Skip to main content

Ribonuclease Inhibitor Antibody - BSA Free

Novus Biologicals, part of Bio-Techne | Catalog # NBP2-99628

Novus Biologicals, part of Bio-Techne

Key Product Details

Species Reactivity

Human

Applications

Immunohistochemistry, Immunohistochemistry-Paraffin, Immunocytochemistry/ Immunofluorescence

Label

Unconjugated

Antibody Source

Polyclonal Rabbit IgG

Format

BSA Free

Concentration

Please see the vial label for concentration. If unlisted please contact technical services.

Product Specifications

Immunogen

Produced in rabbits immunized with a synthetic peptide corresponding to the C-terminus of the Human Ribonuclease Inhibitor.

Clonality

Polyclonal

Host

Rabbit

Isotype

IgG

Description

This antibody can be stored at 2C to 8C for one month without detectable loss of activity. Antibody products are stable for twelve months from date of receipt when stored at -20C to -80C. Avoid repeated freeze-thaw cycles.

Scientific Data Images for Ribonuclease Inhibitor Antibody - BSA Free

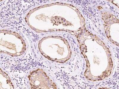
Immunohistochemistry-Paraffin: Ribonuclease Inhibitor Antibody [NBP2-99628]

Immunohistochemistry-Paraffin: Ribonuclease Inhibitor Antibody [NBP2-99628]

Immunohistochemistry-Paraffin: Ribonuclease Inhibitor Antibody [NBP2-99628] - Immunochemical staining of human Ribonuclease Inhibitor in human testis with rabbit polyclonal antibody at 1:2000 dilution, formalin-fixed paraffin embedded sections.
Immunohistochemistry-Paraffin: Ribonuclease Inhibitor Antibody [NBP2-99628]

Immunohistochemistry-Paraffin: Ribonuclease Inhibitor Antibody [NBP2-99628]

Immunohistochemistry-Paraffin: Ribonuclease Inhibitor Antibody [NBP2-99628] - Immunochemical staining of human Ribonuclease Inhibitor in human brain with rabbit polyclonal antibody at 1:2000 dilution, formalin-fixed paraffin embedded sections.
Ribonuclease Inhibitor Antibody - BSA Free

Immunocytochemistry/Immunofluorescence: Ribonuclease Inhibitor Antibody [NBP2-99628] -

Immunocytochemistry/Immunofluorescence: Ribonuclease Inhibitor Antibody [NBP2-99628] - Immunofluorescence staining of Ribonuclease Inhibitor in U2OS cells. Cells were fixed with 4% PFA, permeabilzed with 0.1% Triton X-100 in PBS, blocked with 10% serum, and incubated with NBP2-99628 antibody (dilution ratio 1:1000) at 4C overnight. Then cells were stained with the Alexa Fluor(R)488-conjugated Goat Anti-rabbit IgG secondary antibody (green) and counterstained with DAPI (blue).Positive staining was localized to Cytoplasm.

Applications for Ribonuclease Inhibitor Antibody - BSA Free

Application
Recommended Usage

Immunocytochemistry/ Immunofluorescence

1:300-1:10000

Immunohistochemistry-Paraffin

1:500-1:3000

Formulation, Preparation, and Storage

Purification

Antigen and protein A Affinity-purified

Formulation

PBS

Format

BSA Free

Preservative

0.03% Proclin 300

Concentration

Please see the vial label for concentration. If unlisted please contact technical services.

Shipping

The product is shipped with polar packs. Upon receipt, store it immediately at the temperature recommended below.

Stability & Storage

Store at 4C short term. Aliquot and store at -20C long term. Avoid freeze-thaw cycles.

Background: Ribonuclease Inhibitor

Inhibitor of pancreatic RNase and angiogenin. May also function in the modulation of cellular activities

Alternate Names

Placental ribonuclease inhibitor, Placental RNase inhibitor, PRI, RAIMGC4569, ribonuclease inhibitor, ribonuclease/angiogenin inhibitor, ribonuclease/angiogenin inhibitor 1MGC18200, RNHMGC54054

Gene Symbol

RNH1

Additional Ribonuclease Inhibitor Products

Product Documents for Ribonuclease Inhibitor Antibody - BSA Free

Certificate of Analysis

To download a Certificate of Analysis, please enter a lot number in the search box below.

Product Specific Notices for Ribonuclease Inhibitor Antibody - BSA Free

This product is for research use only and is not approved for use in humans or in clinical diagnosis. Primary Antibodies are guaranteed for 1 year from date of receipt.

Loading...
Loading...
Loading...
Loading...