Skip to main content

RASD2 Antibody (OTI1F7) - Azide and BSA Free

Novus Biologicals, part of Bio-Techne | Catalog # NBP2-73808

Novus Biologicals, part of Bio-Techne
Catalog #
Availability
Size / Price
Qty
Loading...
NBP2-73808
Conjugate
Catalog #

Key Product Details

Species Reactivity

Human, Mouse, Rat

Applications

Immunohistochemistry, Immunohistochemistry-Paraffin, Western Blot, Flow Cytometry, Immunocytochemistry/ Immunofluorescence, CyTOF-ready

Label

Unconjugated

Antibody Source

Monoclonal Mouse IgG1 Clone # OTI1F7

Format

Azide and BSA Free

Concentration

LYOPH mg/ml

Product Specifications

Immunogen

Full length human recombinant protein of human RASD2 (NP_055125) produced in HEK293T cell.

Reactivity Notes

Please note that this antibody is reactive to Mouse and derived from the same host, Mouse. Mouse-On-Mouse blocking reagent may be needed for IHC and ICC experiments to reduce high background signal. You can find these reagents under catalog numbers PK-2200-NB and MP-2400-NB. Please contact Technical Support if you have any questions.

Clonality

Monoclonal

Host

Mouse

Isotype

IgG1

Theoretical MW

30.2 kDa.
Disclaimer note: The observed molecular weight of the protein may vary from the listed predicted molecular weight due to post translational modifications, post translation cleavages, relative charges, and other experimental factors.

Scientific Data Images for RASD2 Antibody (OTI1F7) - Azide and BSA Free

Western Blot: RASD2 Antibody (OTI1F7)Azide and BSA Free [NBP2-73808]

Western Blot: RASD2 Antibody (OTI1F7)Azide and BSA Free [NBP2-73808]

Western Blot: RASD2 Antibody (OTI1F7) - Azide and BSA Free [NBP2-73808] - HEK293T cells were transfected with the pCMV6-ENTRY control (Left lane) or pCMV6-ENTRY RASD2 (Right lane) cDNA for 48 hrs and lysed. Equivalent amounts of cell lysates (5 ug per lane) were separated by SDS-PAGE and immunoblotted with anti-RASD2.
Immunocytochemistry/ Immunofluorescence: RASD2 Antibody (OTI1F7) - Azide and BSA Free [NBP2-73808]

Immunocytochemistry/ Immunofluorescence: RASD2 Antibody (OTI1F7) - Azide and BSA Free [NBP2-73808]

Immunocytochemistry/Immunofluorescence: RASD2 Antibody (OTI1F7) - Azide and BSA Free [NBP2-73808] - Staining of COS7 cells transiently transfected by pCMV6-ENTRY RASD2.
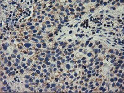
Immunohistochemistry: RASD2 Antibody (OTI1F7) - Azide and BSA Free [NBP2-73808]

Immunohistochemistry: RASD2 Antibody (OTI1F7) - Azide and BSA Free [NBP2-73808]

Immunohistochemistry: RASD2 Antibody (OTI1F7) - Azide and BSA Free [NBP2-73808] - Staining of paraffin-embedded Carcinoma of Human bladder tissue using anti-RASD2 mouse monoclonal antibody.

Applications for RASD2 Antibody (OTI1F7) - Azide and BSA Free

Application
Recommended Usage

Flow Cytometry

1:100

Immunocytochemistry/ Immunofluorescence

1:100

Immunohistochemistry

1:150

Western Blot

1:2000

Formulation, Preparation, and Storage

Purification

Immunogen affinity purified

Reconstitution

we recommend adding 100uL distilled water to a final antibody concentration of about 1 mg/mL. To use this carrier-free antibody for conjugation experiment, we strongly recommend performing another round of desalting process.

Formulation

Lyophilized from PBS (pH 7.3) with 8% Trehalose

Format

Azide and BSA Free

Preservative

No Preservative

Concentration

LYOPH mg/ml

Shipping

The product is shipped with polar packs. Upon receipt, store it immediately at the temperature recommended below.

Stability & Storage

Store at -20C. Avoid freeze-thaw cycles.

Background: RASD2

RASD2 (RASD Family, Member 2) is involved in GTPase activity. While the exact function of RASD2 has yet to be determined, it is thought to have a role in signal transduction. RASD2 is known to have interactions with ACVR1, SMAD2, SMAD3, SMURF1 and PIK3CA. RASD2 has been studied in relation to Huntington's disease and pancreatitis.

Alternate Names

GTP-binding protein Rhes, MGC:4834, RASD family, member 2, Rhes, TEM2Ras homolog enriched in striatum, Tumor endothelial marker 2

Gene Symbol

RASD2

Additional RASD2 Products

Product Documents for RASD2 Antibody (OTI1F7) - Azide and BSA Free

Certificate of Analysis

To download a Certificate of Analysis, please enter a lot number in the search box below.

Product Specific Notices for RASD2 Antibody (OTI1F7) - Azide and BSA Free

This product is for research use only and is not approved for use in humans or in clinical diagnosis. Primary Antibodies are guaranteed for 1 year from date of receipt.

Loading...
Loading...
Loading...
Loading...
Loading...
Loading...