Skip to main content

RNASE13 Antibody - BSA Free

Novus Biologicals, part of Bio-Techne | Catalog # NBP2-94210

Novus Biologicals, part of Bio-Techne
Catalog #
Availability
Size / Price
Qty
Loading...
NBP2-94210-0.02ml
NBP2-94210-0.1ml

Key Product Details

Species Reactivity

Human, Mouse

Applications

Immunohistochemistry, Immunohistochemistry-Paraffin, Western Blot

Label

Unconjugated

Antibody Source

Polyclonal Rabbit IgG

Format

BSA Free

Concentration

Please see the vial label for concentration. If unlisted please contact technical services.

Product Specifications

Immunogen

Recombinant fusion protein containing a sequence corresponding to amino acids 1-156 of human RNASE13 (NP_001012264.1). MAPAVTRLLFLQLVLGPTLVMDIKMQIGSRNFYTLSIDYPRVNYPKGFRGYCNGLMSYMRGKMQNSDCPKIHYVIHAPWKAIQKFCKYSDSFCENYNEYCTLTQDSLPITVCSLSHQQPPTSCYYNSTLTNQKLYLLCSRKYEADPIGIAGLYSGI

Clonality

Polyclonal

Host

Rabbit

Isotype

IgG

Theoretical MW

17 kDa.
Disclaimer note: The observed molecular weight of the protein may vary from the listed predicted molecular weight due to post translational modifications, post translation cleavages, relative charges, and other experimental factors.

Description

Novus Biologicals Rabbit RNASE13 Antibody - BSA Free (NBP2-94210) is a polyclonal antibody validated for use in IHC and WB. All Novus Biologicals antibodies are covered by our 100% guarantee.

Scientific Data Images for RNASE13 Antibody - BSA Free

Western Blot: RNASE13 AntibodyBSA Free [NBP2-94210]

Western Blot: RNASE13 AntibodyBSA Free [NBP2-94210]

Western Blot: RNASE13 Antibody [NBP2-94210] - Analysis of extracts of Raji cells, using RNASE13 at 1:1000 dilution.Secondary antibody: HRP Goat Anti-Rabbit IgG (H+L) at 1:10000 dilution.Lysates/proteins: 25ug per lane.Blocking buffer: 3% nonfat dry milk in TBST.
Immunohistochemistry-Paraffin: RNASE13 Antibody - BSA Free [NBP2-94210]

Immunohistochemistry-Paraffin: RNASE13 Antibody - BSA Free [NBP2-94210]

Immunohistochemistry-Paraffin: RNASE13 Antibody [NBP2-94210] - Paraffin-embedded mouse lung using RNASE13 .
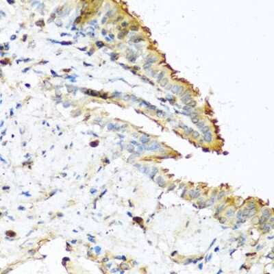
Immunohistochemistry-Paraffin: RNASE13 Antibody - BSA Free [NBP2-94210]

Immunohistochemistry-Paraffin: RNASE13 Antibody - BSA Free [NBP2-94210]

Immunohistochemistry-Paraffin: RNASE13 Antibody [NBP2-94210] - Paraffin-embedded human prostate using RNASE13 .

Applications for RNASE13 Antibody - BSA Free

Application
Recommended Usage

Immunohistochemistry

1:100 - 1:200

Western Blot

1:500 - 1:2000

Formulation, Preparation, and Storage

Purification

Affinity purified

Formulation

PBS (pH 7.3), 50% glycerol

Format

BSA Free

Preservative

0.02% Sodium Azide

Concentration

Please see the vial label for concentration. If unlisted please contact technical services.

Shipping

The product is shipped with polar packs. Upon receipt, store it immediately at the temperature recommended below.

Stability & Storage

Store at -20C. Avoid freeze-thaw cycles.

Background: RNASE13

The RNASE13 gene encodes a 156 amino acid long, 17 kDA probable inactive ribonuclease-like protein 13 that does not demonstrate any ribonuclease activity, yet has been researched regarding pancreatitis.

Alternate Names

ribonuclease 13, ribonuclease, RNase A family, 13 (non-active), ribonuclease-like protein 13

Gene Symbol

RNASE13

Additional RNASE13 Products

Product Documents for RNASE13 Antibody - BSA Free

Certificate of Analysis

To download a Certificate of Analysis, please enter a lot number in the search box below.

Product Specific Notices for RNASE13 Antibody - BSA Free

This product is for research use only and is not approved for use in humans or in clinical diagnosis. Primary Antibodies are guaranteed for 1 year from date of receipt.

Loading...
Loading...
Loading...
Loading...