Skip to main content

Relaxin R1/LGR7 Antibody - BSA Free

Novus Biologicals, part of Bio-Techne | Catalog # NBP2-23674

Novus Biologicals, part of Bio-Techne
Catalog #
Availability
Size / Price
Qty
Loading...
NBP2-23674SS
NBP2-23674

Key Product Details

Species Reactivity

Validated:

Human, Mouse

Cited:

Mouse, Canine

Predicted:

Primate (100%). Backed by our 100% Guarantee.

Applications

Validated:

Immunohistochemistry, Immunohistochemistry-Paraffin, Immunohistochemistry-Frozen, Western Blot

Cited:

Immunohistochemistry-Frozen, Western Blot, IF/IHC

Label

Unconjugated

Antibody Source

Polyclonal Rabbit IgG

Format

BSA Free

Concentration

This product is unpurified. The exact concentration of antibody is not quantifiable.

Product Specifications

Immunogen

Within the range of amino acids 694-732 of human RXFP1 protein were used as the immunogen for this antibody.

Reactivity Notes

Mouse reactivity reported in scientific literature (PMID: 31218471). Immunogen displays the following percentage of sequence identity for non-tested species: horse (83%), bovine (83%), dog (83%) and cat (83%).

Clonality

Polyclonal

Host

Rabbit

Isotype

IgG

Scientific Data Images for Relaxin R1/LGR7 Antibody - BSA Free

Immunohistochemistry-Paraffin: Relaxin R1/LGR7 Antibody [NBP2-23674]

Immunohistochemistry-Paraffin: Relaxin R1/LGR7 Antibody [NBP2-23674]

Immunohistochemistry-Paraffin: Relaxin R1/LGR7 Antibody [NBP2-23674] - Cytoplasmic staining of FFPE adenocarcinoma of the stomach (IMH-343) with RXFP1 antibody (1:50), peroxidase-conjugate and DAB chromogen. Staining of formalin-fixed tissues is enhanced by boiling tissue sections in 10 mM sodium citrate buffer, pH 6.0 for 10-20 min followed by cooling at RT for 20 min.
Immunohistochemistry-Paraffin: Relaxin R1/LGR7 Antibody [NBP2-23674]

Immunohistochemistry-Paraffin: Relaxin R1/LGR7 Antibody [NBP2-23674]

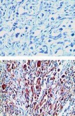
Immunohistochemistry-Paraffin: Relaxin R1/LGR7 Antibody [NBP2-23674] - Analysis of RXFP1 in FFPE human stomach tumor tissue using an isotype control antibody (top) and RXFP1 antibody (bottom) at 1:100.

Applications for Relaxin R1/LGR7 Antibody - BSA Free

Application
Recommended Usage

Immunohistochemistry-Frozen

reported in scientific literature (PMID 31218471)

Immunohistochemistry-Paraffin

1:100

Western Blot

reported in scientific literature (PMID 31218471)

Formulation, Preparation, and Storage

Purification

Unpurified

Formulation

Whole sera with 50% Glycerol

Format

BSA Free

Preservative

0.025% Sodium Azide

Concentration

This product is unpurified. The exact concentration of antibody is not quantifiable.

Shipping

The product is shipped with polar packs. Upon receipt, store it immediately at the temperature recommended below.

Stability & Storage

Store at -20C. Avoid freeze-thaw cycles.

Background: Relaxin R1

The relaxin receptor, RXFP1, has recently been identified as the only human G-protein-coupled receptor to contain a low-density lipoprotein class-A (LDL-A) module. The mosaic protein contains an N-terminal low density lipoprotein (LDL) receptor cysteine-rich motif, a set of ten leucine-rich repeats and a seven transmembrane region with an intracellular C-terminus. RXFP1 specifically binds relaxins H1 and H2 with high affinity and thus stimulates adenylate cyclase activation, substrate adhesion, and chemo migratory capacity of mononuclear leukocytes. RXFP1 is critical for mediating these biological responses by use of RNA interference lentiviral short hairpin constructs. The gene encoding for RXFP1 is mapped to the 4q32.1 region of the chromosome. The protein is commonly expressed in human brain, kidney, testis, placenta, uterus, ovary, adrenal, prostate, skin and heart.

Long Name

Relaxin Receptor 1

Alternate Names

LGR7, RelaxinR1, RXFP1, RXFPR1

Gene Symbol

RXFP1

Additional Relaxin R1 Products

Product Documents for Relaxin R1/LGR7 Antibody - BSA Free

Certificate of Analysis

To download a Certificate of Analysis, please enter a lot number in the search box below.

Product Specific Notices for Relaxin R1/LGR7 Antibody - BSA Free

This product is for research use only and is not approved for use in humans or in clinical diagnosis. Primary Antibodies are guaranteed for 1 year from date of receipt.

Loading...
Loading...
Loading...
Loading...