Skip to main content

RIPK2 Antibody - BSA Free

Novus Biologicals, part of Bio-Techne | Catalog # NBP1-32424

Novus Biologicals, part of Bio-Techne

Key Product Details

Species Reactivity

Human

Applications

Immunocytochemistry/ Immunofluorescence, Immunohistochemistry, Immunohistochemistry-Paraffin, Western Blot

Label

Unconjugated

Antibody Source

Polyclonal Rabbit IgG

Format

BSA Free

Concentration

1.0 mg/ml

Product Specifications

Immunogen

Recombinant protein encompassing a sequence within the center region of human RIP2. The exact sequence is proprietary.

Reactivity Notes

Bovine (80%).

Localization

Cytoplasm

Clonality

Polyclonal

Host

Rabbit

Isotype

IgG

Theoretical MW

61 kDa.
Disclaimer note: The observed molecular weight of the protein may vary from the listed predicted molecular weight due to post translational modifications, post translation cleavages, relative charges, and other experimental factors.

Description

Novus Biologicals Rabbit RIPK2 Antibody - BSA Free (NBP1-32424) is a polyclonal antibody validated for use in IHC, WB and ICC/IF. All Novus Biologicals antibodies are covered by our 100% guarantee.

Scientific Data Images for RIPK2 Antibody - BSA Free

Western Blot: RIPK2 AntibodyBSA Free [NBP1-32424]

Western Blot: RIPK2 AntibodyBSA Free [NBP1-32424]

Western Blot: RIPK2 Antibody [NBP1-32424] - Total protein from human HeLa, A431 and Raji cells was separated on a 7.5% gel by SDS-PAGE, transferred to PVDF membrane and blocked in 5% non-fat milk in TBST. The membrane was probed with 2.0 ug/ml anti-RIPK2 (NBP1-32424) in blocking buffer and detected with an anti-rabbit HRP secondary antibody using NovaLume chemiluminescence detection reagent (NPB2-61915).
Immunocytochemistry/ Immunofluorescence: RIPK2 Antibody - BSA Free [NBP1-32424]

Immunocytochemistry/ Immunofluorescence: RIPK2 Antibody - BSA Free [NBP1-32424]

Immunocytochemistry/Immunofluorescence: RIPK2 Antibody [NBP1-32424] - A431 cells were fixed for 10 minutes using 10% formalin and then permeabilized for 5 minutes using 1X PBS + 0.05% Triton-X100. The cells were incubated with anti-RIPK2 at 2 ug/ml overnight at 4C and detected with an anti-rabbit Dylight 488 (Green) at a 1:500 dilution. Alpha tubulin (DM1A) NB100-690 was used as a co-stain at a 1:1000 dilution and detected with an anti-mouse Dylight 550 (Red) at a 1:500 dilution. Nuclei were counterstained with DAPI (Blue). Cells were imaged using a 40X objective.
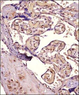
Immunohistochemistry-Paraffin: RIPK2 Antibody - BSA Free [NBP1-32424]

Immunohistochemistry-Paraffin: RIPK2 Antibody - BSA Free [NBP1-32424]

Immunohistochemistry-Paraffin: RIPK2 Antibody [NBP1-32424] - Analysis of a FFPE tissue section of human placenta using 1:200 dilution of RIPK2 (NBP1-32424) antibody. The staining was developed using HRP labeled anti-rabbit secondary antibody and DAB reagent, and nuclei of cells were counter-stained with hematoxylin. This RIPK2 antibody generated cytoplasmic reactivity in most trophoblastic cells.

Applications for RIPK2 Antibody - BSA Free

Application
Recommended Usage

Immunocytochemistry/ Immunofluorescence

1:100-1:1000

Immunohistochemistry

1:100-1:1000

Immunohistochemistry-Paraffin

1:100-1:1000

Western Blot

1:500-1:3000

Formulation, Preparation, and Storage

Purification

Immunogen affinity purified

Formulation

PBS

Format

BSA Free

Preservative

0.02% Sodium Azide

Concentration

1.0 mg/ml

Shipping

The product is shipped with polar packs. Upon receipt, store it immediately at the temperature recommended below.

Stability & Storage

Store at 4C short term. Aliquot and store at -20C long term. Avoid freeze-thaw cycles.

Background: RIPK2/RIP2

This gene encodes a member of the receptor-interacting protein (RIP) family of serine/threonine protein kinases. The encoded protein contains a C-terminal caspase activation and recruitment domain (CARD), and is a component of signaling complexes in both the innate and adaptive immune pathways. It is a potent activator of NF-kappaB and inducer of apoptosis in response to various stimuli.

Long Name

Receptor Interacting Serine/Threonine Kinase 2

Alternate Names

CARD3, GIG30, RICK, RIP-2, RIP2

Gene Symbol

RIPK2

Additional RIPK2/RIP2 Products

Product Documents for RIPK2 Antibody - BSA Free

Certificate of Analysis

To download a Certificate of Analysis, please enter a lot number in the search box below.

Product Specific Notices for RIPK2 Antibody - BSA Free

This product is for research use only and is not approved for use in humans or in clinical diagnosis. Primary Antibodies are guaranteed for 1 year from date of receipt.

Loading...
Loading...
Loading...
Loading...

⚠ WARNING: This product can expose you to chemicals including mercury, which is known to the State of California to cause reproductive toxicity with developmental effects.  For more information go to www.P65Warnings.ca.gov.