Skip to main content

PUF60 Antibody

Novus Biologicals, part of Bio-Techne | Catalog # NB100-1125

Novus Biologicals, part of Bio-Techne
Catalog #
Availability
Size / Price
Qty
Loading...
NB100-1125

Key Product Details

Species Reactivity

Validated:

Human

Predicted:

Bovine (100%), Canine (100%), Mouse (100%), Rat (100%). Backed by our 100% Guarantee.

Applications

Immunohistochemistry, Immunohistochemistry-Paraffin, Western Blot, Peptide ELISA

Label

Unconjugated

Antibody Source

Polyclonal Goat IgG

Concentration

0.5 mg/ml

Product Specifications

Immunogen

Peptide with sequence C-YDQERFDNSDLSA corresponding to C-Terminus according to NP_510965.1, NP_055096.2, NP_001129505.1.

Localization

Cytoplasmic

Specificity

This antibody is expected to recognise all reported human isoforms (as represented by NP_510965.1; NP_055096.2; NP_001129505.1)

Clonality

Polyclonal

Host

Goat

Isotype

IgG

Description

Novus Biologicals Goat PUF60 Antibody (NB100-1125) is a polyclonal antibody validated for use in IHC, WB and ELISA. Anti-PUF60 Antibody: Cited in 1 publication. All Novus Biologicals antibodies are covered by our 100% guarantee.

Scientific Data Images for PUF60 Antibody

Western Blot: PUF60 Antibody [NB100-1125]

Western Blot: PUF60 Antibody [NB100-1125]

Western Blot: PUF60 Antibody [NB100-1125] - Staining of A431 lysate (35 ug protein in RIPA buffer). Antibody at 0.1 ug/mL. Detected by chemiluminescence.
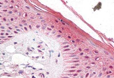
Immunohistochemistry-Paraffin: PUF60 Antibody [NB100-1125]

Immunohistochemistry-Paraffin: PUF60 Antibody [NB100-1125]

Immunohistochemistry-Paraffin: PUF60 Antibody [NB100-1125] - Staining of paraffin embedded Human Skin. Antibody at 5 ug/mL. Steamed antigen retrieval with citrate buffer pH 6, AP-staining.
PUF60 Antibody [NB100-1125] - Staining of paraffin embedded Human Prostate. Antibody at 5 ug/mL. Steamed antigen retrieval with citrate buffer pH 6, AP-staining.

Applications for PUF60 Antibody

Application
Recommended Usage

Immunohistochemistry-Paraffin

5 ug/mL

Peptide ELISA

Detection limit 1:32000

Western Blot

0.1 - 0.3 ug/mL
Application Notes
WB: Approx. 60 kDa band observed in human lysates of HEK293 and HepG2 (calculated MW of 59.9 kDa band according to NP_510965.1 and 58.2 according to NP_055096.2).

Formulation, Preparation, and Storage

Purification

Immunogen affinity purified

Formulation

Tris saline (20 mM Tris pH 7.3, 150 mM NaCl), 0.5% BSA

Preservative

0.02% Sodium Azide

Concentration

0.5 mg/ml

Shipping

The product is shipped with polar packs. Upon receipt, store it immediately at the temperature recommended below.

Stability & Storage

Store at -20C. Avoid freeze-thaw cycles.

Background: PUF60

PUF60 is a Ro RNP-binding protein. It interacts with Ro RNPs and their interaction is thought to represent a gain of function for Ro RNPs. PUF60 also forms a ternary complex with far upstream element (FUSE) and FUSE-binding protein. It can repress a c-myc reporter via the FUSE. It is also known to target transcription factor IIH and inhibit activated transcription. PUF60 gene is implicated in the xeroderma pigmentosum disorder. There are two alternatively spliced transcript variants of this gene encoding different isoforms. There seems to be evidence of multiple polyadenylation sites for PUF60 gene.

Alternate Names

FBP interacting repressor, FBP-interacting repressor, FIRpoly-U binding splicing factor PUF60, FLJ31379, FUSE-binding protein-interacting repressor, poly(U)-binding-splicing factor PUF60, poly-U binding splicing factor 60KDa, Ro ribonucleoprotein binding protein 1, Ro ribonucleoprotein-binding protein 1, Ro-binding protein 1, roBP1, ROBPI, siah binding protein 1,60 kDa poly(U)-binding-splicing factor, Siah-binding protein 1, Siah-BP1, SIAHBP1pyrimidine tract binding splicing factor

Entrez Gene IDs

22827 (Human); 67959 (Mouse)

Gene Symbol

PUF60

Additional PUF60 Products

Product Documents for PUF60 Antibody

Certificate of Analysis

To download a Certificate of Analysis, please enter a lot number in the search box below.

Product Specific Notices for PUF60 Antibody

This product is for research use only and is not approved for use in humans or in clinical diagnosis. Primary Antibodies are guaranteed for 1 year from date of receipt.

Loading...
Loading...
Loading...
Loading...