Skip to main content

Relaxin R1/LGR7 Antibody - BSA Free

Novus Biologicals, part of Bio-Techne | Catalog # NBP1-89585

Novus Biologicals, part of Bio-Techne
Catalog #
Availability
Size / Price
Qty
Loading...
NBP1-89585
NBP1-89585-25ul

Key Product Details

Species Reactivity

Human

Applications

Immunohistochemistry, Immunohistochemistry-Paraffin

Label

Unconjugated

Antibody Source

Polyclonal Rabbit IgG

Format

BSA Free

Concentration

Concentrations vary lot to lot. See vial label for concentration. If unlisted please contact technical services.

Product Specifications

Immunogen

This antibody was developed against Recombinant Protein corresponding to amino acids: PFKEMIHRFWYNYRQRKSMDSKGQKTYAPSFIWVEMWPLQEMPPELMKPDLFTYPCEMSLISQSTRLNS

Clonality

Polyclonal

Host

Rabbit

Isotype

IgG

Scientific Data Images for Relaxin R1/LGR7 Antibody - BSA Free

Immunohistochemistry-Paraffin: Relaxin R1/LGR7 Antibody [NBP1-89585]

Immunohistochemistry-Paraffin: Relaxin R1/LGR7 Antibody [NBP1-89585]

Immunohistochemistry-Paraffin: Relaxin R1/LGR7 Antibody [NBP1-89585] - Staining of human prostate shows moderate membranous and cytoplasmic positivity in glandular cells.
Immunohistochemistry-Paraffin: Relaxin R1/LGR7 Antibody [NBP1-89585]

Immunohistochemistry-Paraffin: Relaxin R1/LGR7 Antibody [NBP1-89585]

Immunohistochemistry-Paraffin: Relaxin R1/LGR7 Antibody [NBP1-89585] - Staining of human cerebellum shows moderate positivity in neuropil.
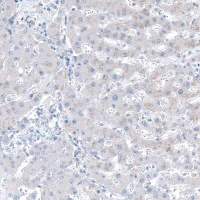
Immunohistochemistry-Paraffin: Relaxin R1/LGR7 Antibody [NBP1-89585]

Immunohistochemistry-Paraffin: Relaxin R1/LGR7 Antibody [NBP1-89585]

Immunohistochemistry-Paraffin: Relaxin R1/LGR7 Antibody [NBP1-89585] - Staining of human liver shows negative to very weak cytoplasmic positivity in hepatocytes.

Applications for Relaxin R1/LGR7 Antibody - BSA Free

Application
Recommended Usage

Immunohistochemistry

1:200 - 1:500

Immunohistochemistry-Paraffin

1:200 - 1:500
Application Notes
IHC-Paraffin, HIER pH 6 retrieval is recommended.

Formulation, Preparation, and Storage

Purification

Affinity purified

Formulation

PBS (pH 7.2) and 40% Glycerol

Format

BSA Free

Preservative

0.02% Sodium Azide

Concentration

Concentrations vary lot to lot. See vial label for concentration. If unlisted please contact technical services.

Shipping

The product is shipped with polar packs. Upon receipt, store it immediately at the temperature recommended below.

Stability & Storage

Store at 4C short term. Aliquot and store at -20C long term. Avoid freeze-thaw cycles.

Background: Relaxin R1

Long Name

Relaxin Receptor 1

Alternate Names

LGR7, RelaxinR1, RXFP1, RXFPR1

Gene Symbol

RXFP1

Additional Relaxin R1 Products

Product Documents for Relaxin R1/LGR7 Antibody - BSA Free

Certificate of Analysis

To download a Certificate of Analysis, please enter a lot number in the search box below.

Product Specific Notices for Relaxin R1/LGR7 Antibody - BSA Free

This product is for research use only and is not approved for use in humans or in clinical diagnosis. Primary Antibodies are guaranteed for 1 year from date of receipt.

Loading...
Loading...
Loading...
Loading...