Skip to main content

RAP74 Antibody (OTI4B10) - Azide and BSA Free

Novus Biologicals, part of Bio-Techne | Catalog # NBP3-17972

Novus Biologicals, part of Bio-Techne

Key Product Details

Species Reactivity

Human, Mouse, Rat, Canine, Monkey, Primate

Applications

Immunohistochemistry, Immunohistochemistry-Paraffin, Western Blot, Flow Cytometry, CyTOF-ready

Label

Unconjugated

Antibody Source

Monoclonal Mouse IgG1 Clone # OTI4B10

Format

Azide and BSA Free

Concentration

LYOPH mg/ml

Product Specifications

Immunogen

Full length human recombinant protein of human GTF2F1(NP_002087) produced in HEK293T cell.

Reactivity Notes

Please note that this antibody is reactive to Mouse and derived from the same host, Mouse. Mouse-On-Mouse blocking reagent may be needed for IHC and ICC experiments to reduce high background signal. You can find these reagents under catalog numbers PK-2200-NB and MP-2400-NB. Please contact Technical Support if you have any questions.

Clonality

Monoclonal

Host

Mouse

Isotype

IgG1

Description

Novus Biologicals Mouse RAP74 Antibody (OTI4B10) - Azide and BSA Free (NBP3-17971) is a monoclonal antibody validated for use in IHC, WB and Flow. All Novus Biologicals antibodies are covered by our 100% guarantee.

Scientific Data Images for RAP74 Antibody (OTI4B10) - Azide and BSA Free

Western Blot: RAP74 Antibody (OTI4B10)Azide and BSA Free [NBP3-17972]

Western Blot: RAP74 Antibody (OTI4B10)Azide and BSA Free [NBP3-17972]

Western Blot: RAP74 Antibody (OTI4B10) - Azide and BSA Free [NBP3-17972] - HEK293T cells were transfected with the pCMV6-ENTRY control (Left lane) or pCMV6-ENTRY RAP74 (Right lane) cDNA for 48 hrs and lysed. Equivalent amounts of cell lysates (5 ug per lane) were separated by SDS-PAGE and immunoblotted with anti-RAP74.
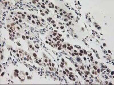
Immunohistochemistry: RAP74 Antibody (OTI4B10) - Azide and BSA Free [NBP3-17972]

Immunohistochemistry: RAP74 Antibody (OTI4B10) - Azide and BSA Free [NBP3-17972]

Immunohistochemistry: RAP74 Antibody (OTI4B10) - Azide and BSA Free [NBP3-17972] - Staining of paraffin-embedded Human endometrium tissue using anti-RAP74 mouse monoclonal antibody.
Flow Cytometry: RAP74 Antibody (OTI4B10) - Azide and BSA Free [NBP3-17972]

Flow Cytometry: RAP74 Antibody (OTI4B10) - Azide and BSA Free [NBP3-17972]

Flow Cytometry: RAP74 Antibody (OTI4B10) - Azide and BSA Free [NBP3-17972] - HEK293T cells transfected with either overexpression plasmid (Red) or empty vector control plasmid (Blue) were immunostaining by anti-RAP74 antibody, and then analyzed by flow cytometry.

Applications for RAP74 Antibody (OTI4B10) - Azide and BSA Free

Application
Recommended Usage

Flow Cytometry

1:100

Immunohistochemistry

1:150

Western Blot

1:500-2000

Formulation, Preparation, and Storage

Purification

Immunogen affinity purified

Reconstitution

we recommend adding 100uL distilled water to a final antibody concentration of about 1 mg/mL. To use this carrier-free antibody for conjugation experiment, we strongly recommend performing another round of desalting process.

Formulation

Lyophilized from PBS (pH 7.3) with 8% Trehalose

Format

Azide and BSA Free

Preservative

No Preservative

Concentration

LYOPH mg/ml

Shipping

The product is shipped with polar packs. Upon receipt, store it immediately at the temperature recommended below.

Stability & Storage

Store at -20C. Avoid freeze-thaw cycles.

Background: RAP74

Enables several functions, including RNA polymerase II general transcription initiation factor activity; phosphatase activator activity; and promoter-specific chromatin binding activity. Involved in several processes, including positive regulation of transcription by RNA polymerase II; response to virus; and transcription initiation from RNA polymerase II promoter. Located in cell junction and nucleoplasm. Part of transcription factor TFIID complex.

Alternate Names

BTF4, General transcription factor IIF 74 kDa subunit, general transcription factor IIF subunit 1, general transcription factor IIF, polypeptide 1, 74kDa, TF2F1, TFIIF, TFIIF-alpha, Transcription initiation factor IIF subunit alpha, transcription initiation factor RAP74

Gene Symbol

GTF2F1

Additional RAP74 Products

Product Documents for RAP74 Antibody (OTI4B10) - Azide and BSA Free

Certificate of Analysis

To download a Certificate of Analysis, please enter a lot number in the search box below.

Product Specific Notices for RAP74 Antibody (OTI4B10) - Azide and BSA Free

This product is for research use only and is not approved for use in humans or in clinical diagnosis. Primary Antibodies are guaranteed for 1 year from date of receipt.

Loading...
Loading...
Loading...
Loading...
Loading...
Loading...