Skip to main content

Rit2 Antibody (OTI3F4) - Azide and BSA Free

Novus Biologicals, part of Bio-Techne | Catalog # NBP2-73917

Novus Biologicals, part of Bio-Techne

Key Product Details

Species Reactivity

Human, Mouse, Rat, Canine, Monkey, Primate

Applications

Immunohistochemistry, Immunohistochemistry-Paraffin, Western Blot, Flow Cytometry, CyTOF-ready

Label

Unconjugated

Antibody Source

Monoclonal Mouse IgG2A Clone # OTI3F4

Format

Azide and BSA Free

Concentration

LYOPH mg/ml

Product Specifications

Immunogen

Full length human recombinant protein of human RIT2 (NP_002921) produced in HEK293T cell.

Reactivity Notes

Please note that this antibody is reactive to Mouse and derived from the same host, Mouse. Mouse-On-Mouse blocking reagent may be needed for IHC and ICC experiments to reduce high background signal. You can find these reagents under catalog numbers PK-2200-NB and MP-2400-NB. Please contact Technical Support if you have any questions.

Clonality

Monoclonal

Host

Mouse

Isotype

IgG2A

Theoretical MW

24.5 kDa.
Disclaimer note: The observed molecular weight of the protein may vary from the listed predicted molecular weight due to post translational modifications, post translation cleavages, relative charges, and other experimental factors.

Description

Novus Biologicals Mouse Rit2 Antibody (OTI3F4) - Azide and BSA Free (NBP2-03062) is a monoclonal antibody validated for use in IHC, WB and Flow. All Novus Biologicals antibodies are covered by our 100% guarantee.

Scientific Data Images for Rit2 Antibody (OTI3F4) - Azide and BSA Free

Western Blot: Rit2 Antibody (OTI3F4)Azide and BSA Free [NBP2-73917]

Western Blot: Rit2 Antibody (OTI3F4)Azide and BSA Free [NBP2-73917]

Western Blot: Rit2 Antibody (OTI3F4) - Azide and BSA Free [NBP2-73917] - HEK293T cells were transfected with the pCMV6-ENTRY control (Left lane) or pCMV6-ENTRY RIT2 (Right lane) cDNA for 48 hrs and lysed. Equivalent amounts of cell lysates (5 ug per lane) were separated by SDS-PAGE and immunoblotted with anti-RIT2.
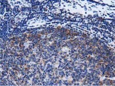
Immunohistochemistry: Rit2 Antibody (OTI3F4) - Azide and BSA Free [NBP2-73917]

Immunohistochemistry: Rit2 Antibody (OTI3F4) - Azide and BSA Free [NBP2-73917]

Immunohistochemistry: Rit2 Antibody (OTI3F4) - Azide and BSA Free [NBP2-73917] - Staining of paraffin-embedded Human lymph node tissue using anti-RIT2 mouse monoclonal antibody.
Flow Cytometry: Rit2 Antibody (OTI3F4) - Azide and BSA Free [NBP2-73917]

Flow Cytometry: Rit2 Antibody (OTI3F4) - Azide and BSA Free [NBP2-73917]

Flow Cytometry: Rit2 Antibody (OTI3F4) - Azide and BSA Free [NBP2-73917] - HEK293T cells transfected with either overexpression plasmid (Red) or empty vector control plasmid (Blue) were immunostaining by anti-RIT2 antibody, and then analyzed by flow cytometry.

Applications for Rit2 Antibody (OTI3F4) - Azide and BSA Free

Application
Recommended Usage

Flow Cytometry

1:100

Immunohistochemistry

1:150

Western Blot

1:500

Formulation, Preparation, and Storage

Purification

Immunogen affinity purified

Reconstitution

we recommend adding 100uL distilled water to a final antibody concentration of about 1 mg/mL. To use this carrier-free antibody for conjugation experiment, we strongly recommend performing another round of desalting process.

Formulation

Lyophilized from PBS (pH 7.3) with 8% Trehalose

Format

Azide and BSA Free

Preservative

No Preservative

Concentration

LYOPH mg/ml

Shipping

The product is shipped with polar packs. Upon receipt, store it immediately at the temperature recommended below.

Stability & Storage

Store at -20C. Avoid freeze-thaw cycles.

Background: Rit2

RIT2 is a gene that codes for a protein which binds and exchanges GTP and GDP, and has two isoforms with lengths of 217 and 153 amino acids, with weights of approximately 25 and 17 kDa, respectively. Current studies are being done on diseases and disorders relating to this gene including neuronitis, ehrlichiosis, cryoglobulinemia, hepatitis, Parkinson's disease, and schizophrenia. RIT2 has been shown to have interactions with CALM1, CALM2, CALM3, RLF, and HRAS in pathways such as the Trk receptor signaling, signaling to NGF, and signaling to ERKs pathways.

Long Name

Ras-like without CAAX 2

Alternate Names

RIBA, RIN, ROC2

Gene Symbol

RIT2

Additional Rit2 Products

Product Documents for Rit2 Antibody (OTI3F4) - Azide and BSA Free

Certificate of Analysis

To download a Certificate of Analysis, please enter a lot number in the search box below.

Product Specific Notices for Rit2 Antibody (OTI3F4) - Azide and BSA Free

This product is for research use only and is not approved for use in humans or in clinical diagnosis. Primary Antibodies are guaranteed for 1 year from date of receipt.

Loading...
Loading...
Loading...
Loading...
Loading...
Loading...