Skip to main content

Rit2 Antibody (OTI3F4)

Novus Biologicals, part of Bio-Techne | Catalog # NBP2-03062

Novus Biologicals, part of Bio-Techne

Key Product Details

Species Reactivity

Human, Mouse, Rat, Canine, Monkey, Primate

Applications

Flow Cytometry, Immunohistochemistry, Immunohistochemistry-Paraffin, Western Blot

Label

Unconjugated

Antibody Source

Monoclonal Mouse IgG2A Clone # OTI3F4

Concentration

0.69 mg/ml

Product Specifications

Immunogen

Full length human recombinant protein of human RIT2 (NP_002921) produced in HEK293T cell.

Reactivity Notes

Please note that this antibody is reactive to Mouse and derived from the same host, Mouse. Mouse-On-Mouse blocking reagent may be needed for IHC and ICC experiments to reduce high background signal. You can find these reagents under catalog numbers PK-2200-NB and MP-2400-NB. Please contact Technical Support if you have any questions.

Clonality

Monoclonal

Host

Mouse

Isotype

IgG2A

Theoretical MW

24.5 kDa.
Disclaimer note: The observed molecular weight of the protein may vary from the listed predicted molecular weight due to post translational modifications, post translation cleavages, relative charges, and other experimental factors.

Description

Novus Biologicals Mouse Rit2 Antibody (OTI3F4) (NBP2-03062) is a monoclonal antibody validated for use in IHC, WB and Flow. All Novus Biologicals antibodies are covered by our 100% guarantee.

Scientific Data Images for Rit2 Antibody (OTI3F4)

Western Blot: RIT2 Antibody (3F4) [NBP2-03062] Analysis of extracts (35ug) from 9 different cell lines by using anti-RIT2 monoclonal antibody.
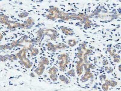
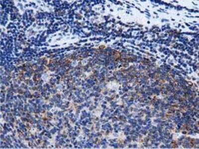
Immunohistochemistry-Paraffin: Rit2 Antibody (OTI3F4) [NBP2-03062]

Immunohistochemistry-Paraffin: Rit2 Antibody (OTI3F4) [NBP2-03062]

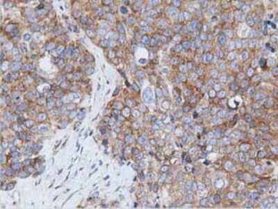
Immunohistochemistry-Paraffin: RIT2 Antibody (3F4) [NBP2-03062] - Staining of paraffin-embedded Human pancreas tissue using anti-RIT2 mouse monoclonal antibody.
Flow Cytometry: Rit2 Antibody (OTI3F4) [NBP2-03062]

Flow Cytometry: Rit2 Antibody (OTI3F4) [NBP2-03062]

Flow Cytometry: RIT2 Antibody (3F4) [NBP2-03062] - HEK293T cells transfected with either overexpression plasmid (Red) or empty vector control plasmid (Blue) were immunostained by anti-RIT2 antibody, and then analyzed by flow cytometry.

Applications for Rit2 Antibody (OTI3F4)

Application
Recommended Usage

Flow Cytometry

1:100

Immunohistochemistry

1:150

Immunohistochemistry-Paraffin

1:150

Western Blot

1:500

Formulation, Preparation, and Storage

Purification

Immunogen affinity purified

Formulation

PBS (pH 7.3), 1.0% BSA and 50% Glycerol

Preservative

0.02% Sodium Azide

Concentration

0.69 mg/ml

Shipping

The product is shipped with polar packs. Upon receipt, store it immediately at the temperature recommended below.

Stability & Storage

Store at -20C. Avoid freeze-thaw cycles.

Background: Rit2

?RIN belongs to the RAS (HRAS; MIM 190020) superfamily of small GTPases (Shao et al., 1999 [PubMed 10545207]).[supplied by OMIM].

Long Name

Ras-like without CAAX 2

Alternate Names

RIBA, RIN, ROC2

Entrez Gene IDs

6014 (Human)

Gene Symbol

RIT2

Additional Rit2 Products

Product Documents for Rit2 Antibody (OTI3F4)

Certificate of Analysis

To download a Certificate of Analysis, please enter a lot number in the search box below.

Product Specific Notices for Rit2 Antibody (OTI3F4)

This product is for research use only and is not approved for use in humans or in clinical diagnosis. Primary Antibodies are guaranteed for 1 year from date of receipt.

Loading...
Loading...
Loading...
Loading...
Loading...