Skip to main content

Puromycin-sensitive aminopeptidase/NPEPPS Antibody - BSA Free

Novus Biologicals, part of Bio-Techne | Catalog # NBP2-13670

Novus Biologicals, part of Bio-Techne
Catalog #
Availability
Size / Price
Qty
Loading...
NBP2-13670
NBP2-13670-25ul

Key Product Details

Species Reactivity

Validated:

Human

Predicted:

Mouse (98%), Rat (98%). Backed by our 100% Guarantee.

Applications

Immunohistochemistry, Immunohistochemistry-Paraffin, Western Blot

Label

Unconjugated

Antibody Source

Polyclonal Rabbit IgG

Format

BSA Free

Concentration

Concentrations vary lot to lot. See vial label for concentration. If unlisted please contact technical services.

Product Specifications

Immunogen

This antibody was developed against a recombinant protein corresponding to the amino acids: VMNCADIDIITASYAPEGDEEIHATGFNYQNEDEKVTLSFPSTLQTGTGTLKIDFVGELNDKMKGFYRSKYTTPSGEVRYAAVTQFEA

Clonality

Polyclonal

Host

Rabbit

Isotype

IgG

Description

Novus Biologicals Rabbit Puromycin-sensitive aminopeptidase/NPEPPS Antibody - BSA Free (NBP2-13670) is a polyclonal antibody validated for use in IHC and WB. All Novus Biologicals antibodies are covered by our 100% guarantee.

Scientific Data Images for Puromycin-sensitive aminopeptidase/NPEPPS Antibody - BSA Free

Puromycin-sensitive aminopeptidase/NPEPPS Antibody

Immunohistochemistry-Paraffin-Puromycin-sensitive aminopeptidase/NPEPPS Antibody-NBP2-13670-

Immunohistochemistry-Paraffin-Puromycin-sensitive aminopeptidase/NPEPPS Antibody-NBP2-13670-Staining of human cerebral cortex shows moderate positivity in neuropil.
Puromycin-sensitive aminopeptidase/NPEPPS Antibody

Immunohistochemistry-Paraffin-Puromycin-sensitive aminopeptidase/NPEPPS Antibody-NBP2-13670-

Immunohistochemistry-Paraffin-Puromycin-sensitive aminopeptidase/NPEPPS Antibody-NBP2-13670-Staining of human prostate shows weak cytoplasmic positivity in glandular cells.
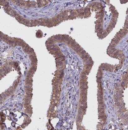
Puromycin-sensitive aminopeptidase/NPEPPS Antibody

Immunohistochemistry-Paraffin-Puromycin-sensitive aminopeptidase/NPEPPS Antibody-NBP2-13670-

Immunohistochemistry-Paraffin-Puromycin-sensitive aminopeptidase/NPEPPS Antibody-NBP2-13670-Staining of human Fallopian tube shows moderate cytoplasmic positivity in glandular cells.

Applications for Puromycin-sensitive aminopeptidase/NPEPPS Antibody - BSA Free

Application
Recommended Usage

Immunohistochemistry

1:200 - 1:500

Immunohistochemistry-Paraffin

1:200 - 1:500

Western Blot

0.04-0.4 ug/ml
Application Notes
For IHC-Paraffin, HIER pH 6 retrieval is recommended.

Formulation, Preparation, and Storage

Purification

Affinity purified

Formulation

PBS (pH 7.2) and 40% Glycerol

Format

BSA Free

Preservative

0.02% Sodium Azide

Concentration

Concentrations vary lot to lot. See vial label for concentration. If unlisted please contact technical services.

Shipping

The product is shipped with polar packs. Upon receipt, store it immediately at the temperature recommended below.

Stability & Storage

Store at 4C short term. Aliquot and store at -20C long term. Avoid freeze-thaw cycles.

Background: Puromycin-sensitive aminopeptidase/NPEPPS

NPEPPS encodes the puromycin-sensitive aminopeptidase, a zinc metallopeptidase which hydrolyzes amino acids from the N-terminus of its substrate. The protein has been localized to both the cytoplasm and to cellular membranes. This enzyme degrades enkaphalins in the brain, and studies in mouse suggest that it is involved in proteolytic events regulating the cell cycle. [provided by RefSeq]

Alternate Names

AAP-S, MP100, NPEPPS

Gene Symbol

NPEPPS

Additional Puromycin-sensitive aminopeptidase/NPEPPS Products

Product Documents for Puromycin-sensitive aminopeptidase/NPEPPS Antibody - BSA Free

Certificate of Analysis

To download a Certificate of Analysis, please enter a lot number in the search box below.

Product Specific Notices for Puromycin-sensitive aminopeptidase/NPEPPS Antibody - BSA Free

This product is for research use only and is not approved for use in humans or in clinical diagnosis. Primary Antibodies are guaranteed for 1 year from date of receipt.

Loading...
Loading...
Loading...
Loading...