Skip to main content

RBP4/Retinol-Binding Protein 4 Antibody (4C2)

Novus Biologicals, part of Bio-Techne | Catalog # NBP2-37614

Novus Biologicals, part of Bio-Techne
Catalog #
Availability
Size / Price
Qty
Loading...
NBP2-37614
NBP2-37614-0.025ml

Key Product Details

Species Reactivity

Human

Applications

ELISA, Flow Cytometry, Immunocytochemistry/ Immunofluorescence, Immunohistochemistry, Immunohistochemistry-Paraffin, Western Blot

Label

Unconjugated

Antibody Source

Monoclonal Mouse IgG1 Clone # 4C2

Concentration

This product is unpurified. The exact concentration of antibody is not quantifiable.

Product Specifications

Immunogen

Purified recombinant fragment of human RBP expressed in E. Coli.

Clonality

Monoclonal

Host

Mouse

Isotype

IgG1

Theoretical MW

23 kDa.
Disclaimer note: The observed molecular weight of the protein may vary from the listed predicted molecular weight due to post translational modifications, post translation cleavages, relative charges, and other experimental factors.

Description

Novus Biologicals Mouse RBP4/Retinol-Binding Protein 4 Antibody (4C2) (NBP2-37614) is a monoclonal antibody validated for use in IHC, WB, ELISA, Flow and ICC/IF. All Novus Biologicals antibodies are covered by our 100% guarantee.

Scientific Data Images for RBP4/Retinol-Binding Protein 4 Antibody (4C2)

Western Blot: RBP4/Retinol-Binding Protein 4 Antibody (4C2)BSA Free [NBP2-37614]

Western Blot: RBP4/Retinol-Binding Protein 4 Antibody (4C2)BSA Free [NBP2-37614]

Western Blot: RBP4/Retinol-Binding Protein 4 Antibody (4C2) [NBP2-37614] - Western blot analysis using RBP4 mAb against HEK293 (1) and RBP4(AA: 1-201)-hIgGFc transfected HEK293 (2) cell lysate.
Immunocytochemistry/ Immunofluorescence: RBP4/Retinol-Binding Protein 4 Antibody (4C2) - BSA Free [NBP2-37614]

Immunocytochemistry/ Immunofluorescence: RBP4/Retinol-Binding Protein 4 Antibody (4C2) - BSA Free [NBP2-37614]

Immunocytochemistry/Immunofluorescence: RBP4/Retinol-Binding Protein 4 Antibody (4C2) [NBP2-37614] - Immunofluorescence analysis of HepG2 cells using RBP4 mouse mAb (green). Blue: DRAQ5 fluorescent DNA dye. Red: Actin filaments have been labeled with Alexa Fluor-555 phalloidin.
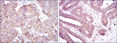
Immunohistochemistry: RBP4/Retinol-Binding Protein 4 Antibody (4C2) - BSA Free [NBP2-37614]

Immunohistochemistry: RBP4/Retinol-Binding Protein 4 Antibody (4C2) - BSA Free [NBP2-37614]

Immunohistochemistry: RBP4/Retinol-Binding Protein 4 Antibody (4C2) [NBP2-37614] - Immunohistochemical analysis of paraffin-embedded liver cancer tissues (left) and stomach cancer tissues (right) using RBP4 mouse mAb with DAB staining.

Applications for RBP4/Retinol-Binding Protein 4 Antibody (4C2)

Application
Recommended Usage

ELISA

1:10000

Flow Cytometry

1:200 - 1:400

Immunocytochemistry/ Immunofluorescence

1:200 - 1:1000

Immunohistochemistry

1:200 - 1:1000

Immunohistochemistry-Paraffin

1:200 - 1:1000

Western Blot

1:500 - 1:2000

Formulation, Preparation, and Storage

Purification

Unpurified

Formulation

Ascites

Preservative

0.03% Sodium Azide

Concentration

This product is unpurified. The exact concentration of antibody is not quantifiable.

Shipping

The product is shipped with polar packs. Upon receipt, store it immediately at the temperature recommended below.

Stability & Storage

Store at 4C short term. Aliquot and store at -20C long term. Avoid freeze-thaw cycles.

Background: RBP4/Retinol-Binding Protein 4

RBP4 is a specific carrier for retinol in the blood. It is a member of the lipocalin protein family. Under physiological conditions, RBP binds transthyretin (TTR) to prevent glomerular filtration of low molecular weight RBP in the kidneys. The RBP/TTR molar ration provides an indirect way to indicate marginal vitamin A deficiency. RBP4 may also play a role in insulin resistance in diabetes.

Alternate Names

RetinolBinding Protein 4

Gene Symbol

RBP4

Additional RBP4/Retinol-Binding Protein 4 Products

Product Documents for RBP4/Retinol-Binding Protein 4 Antibody (4C2)

Certificate of Analysis

To download a Certificate of Analysis, please enter a lot number in the search box below.

Product Specific Notices for RBP4/Retinol-Binding Protein 4 Antibody (4C2)

This product is for research use only and is not approved for use in humans or in clinical diagnosis. Primary Antibodies are guaranteed for 1 year from date of receipt.

Loading...
Loading...
Loading...
Loading...
Loading...