Skip to main content

PTEN Antibody (CL11723) - Azide and BSA Free

Novus Biologicals, part of Bio-Techne | Catalog # NBP3-44314

Novus Biologicals, part of Bio-Techne

Key Product Details

Validated by

Orthogonal Validation

Species Reactivity

Human

Applications

Immunohistochemistry-Paraffin, Western Blot

Label

Unconjugated

Antibody Source

Monoclonal Mouse IgG2A Clone # CL11723

Format

Azide and BSA Free

Concentration

LYOPH mg/ml

Product Specifications

Immunogen

This antibody was generated using a synthetic peptide of P60484, with the exact immunogen sequence remaining proprietary.

Clonality

Monoclonal

Host

Mouse

Isotype

IgG2A

Description

Novus Biologicals Mouse PTEN Antibody (CL11723) - Azide and BSA Free (NBP3-21201) is a monoclonal antibody validated for use in IHC and WB. All Novus Biologicals antibodies are covered by our 100% guarantee.

Scientific Data Images for PTEN Antibody (CL11723) - Azide and BSA Free

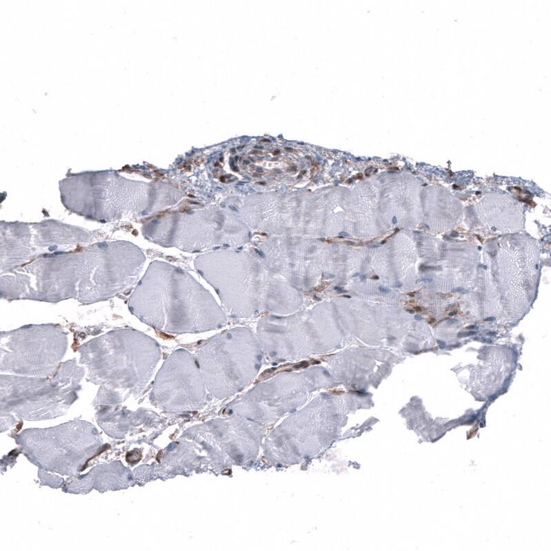
PTEN Antibody (CL11723) - Azide and BSA Free Immunohistochemistry-Paraffin: PTEN Antibody [NBP3-44314]

Immunohistochemistry-Paraffin: PTEN Antibody [NBP3-44314]

Analysis in human endometrium and skeletal muscle tissues using NBP3-44314 antibody. Corresponding PTEN RNA-seq data are presented for the same tissues.
PTEN Antibody (CL11723) - Azide and BSA Free Immunohistochemistry-Paraffin: PTEN Antibody [NBP3-44314]

Immunohistochemistry-Paraffin: PTEN Antibody [NBP3-44314]

Staining of human cerebellum shows strong nuclear positivity in cells in molecular layer.
PTEN Antibody (CL11723) - Azide and BSA Free Immunohistochemistry-Paraffin: PTEN Antibody [NBP3-44314]

Immunohistochemistry-Paraffin: PTEN Antibody [NBP3-44314]

Staining of human glioblastoma multiforme shows strong positivity in tumor cells.

Applications for PTEN Antibody (CL11723) - Azide and BSA Free

Application
Recommended Usage

Immunohistochemistry-Paraffin

1:2500 - 1:5000

Western Blot

1 ug/ml
Application Notes
For IHC-Paraffin, HIER pH 6 retrieval is recommended.

Formulation, Preparation, and Storage

Purification

Protein A purified

Reconstitution

Centrifuge the vial of lyophilized antibody at 12,000 x g for 20 seconds. Reconstitute by adding sterile, distilled water to achieve a final antibody concentration of 1mg/ml.

Formulation

Lyophilized from a 0.2 um filtered solution in PBS with Trehalose

Format

Azide and BSA Free

Preservative

No Preservative

Concentration

LYOPH mg/ml

Shipping

The product is shipped at ambient temperature. Upon receipt, store it immediately at the temperature recommended below.

Stability & Storage

Store at 4C short term. Aliquot and store at -20C long term. Avoid freeze-thaw cycles.

Background: PTEN

PTEN is a protein tyrosine phosphatase that acts as a tumor suppressor, as a lipid phosphatase that dephosphorylates the D3 position of phosphatidylinositol 3,4,5-trisphosphate and as an antagonist of the PI3k/AKT signaling pathway (1-3). PTEN structural domains includes an N-terminal phosphatase domain, a lipid binding C2 domain and a 50-amino acid C-terminal tail that contains a PD biding sequence (5). Phosporylation of the tail of the protein will suppress its activity and modify its conformation to a

Long Name

Phosphatase and Tensin Homolog Deleted on Chromosome 10

Alternate Names

MMAC1

Gene Symbol

PTEN

Additional PTEN Products

Product Documents for PTEN Antibody (CL11723) - Azide and BSA Free

Certificate of Analysis

To download a Certificate of Analysis, please enter a lot number in the search box below.

Product Specific Notices for PTEN Antibody (CL11723) - Azide and BSA Free

This product is for research use only and is not approved for use in humans or in clinical diagnosis. Primary Antibodies are guaranteed for 1 year from date of receipt.

Loading...
Loading...
Loading...
Loading...
Loading...