Skip to main content

RASSF6 Antibody - BSA Free

Novus Biologicals, part of Bio-Techne | Catalog # NBP2-55145

Novus Biologicals, part of Bio-Techne
Catalog #
Availability
Size / Price
Qty
Loading...
NBP2-55145

Key Product Details

Species Reactivity

Human

Applications

Immunohistochemistry, Immunohistochemistry-Paraffin, Immunocytochemistry/ Immunofluorescence

Label

Unconjugated

Antibody Source

Polyclonal Rabbit IgG

Format

BSA Free

Concentration

Concentrations vary lot to lot. See vial label for concentration. If unlisted please contact technical services.

Product Specifications

Immunogen

This antibody was developed against a recombinant protein corresponding to the following amino acid sequence: SDLPYRISSDHLKKEEKMTMMAHQYPSWIFINEKTFITREQLNSLLKTYNIFYENQKNLHILYGETEDGKLIVEGMLDIFWGVKRPIQ

Clonality

Polyclonal

Host

Rabbit

Isotype

IgG

Description

Novus Biologicals Rabbit RASSF6 Antibody - BSA Free (NBP2-55145) is a polyclonal antibody validated for use in IHC and ICC/IF. All Novus Biologicals antibodies are covered by our 100% guarantee.

Scientific Data Images for RASSF6 Antibody - BSA Free

Immunocytochemistry/ Immunofluorescence: RASSF6 Antibody [NBP2-55145]

Immunocytochemistry/ Immunofluorescence: RASSF6 Antibody [NBP2-55145]

Immunocytochemistry/Immunofluorescence: RASSF6 Antibody [NBP2-55145] - Staining of human cell line A-431 shows localization to nucleoplasm & the Golgi apparatus.
RASSF6 Antibody - BSA Free

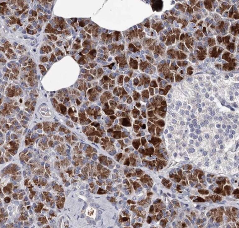
RASSF6 Antibody [NBP2-55145] -

Staining of human pancreas shows strong cytoplasmic positivity in exocrine glandular cells.
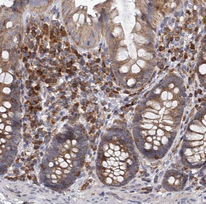
RASSF6 Antibody - BSA Free

RASSF6 Antibody [NBP2-55145] -

Staining of human colon shows strong cytoplasmic positivity in glandular cells and lymphoid cells.

Applications for RASSF6 Antibody - BSA Free

Application
Recommended Usage

Immunocytochemistry/ Immunofluorescence

0.25-2 ug/ml

Immunohistochemistry

1:20 - 1:50

Immunohistochemistry-Paraffin

1:20 - 1:50
Application Notes
IHC-Paraffin, HIER pH 6 retrieval is recommended. ICC/IF,Fixation Permeabilization: Use PFA/Triton X-100.

Formulation, Preparation, and Storage

Purification

Affinity purified

Formulation

PBS (pH 7.2) and 40% Glycerol

Format

BSA Free

Preservative

0.02% Sodium Azide

Concentration

Concentrations vary lot to lot. See vial label for concentration. If unlisted please contact technical services.

Shipping

The product is shipped with polar packs. Upon receipt, store it immediately at the temperature recommended below.

Stability & Storage

Store at 4C short term. Aliquot and store at -20C long term. Avoid freeze-thaw cycles.

Background: RASSF6

RASSF6 is a member of the RAS association (RA) domain family of RAS effectors/tumor suppressors that mediate some ofthe growth inhibitory properties of RAS (see HRAS; MIM 190020) oncogenes (Eckfeld et al., 2004 (PubMed15574778)).(supplied by OMIM)

Alternate Names

DKFZp686K23225, putative RAS binding protein, Ras association (RalGDS/AF-6) domain family 6, Ras association (RalGDS/AF-6) domain family member 6, ras association domain-containing protein 6

Gene Symbol

RASSF6

Additional RASSF6 Products

Product Documents for RASSF6 Antibody - BSA Free

Certificate of Analysis

To download a Certificate of Analysis, please enter a lot number in the search box below.

Product Specific Notices for RASSF6 Antibody - BSA Free

This product is for research use only and is not approved for use in humans or in clinical diagnosis. Primary Antibodies are guaranteed for 1 year from date of receipt.

Loading...
Loading...
Loading...
Loading...