Skip to main content

PTH Antibody (PTH/1173) - C-terminus - IHC-Prediluted

Novus Biologicals, part of Bio-Techne | Catalog # NBP2-48387

Novus Biologicals, part of Bio-Techne
Catalog #
Availability
Size / Price
Qty
Loading...
NBP2-48387

Key Product Details

Species Reactivity

Human

Applications

Immunohistochemistry, Immunohistochemistry-Paraffin

Label

Unconjugated

Antibody Source

Monoclonal Mouse IgG2b Kappa Clone # PTH/1173

Format

IHC-Prediluted

Concentration

Please see the vial label for concentration. If unlisted please contact technical services.

Product Specifications

Immunogen

A recombinant fragment around aa 32-115 of human mature-PTH-polypeptide (exact sequence is proprietary) (Uniprot: P01270)

Localization

Cytoplasmic and Secreted

Specificity

Epitope of this monoclonal antibody maps in the C-terminus of PTH, a hormone produced by the parathyroid gland that regulates the concentration of calcium and phosphorus in extracellular fluid. This hormone elevates blood Ca2+ levels by dissolving the salts in bone and preventing their renal excretion. It is produced in the parathyroid gland as an 84 amino acid single chain polypeptide. It can also be secreted as N-terminal truncated fragments or C-terminal fragments after intracellular degradation, as in case of hypercalcemia. Defects in this gene are a cause of familial isolated hypoparathyroidism (FIH); also called autosomal dominant hypoparathyroidism or autosomal dominant hypocalcemia. FIH is characterized by hypocalcemia and hyperphosphatemia due to inadequate secretion of parathyroid hormone. Symptoms are seizures, tetany and cramps. FIH exist both as autosomal dominant and recessive forms of hypoparathyroidism.

Clonality

Monoclonal

Host

Mouse

Isotype

IgG2b Kappa

Theoretical MW

9 kDa.
Disclaimer note: The observed molecular weight of the protein may vary from the listed predicted molecular weight due to post translational modifications, post translation cleavages, relative charges, and other experimental factors.

Description

The prediluted antibody does not require any mixing, dilution, reconstitution, or titration; the antibody is ready-to-use and optimized for staining.

Scientific Data Images for PTH Antibody (PTH/1173) - C-terminus - IHC-Prediluted

Immunohistochemistry-Paraffin: PTH Antibody (PTH/1173) - C-terminus - IHC-Prediluted [NBP2-48387]

Immunohistochemistry-Paraffin: PTH Antibody (PTH/1173) - C-terminus - IHC-Prediluted [NBP2-48387]

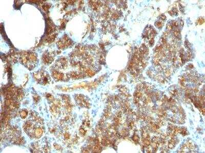
Immunohistochemistry-Paraffin: PTH Antibody (PTH/1173) - IHC-Prediluted [NBP2-48387] - Formalin-fixed, paraffin-embedded human Parathyroid stained with PTH Mouse Monoclonal Antibody (PTH/1173).
Immunohistochemistry-Paraffin: PTH Antibody (PTH/1173) - C-terminus - IHC-Prediluted [NBP2-48387]

Immunohistochemistry-Paraffin: PTH Antibody (PTH/1173) - C-terminus - IHC-Prediluted [NBP2-48387]

Immunohistochemistry-Paraffin: PTH Antibody (PTH/1173) - IHC-Prediluted [NBP2-48387] - Formalin-fixed, paraffin-embedded human Parathyroid stained with PTH Mouse Monoclonal Antibody (PTH/1173).

Applications for PTH Antibody (PTH/1173) - C-terminus - IHC-Prediluted

Application
Recommended Usage

Immunohistochemistry

Optimal dilutions of this antibody should be experimentally determined.

Immunohistochemistry-Paraffin

Optimal dilutions of this antibody should be experimentally determined.
Application Notes
Immunohistochemistry (Formalin-fixed): 1-2ug/ml for 30 minutes at RT. Staining of formalin-fixed tissues requires heating tissue sections in 10mM Tris with 1mM EDTA, pH 9.0, for 45 min at 95C followed by cooling at RT for 20 minutes.
Optimal dilution for a specific application should be determined.

Formulation, Preparation, and Storage

Purification

Protein A or G purified

Formulation

10 mM PBS with 0.05% BSA

Format

IHC-Prediluted

Preservative

0.05% Sodium Azide

Concentration

Please see the vial label for concentration. If unlisted please contact technical services.

Shipping

The product is shipped with polar packs. Upon receipt, store it immediately at the temperature recommended below.

Stability & Storage

Store at 4C.

Background: PTH

Parathyroid hormone (PTH), which is also designated parathyrin, is an 84 amino acid single chain peptide that functions to regulate calcium metabolism by raising blood levels of calcium through various mechanisms. PTH stimulates bone formation to increase bone mass and strength in rats and humans. Within the PTH molecule, the essential activity is associated with the first 34 amino acids at the amino-terminus of the molecule. The gene encoding PTH maps to human chromosome 11p15.3-p15.1. Parathyroid hormone-related protein (PTH-rP) is an autocrine factor that is structurally related to PTH yet, unlike PTH, which is synthesized only by the parathyroid cells, PTH-rP is synthesized by several cell types. PTH-rP regulates endochondral bone development and epithelial-mesenchymal interactions during the formation of the mammary glands and teeth. Isolated from the culture medium of a human lung cancer cell line, PTH-rP produces PTH-like effects that are characterized as humoral hypercalcemia of malignancy.

Long Name

Parathyroid Hormone

Alternate Names

Parathormone, Parathyrin

Gene Symbol

PTH

Additional PTH Products

Product Documents for PTH Antibody (PTH/1173) - C-terminus - IHC-Prediluted

Certificate of Analysis

To download a Certificate of Analysis, please enter a lot number in the search box below.

Product Specific Notices for PTH Antibody (PTH/1173) - C-terminus - IHC-Prediluted

This product is for research use only and is not approved for use in humans or in clinical diagnosis. Primary Antibodies are guaranteed for 1 year from date of receipt.

Loading...
Loading...
Loading...
Loading...