Skip to main content

Key Product Details

Species Reactivity

Rat

Applications

Immunohistochemistry, Western Blot, Simple Western, Immunoprecipitation

Label

Unconjugated

Antibody Source

Polyclonal Sheep IgG

Product Specifications

Immunogen

Mouse myeloma cell line NS0-derived recombinant rat Cystatin C
Met1-Ala140
Accession # P14841

Specificity

Detects rat Cystatin C in direct ELISAs and Western blots.  In direct ELISAs, approximately 30% cross-reactivity with recombinant mouse Cystatin C and approximately 15% cross-reactivity with recombinant human Cystatin C is observed.

Clonality

Polyclonal

Host

Sheep

Isotype

IgG

Scientific Data Images for Rat Cystatin C Antibody

Detection of Rat Cystatin C antibody by Western Blot.

Detection of Rat Cystatin C by Western Blot.

Western blot shows rat plasma. PVDF Membrane was probed with 1 µg/mL of Sheep Anti-Rat Cystatin C Antigen Affinity-purified Polyclonal Antibody (Catalog # AF6154) followed by HRP-conjugated Anti-Sheep IgG Secondary Antibody (HAF016). A specific band was detected for Cystatin C at approximately 16 kDa (as indicated). This experiment was conducted under reducing conditions and using Immunoblot Buffer Group 8.
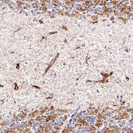
Cystatin C antibody in Rat Brain by Immunohistochemistry (IHC-Fr).

Cystatin C in Rat Brain.

Cystatin C was detected in perfusion fixed frozen sections of rat brain (cerebellum) using Sheep Anti-Rat Cystatin C Antigen Affinity-purified Polyclonal Antibody (Catalog # AF6154) at 1.7 µg/mL overnight at 4 °C. Tissue was stained using the Anti-Sheep HRP-DAB Cell & Tissue Staining Kit (brown; CTS019) and counterstained with hematoxylin (blue). Specific staining was localized to neurons in the molecular layer of the cerebellum. View our protocol for Chromogenic IHC Staining of Frozen Tissue Sections.
Detection of Rat Cystatin C antibody by Simple WesternTM.

Detection of Rat Cystatin C by Simple WesternTM.

Simple Western lane view shows rat plasma, loaded at 0.2 mg/mL. A specific band was detected for Cystatin C at approximately 28 kDa (as indicated) using 10 µg/mL of Sheep Anti-Rat Cystatin C Antigen Affinity-purified Polyclonal Antibody (Catalog # AF6154) followed by 1:50 dilution of HRP-conjugated Anti-Sheep IgG Secondary Antibody (HAF016). This experiment was conducted under reducing conditions and using the 12-230 kDa separation system.

Applications for Rat Cystatin C Antibody

Application
Recommended Usage

Immunohistochemistry

5-15 µg/mL
Sample: Perfusion fixed frozen sections of rat brain (cerebellum)

Immunoprecipitation

25 µg/mL
Sample: Conditioned cell culture medium spiked with Recombinant Rat Cystatin C (Catalog # 6154-PI), see our available Western blot detection antibodies

Simple Western

10 µg/mL
Sample: Rat plasma

Western Blot

1 µg/mL
Sample: Rat plasma

Formulation, Preparation, and Storage

Purification

Antigen Affinity-purified

Reconstitution

Reconstitute at 0.2 mg/mL in sterile PBS. For liquid material, refer to CoA for concentration.

Reconstitution Buffer Available:
Size / Price
Qty
Loading...

Formulation

Lyophilized from a 0.2 μm filtered solution in PBS with Trehalose. *Small pack size (SP) is supplied either lyophilized or as a 0.2 µm filtered solution in PBS.

Shipping

Lyophilized product is shipped at ambient temperature. Liquid small pack size (-SP) is shipped with polar packs. Upon receipt, store immediately at the temperature recommended below.

Stability & Storage

Use a manual defrost freezer and avoid repeated freeze-thaw cycles.
  • 12 months from date of receipt, -20 to -70 °C as supplied.
  • 1 month, 2 to 8 °C under sterile conditions after reconstitution.
  • 6 months, -20 to -70 °C under sterile conditions after reconstitution.

Background: Cystatin C

Cystatin C is a member of family 2 in the Cystatin superfamily (1). It is involved in processes such as tumor invasion and metastasis, inflammation and some neurological diseases. It inhibits many cysteine proteases such as papain and cathepsins B, H, K, L and S (2, 3). It is ubiquitous in human tissues and body fluids. A point mutation in the gene coding for the 120 amino acid mature Cystatin C causes a hereditary form of amyloid angiopathy in which the protein variant is deposited in the cerebral arteries, leading to fatal cerebral hemorrhage (4). Cystatin C may have additional clinical applications. For example, it is a good marker for glomerular filtration rate (5).

References

  1. Reed, C.H. (2000) British J. Biomed. Sci. 57:323.
  2. Janowski, R. et al. (2001) Nat. Struct. Biol. 8:316.
  3. Abrahamson, M. (1994) Methods Enzymol. 244:685.
  4. Abrahamson, M. et al. (1992) Hum. Genet. 89:377.
  5. Laterza, O.F. et al. (2002) Clin. Chem. 48:699.

Alternate Names

ARMD11, CST3, Gamma-trace, Neuroendocrine basic polypeptide, Post-gamma-globulin

Entrez Gene IDs

1471 (Human); 13010 (Mouse); 25307 (Rat)

Gene Symbol

CST3

UniProt

Additional Cystatin C Products

Product Documents for Rat Cystatin C Antibody

Certificate of Analysis

To download a Certificate of Analysis, please enter a lot number in the search box below.

Note: Certificate of Analysis not available for kit components.

Product Specific Notices for Rat Cystatin C Antibody

For research use only

Loading...
Loading...
Loading...
Loading...
Loading...