Puromycin-sensitive aminopeptidase/NPEPPS Antibody - BSA Free
Novus Biologicals, part of Bio-Techne | Catalog # NBP2-13669
Key Product Details
Species Reactivity
Validated:
Human
Predicted:
Mouse (95%), Rat (96%). Backed by our 100% Guarantee.
Applications
Immunohistochemistry, Immunohistochemistry-Paraffin, Immunocytochemistry/ Immunofluorescence
Label
Unconjugated
Antibody Source
Polyclonal Rabbit IgG
Format
BSA Free
Concentration
Concentrations vary lot to lot. See vial label for concentration. If unlisted please contact technical services.
Product Specifications
Immunogen
This antibody was developed against a recombinant protein corresponding to the amino acids: TLEEARRRFKDHVEGKQILSADLRSPVYLTVLKHGDGTTLDIMLKLHKQADMQEEKNRIERVLGATLLPDLIQKVLTFALSE
Clonality
Polyclonal
Host
Rabbit
Isotype
IgG
Description
Novus Biologicals Rabbit Puromycin-sensitive aminopeptidase/NPEPPS Antibody - BSA Free (NBP2-13669) is a polyclonal antibody validated for use in IHC and ICC/IF. All Novus Biologicals antibodies are covered by our 100% guarantee.
Scientific Data Images for Puromycin-sensitive aminopeptidase/NPEPPS Antibody - BSA Free
Immunocytochemistry/ Immunofluorescence: Puromycin-sensitive aminopeptidase/NPEPPS Antibody [NBP2-13669]
Immunocytochemistry/Immunofluorescence: Puromycin-sensitive aminopeptidase/NPEPPS Antibody [NBP2-13669] - Immunofluorescent staining of human cell line A549 shows localization to cytosol.Immunohistochemistry-Paraffin: Puromycin-sensitive aminopeptidase/NPEPPS Antibody [NBP2-13669]
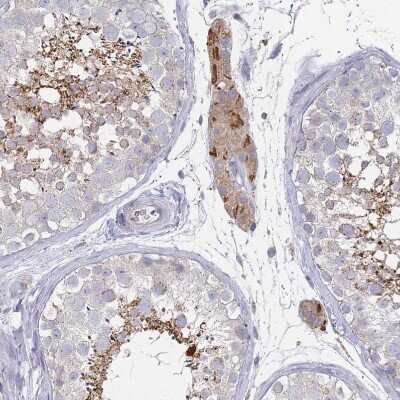
Immunohistochemistry-Paraffin: Puromycin-sensitive aminopeptidase/NPEPPS Antibody [NBP2-13669] - Staining of human testis shows weak to moderate cytoplasmic positivity in Leydig cells and in cells in seminiferous ducts.Immunohistochemistry-Paraffin: Puromycin-sensitive aminopeptidase/NPEPPS Antibody [NBP2-13669]
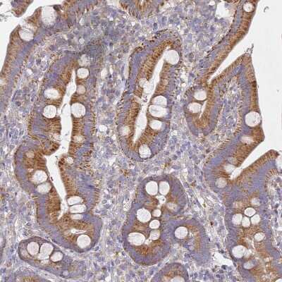
Immunohistochemistry-Paraffin: Puromycin-sensitive aminopeptidase/NPEPPS Antibody [NBP2-13669] - Staining of human duodenum shows moderate cytoplasmic positivity in glandular cells.Applications for Puromycin-sensitive aminopeptidase/NPEPPS Antibody - BSA Free
Application
Recommended Usage
Immunocytochemistry/ Immunofluorescence
0.25-2 ug/ml
Immunohistochemistry
1:20 - 1:50
Immunohistochemistry-Paraffin
1:20 - 1:50
Application Notes
For IHC-Paraffin, HIER pH 6 retrieval is recommended. ICC/IF, Fixation Permeabilization: Use PFA/Triton X-100.
Formulation, Preparation, and Storage
Purification
Affinity purified
Formulation
PBS (pH 7.2) and 40% Glycerol
Format
BSA Free
Preservative
0.02% Sodium Azide
Concentration
Concentrations vary lot to lot. See vial label for concentration. If unlisted please contact technical services.
Shipping
The product is shipped with polar packs. Upon receipt, store it immediately at the temperature recommended below.
Stability & Storage
Store at 4C short term. Aliquot and store at -20C long term. Avoid freeze-thaw cycles.
Background: Puromycin-sensitive aminopeptidase/NPEPPS
Alternate Names
AAP-S, MP100, NPEPPS
Gene Symbol
NPEPPS
Additional Puromycin-sensitive aminopeptidase/NPEPPS Products
Product Documents for Puromycin-sensitive aminopeptidase/NPEPPS Antibody - BSA Free
Product Specific Notices for Puromycin-sensitive aminopeptidase/NPEPPS Antibody - BSA Free
This product is for research use only and is not approved for use in humans or in clinical diagnosis. Primary Antibodies are guaranteed for 1 year from date of receipt.
Loading...
Loading...
Loading...
Loading...