Skip to main content

PSMA/FOLH1/NAALADase I Antibody - BSA Free

Novus Biologicals, part of Bio-Techne | Catalog # NBP1-89822

Novus Biologicals, part of Bio-Techne
Catalog #
Availability
Size / Price
Qty
Loading...
NBP1-89822-25ul
NBP1-89822

Key Product Details

Validated by

Orthogonal Validation

Species Reactivity

Validated:

Human, Rat

Cited:

Rat

Applications

Validated:

Immunohistochemistry, Immunohistochemistry-Paraffin

Cited:

IF/IHC

Label

Unconjugated

Antibody Source

Polyclonal Rabbit IgG

Format

BSA Free

Concentration

Concentrations vary lot to lot. See vial label for concentration. If unlisted please contact technical services.

Product Specifications

Immunogen

This antibody was developed against Recombinant Protein corresponding to amino acids: ADYFAPGVKSYPDGWNLPGGGVQRGNILNLNGAGDPLTPGYPANEYAYRRGIAEAVGLPSIPVHPIGYYDAQKLLEKMGGSAPPDSSWRGSLKVPYNVGPGFTGNF

Reactivity Notes

Immunogen displays the following percentage of sequence identity for non-tested species: Mouse (86%) Use in Rat reported in scientific publication (PMID: 32451793).

Clonality

Polyclonal

Host

Rabbit

Isotype

IgG

Description

Novus Biologicals Rabbit PSMA/FOLH1/NAALADase I Antibody - BSA Free (NBP1-89822) is a polyclonal antibody validated for use in IHC. Anti-PSMA/FOLH1/NAALADase I Antibody: Cited in 3 publications. All Novus Biologicals antibodies are covered by our 100% guarantee.

Scientific Data Images for PSMA/FOLH1/NAALADase I Antibody - BSA Free

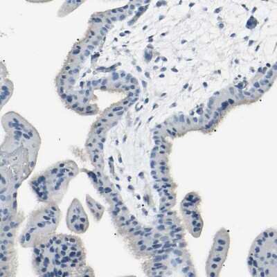
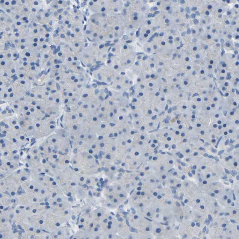
PSMA/FOLH1/NAALADase I Antibody - BSA Free Immunohistochemistry-Paraffin: PSMA/FOLH1/NAALADase I Antibody - BSA Free [NBP1-89822]

Immunohistochemistry-Paraffin: PSMA/FOLH1/NAALADase I Antibody - BSA Free [NBP1-89822]

Analysis in human prostate and pancreas tissues using NBP1-89822 antibody. Corresponding FOLH1 RNA-seq data are presented for the same tissues.
Immunohistochemistry-Paraffin: PSMA/FOLH1/NAALADase I Antibody [NBP1-89822]

Immunohistochemistry-Paraffin: PSMA/FOLH1/NAALADase I Antibody [NBP1-89822]

Immunohistochemistry-Paraffin: PSMA/FOLH1/NAALADase I Antibody [NBP1-89822] - Staining of human prostate shows strong positivity in apical membrane in glandular cells.
PSMA/FOLH1/NAALADase I Antibody - BSA Free Immunohistochemistry-Paraffin: PSMA/FOLH1/NAALADase I Antibody - BSA Free [NBP1-89822]

Immunohistochemistry-Paraffin: PSMA/FOLH1/NAALADase I Antibody - BSA Free [NBP1-89822]

Staining of human pancreas shows no positivity in exocrine glandular cells as expected.

Applications for PSMA/FOLH1/NAALADase I Antibody - BSA Free

Application
Recommended Usage

Immunohistochemistry

1:200 - 1:500

Immunohistochemistry-Paraffin

1:200 - 1:500
Application Notes
Retrieval method: HIER pH6

Formulation, Preparation, and Storage

Purification

Immunogen affinity purified

Formulation

PBS (pH 7.2) and 40% Glycerol

Format

BSA Free

Preservative

0.02% Sodium Azide

Concentration

Concentrations vary lot to lot. See vial label for concentration. If unlisted please contact technical services.

Shipping

The product is shipped with polar packs. Upon receipt, store it immediately at the temperature recommended below.

Stability & Storage

Store at 4C short term. Aliquot and store at -20C long term. Avoid freeze-thaw cycles.

Background: PSMA/FOLH1/NAALADase I

PSMA, also known as Glutamate carboxypeptidase 2, is a 84kDa 750 amino acid protein that has 8 isoforms produced by alternative splicing. The primary function of this protein is to act as a glutamate carboxypeptidase. Current research on PSMA is being conducted in relation to prostate cancer, muscular atrophy, small cell carcinoma, coronary heart disease and Huntington's disease. PSMA is known to interact with MME, MTAP and RPS3.

Long Name

Prostate-specific Membrane Antigen

Alternate Names

FGCP, FOLH1, GCP2, GCPII, mopsm, NAALAD1, NAALADase I

Entrez Gene IDs

2346 (Human)

Gene Symbol

FOLH1

UniProt

Additional PSMA/FOLH1/NAALADase I Products

Product Documents for PSMA/FOLH1/NAALADase I Antibody - BSA Free

Certificate of Analysis

To download a Certificate of Analysis, please enter a lot number in the search box below.

Product Specific Notices for PSMA/FOLH1/NAALADase I Antibody - BSA Free

This product is for research use only and is not approved for use in humans or in clinical diagnosis. Primary Antibodies are guaranteed for 1 year from date of receipt.

Loading...
Loading...
Loading...
Loading...