Skip to main content

RASD2 Antibody (OTI1F7)

Novus Biologicals, part of Bio-Techne | Catalog # NBP2-03331

Novus Biologicals, part of Bio-Techne
Catalog #
Availability
Size / Price
Qty
Loading...
NBP2-03331
Conjugate
Catalog #

Key Product Details

Species Reactivity

Validated:

Human, Mouse, Rat

Cited:

Human

Applications

Validated:

Immunohistochemistry, Immunohistochemistry-Paraffin, Western Blot, Flow Cytometry, Immunocytochemistry/ Immunofluorescence

Cited:

Western Blot

Label

Unconjugated

Antibody Source

Monoclonal Mouse IgG1 Clone # OTI1F7

Concentration

1 mg/ml

Product Specifications

Immunogen

Full length human recombinant protein of human RASD2 (NP_055125) produced in HEK293T cell.

Reactivity Notes

Please note that this antibody is reactive to Mouse and derived from the same host, Mouse. Mouse-On-Mouse blocking reagent may be needed for IHC and ICC experiments to reduce high background signal. You can find these reagents under catalog numbers PK-2200-NB and MP-2400-NB. Please contact Technical Support if you have any questions.

Clonality

Monoclonal

Host

Mouse

Isotype

IgG1

Theoretical MW

30.2 kDa.
Disclaimer note: The observed molecular weight of the protein may vary from the listed predicted molecular weight due to post translational modifications, post translation cleavages, relative charges, and other experimental factors.

Scientific Data Images for RASD2 Antibody (OTI1F7)

Western Blot: RASD2 Antibody (OTI1F7) [NBP2-03331]

Western Blot: RASD2 Antibody (OTI1F7) [NBP2-03331]

Western Blot: RASD2 Antibody (1F7) [NBP2-03331] - HEK293T cells were transfected with the pCMV6-ENTRY control (Left lane) or pCMV6-ENTRY RASD2 (Right lane) cDNA for 48 hrs and lysed. Equivalent amounts of cell lysates (5 ug per lane) were separated by SDS-PAGE and immunoblotted with anti-RASD2.
Immunocytochemistry/Immunofluorescence: RASD2 Antibody (1F7) [NBP2-03331] Staining of COS7 cells transiently transfected by pCMV6-ENTRY RASD2.
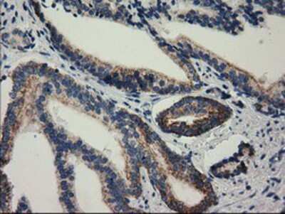
Immunohistochemistry-Paraffin: RASD2 Antibody (OTI1F7) [NBP2-03331]

Immunohistochemistry-Paraffin: RASD2 Antibody (OTI1F7) [NBP2-03331]

Immunohistochemistry-Paraffin: RASD2 Antibody (1F7) [NBP2-03331] - Staining of paraffin-embedded Carcinoma of Human prostate tissue using anti-RASD2 mouse monoclonal antibody.

Applications for RASD2 Antibody (OTI1F7)

Application
Recommended Usage

Flow Cytometry

1:100

Immunocytochemistry/ Immunofluorescence

1:100

Immunohistochemistry

1:150

Immunohistochemistry-Paraffin

1:150

Western Blot

1:2000

Formulation, Preparation, and Storage

Purification

Immunogen affinity purified

Formulation

PBS (pH 7.3), 1.0% BSA and 50% Glycerol

Preservative

0.02% Sodium Azide

Concentration

1 mg/ml

Shipping

The product is shipped with polar packs. Upon receipt, store it immediately at the temperature recommended below.

Stability & Storage

Store at -20C. Avoid freeze-thaw cycles.

Background: RASD2

This gene encodes a Ras-related protein that enriched in striatum. The product of this gene binds to GTP and possesses intrinsic GTPase activity. The gene belongs to the Ras superfamily of small GTPases. The exact function of this gene is unknown, but most striatum-specific mRNAs characterized to date encode components of signal transduction cascades. [provided by RefSeq].

Alternate Names

GTP-binding protein Rhes, MGC:4834, RASD family, member 2, Rhes, TEM2Ras homolog enriched in striatum, Tumor endothelial marker 2

Entrez Gene IDs

23551 (Human)

Gene Symbol

RASD2

Additional RASD2 Products

Product Documents for RASD2 Antibody (OTI1F7)

Certificate of Analysis

To download a Certificate of Analysis, please enter a lot number in the search box below.

Product Specific Notices for RASD2 Antibody (OTI1F7)

This product is for research use only and is not approved for use in humans or in clinical diagnosis. Primary Antibodies are guaranteed for 1 year from date of receipt.

Loading...
Loading...
Loading...
Loading...
Loading...