Skip to main content

RIPK1/RIP1 Antibody - BSA Free

Novus Biologicals, part of Bio-Techne | Catalog # NBP1-77077

Novus Biologicals, part of Bio-Techne

Key Product Details

Validated by

Biological Validation

Species Reactivity

Validated:

Human, Mouse, Rat

Cited:

Human, Mouse, Rat

Applications

Validated:

Immunohistochemistry, Immunohistochemistry-Paraffin, Western Blot, ELISA, Immunocytochemistry/ Immunofluorescence, Knockdown Validated

Cited:

Immunohistochemistry, Immunohistochemistry-Paraffin, Western Blot, Immunocytochemistry/ Immunofluorescence, IF/IHC, Knockdown Validated

Label

Unconjugated

Antibody Source

Polyclonal Rabbit IgG

Format

BSA Free

Concentration

1 mg/ml

Product Specifications

Immunogen

Antibody was raised against a 15 amino acid synthetic peptide from near the amino terminus of human RIPK1. The immunogen is located within amino acids 180 - 230 of RIPK1. Amino Acid Squence: DVNAKPTEKSDVYS

Clonality

Polyclonal

Host

Rabbit

Isotype

IgG

Theoretical MW

70.7 kDa.
Disclaimer note: The observed molecular weight of the protein may vary from the listed predicted molecular weight due to post translational modifications, post translation cleavages, relative charges, and other experimental factors.

Description

Novus Biologicals Rabbit RIPK1/RIP1 Antibody - BSA Free (NBP1-77077) is a polyclonal antibody validated for use in IHC, WB, ELISA and ICC/IF. Anti-RIPK1/RIP1 Antibody: Cited in 20 publications. All Novus Biologicals antibodies are covered by our 100% guarantee.

Scientific Data Images for RIPK1/RIP1 Antibody - BSA Free

RIPK1/RIP1 Antibody - BSA Free

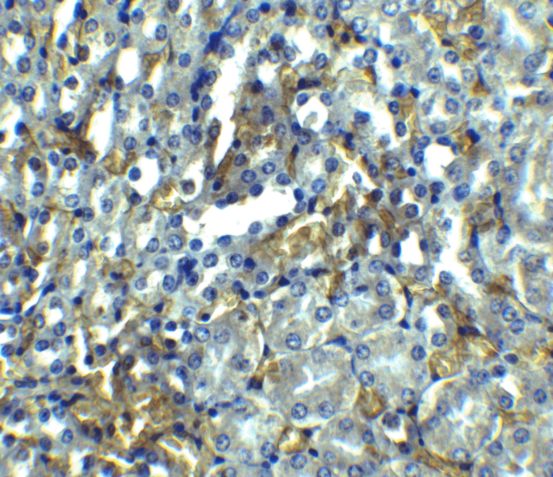
Immunohistochemistry: RIPK1/RIP1 Antibody - BSA Free [NBP1-77077] -

Immunohistochemistry: RIPK1/RIP1 Antibody - BSA Free [NBP1-77077] - Immunohistochemistry of RIPK1/RIP1 in mouse kidney tissue with RIPK1/RIP1 antibody at 2.5 ug/mL.
RIPK1/RIP1 Antibody - BSA Free

Immunohistochemistry: RIPK1/RIP1 Antibody - BSA Free [NBP1-77077] -

Immunohistochemistry: RIPK1/RIP1 Antibody - BSA Free [NBP1-77077] - Immunohistochemistry of RIPK1/RIP1 in mouse kidney tissue with RIPK1/RIP1 antibody at 2.5 ug/ml.
Western Blot: RIPK1/RIP1 AntibodyBSA Free [NBP1-77077]

Western Blot: RIPK1/RIP1 AntibodyBSA Free [NBP1-77077]

RIPK1-RIP1-Antibody-Western-Blot-NBP1-77077-img0005.jpg

Applications for RIPK1/RIP1 Antibody - BSA Free

Application
Recommended Usage

ELISA

1:100-1:2000

Immunocytochemistry/ Immunofluorescence

20 ug/ml

Immunohistochemistry

2.5 ug/ml

Immunohistochemistry-Paraffin

2.5 ug/ml

Western Blot

1 ug/ml

Reviewed Applications

Read 1 review rated 4 using NBP1-77077 in the following applications:

Formulation, Preparation, and Storage

Purification

Peptide affinity purified

Formulation

PBS

Format

BSA Free

Preservative

0.02% Sodium Azide

Concentration

1 mg/ml

Shipping

The product is shipped with polar packs. Upon receipt, store it immediately at the temperature recommended below.

Stability & Storage

Store at 4C short term. Aliquot and store at -20C long term. Avoid freeze-thaw cycles.

Background: RIPK1/RIP1

RIPK1 (Receptor Interacting Protein) is a crucial 74 kD adaptor kinase in several of stress-induced signaling pathways and on the crossroad of a cell's decision to live or die. RIPK1 contains an N-terminal region with homology to protein kinases, an intermediate domain capable of association with MAPKKK and a C-terminal region containing a death domain motif present in the Fas and TNFR1 intracellular domains. Full length RIPK1 is important for signallling to NF-kappa-B, MAPKs and necrosis, whereas caspase-8 generates a C-terminal RIPK1 cleavage fragment, promoting TNF-induced apoptosis. It is required for TNFRSF1A-mediated and TLR3-induced NF-kappaB activation. RIPK1-deficient mice fail to thrive, displaying extensive apoptosis in both lymphoid and adipose tissues and dying at 1-3 days of age.

Long Name

Receptor (TNFRSF)-Interacting Serine-Threonine Kinase 1

Alternate Names

RIP, RIP1

Entrez Gene IDs

8737 (Human)

Gene Symbol

RIPK1

UniProt

Additional RIPK1/RIP1 Products

Product Documents for RIPK1/RIP1 Antibody - BSA Free

Certificate of Analysis

To download a Certificate of Analysis, please enter a lot number in the search box below.

Product Specific Notices for RIPK1/RIP1 Antibody - BSA Free

This product is for research use only and is not approved for use in humans or in clinical diagnosis. Primary Antibodies are guaranteed for 1 year from date of receipt.

Loading...
Loading...
Loading...
Loading...