part of Bio-Techne | Catalog # NBP2-48986

Novus Biologicals, part of Bio-Techne
Catalog #
Availability
Size / Price
Qty
Loading...
NBP2-48986
NBP2-48986-25ul

Key Product Details

Species Reactivity

Validated:

Human

Predicted:

Mouse (95%), Rat (95%). Backed by our 100% Guarantee.

Applications

Immunohistochemistry, Immunohistochemistry-Paraffin, Western Blot

Label

Unconjugated

Antibody Source

Polyclonal Rabbit IgG

Format

BSA Free

Concentration

Concentrations vary lot to lot. See vial label for concentration. If unlisted please contact technical services.

Product Specifications

Immunogen

This antibody was developed against a recombinant protein corresponding to amino acids: CGACIIAYWRYGSWLGAISCPICRQTVTLLLTVFGEDDQSQDVLRLHQDINDYNRRFSGQPRSIMERIMDLPT

Clonality

Polyclonal

Host

Rabbit

Isotype

IgG

Description

Novus Biologicals Rabbit RNF170 Antibody - BSA Free (NBP2-48986) is a polyclonal antibody validated for use in IHC and WB. All Novus Biologicals antibodies are covered by our 100% guarantee.

Scientific Data Images for RNF170 Antibody - BSA Free

Western Blot: RNF170 Antibody [NBP2-48986]

Western Blot: RNF170 Antibody [NBP2-48986]

Western Blot: RNF170 Antibody [NBP2-48986] - Lane 1: Marker [kDa] 250, 130, 95, 72, 55, 36, 28, 17, 10
Lane 2: Human cell line RT-4
Lane 3: Human cell line U-251MG sp
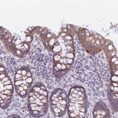
Immunohistochemistry-Paraffin: RNF170 Antibody [NBP2-48986]

Immunohistochemistry-Paraffin: RNF170 Antibody [NBP2-48986]

Immunohistochemistry-Paraffin: RNF170 Antibody [NBP2-48986] - Staining of human colon shows cytoplasmic positivity in glandular cells.

Applications for RNF170 Antibody - BSA Free

Application
Recommended Usage

Immunohistochemistry

1:200 - 1:500

Immunohistochemistry-Paraffin

1:200 - 1:500

Western Blot

0.04-0.4 ug/ml
Application Notes
For IHC-Paraffin, HIER pH 6 retrieval is recommended.

Formulation, Preparation, and Storage

Purification

Affinity purified

Formulation

PBS (pH 7.2) and 40% Glycerol

Format

BSA Free

Preservative

0.02% Sodium Azide

Concentration

Concentrations vary lot to lot. See vial label for concentration. If unlisted please contact technical services.

Shipping

The product is shipped with polar packs. Upon receipt, store it immediately at the temperature recommended below.

Stability & Storage

Store at 4C short term. Aliquot and store at -20C long term. Avoid freeze-thaw cycles.

Background: RNF170

Alternate Names

DKFZp564A022, FLJ38306, Putative LAG1-interacting protein, ring finger protein 170

Gene Symbol

RNF170

Additional RNF170 Products

Product Documents for RNF170 Antibody - BSA Free

Certificate of Analysis

To download a Certificate of Analysis, please enter a lot number in the search box below.

Product Specific Notices for RNF170 Antibody - BSA Free

This product is for research use only and is not approved for use in humans or in clinical diagnosis. Primary Antibodies are guaranteed for 1 year from date of receipt.

Loading...
Loading...
Loading...
Loading...