PUF60 Antibody - BSA Free
Novus Biologicals, part of Bio-Techne | Catalog # NBP2-49032
Key Product Details
Validated by
Orthogonal Validation, Independent Antibodies
Species Reactivity
Validated:
Human
Predicted:
Mouse (98%), Rat (98%). Backed by our 100% Guarantee.
Applications
Immunohistochemistry, Immunohistochemistry-Paraffin, Western Blot
Label
Unconjugated
Antibody Source
Polyclonal Rabbit IgG
Format
BSA Free
Concentration
Concentrations vary lot to lot. See vial label for concentration. If unlisted please contact technical services.
Product Specifications
Immunogen
This antibody was developed against a recombinant protein corresponding to amino acids: AATAKITAQEAVAGAAVLGTLGTPGLVSPALTLAQPLGTLPQAVMAAQAPGVITGVTPARPPIPVTIPSVGVVNPILASPPTL
Clonality
Polyclonal
Host
Rabbit
Isotype
IgG
Description
Novus Biologicals Rabbit PUF60 Antibody - BSA Free (NBP2-49032) is a polyclonal antibody validated for use in IHC and WB. All Novus Biologicals antibodies are covered by our 100% guarantee.
Scientific Data Images for PUF60 Antibody - BSA Free
Immunohistochemistry-Paraffin: PUF60 Antibody [NBP2-49032]
Immunohistochemistry-Paraffin: PUF60 Antibody [NBP2-49032] - Staining of human kidney.Immunohistochemistry: PUF60 Antibody [NBP2-49032]
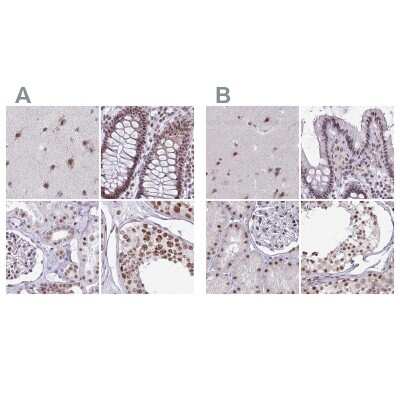
Immunohistochemistry: PUF60 Antibody [NBP2-49032] - Staining of human colon shows strong nuclear and cytoplasmic positivity in glandular cells.Applications for PUF60 Antibody - BSA Free
Application
Recommended Usage
Immunohistochemistry
1:500 - 1:1000
Immunohistochemistry-Paraffin
1:500 - 1:1000
Western Blot
0.04-0.4 ug/ml
Application Notes
For IHC-Paraffin, HIER pH 6 retrieval is recommended.
Formulation, Preparation, and Storage
Purification
Immunogen affinity purified
Formulation
PBS (pH 7.2) and 40% Glycerol
Format
BSA Free
Preservative
0.02% Sodium Azide
Concentration
Concentrations vary lot to lot. See vial label for concentration. If unlisted please contact technical services.
Shipping
The product is shipped with polar packs. Upon receipt, store it immediately at the temperature recommended below.
Stability & Storage
Store at 4C short term. Aliquot and store at -20C long term. Avoid freeze-thaw cycles.
Background: PUF60
Alternate Names
FBP interacting repressor, FBP-interacting repressor, FIRpoly-U binding splicing factor PUF60, FLJ31379, FUSE-binding protein-interacting repressor, poly(U)-binding-splicing factor PUF60, poly-U binding splicing factor 60KDa, Ro ribonucleoprotein binding protein 1, Ro ribonucleoprotein-binding protein 1, Ro-binding protein 1, roBP1, ROBPI, siah binding protein 1,60 kDa poly(U)-binding-splicing factor, Siah-binding protein 1, Siah-BP1, SIAHBP1pyrimidine tract binding splicing factor
Gene Symbol
PUF60
Additional PUF60 Products
Product Documents for PUF60 Antibody - BSA Free
Product Specific Notices for PUF60 Antibody - BSA Free
This product is for research use only and is not approved for use in humans or in clinical diagnosis. Primary Antibodies are guaranteed for 1 year from date of receipt.
Loading...
Loading...
Loading...
Loading...