Skip to main content

PSMA/FOLH1/NAALADase I Antibody (CL9091) - Azide and BSA Free

Novus Biologicals, part of Bio-Techne | Catalog # NBP3-43873

Novus Biologicals, part of Bio-Techne

Key Product Details

Validated by

Orthogonal Validation

Species Reactivity

Human

Applications

Immunohistochemistry-Paraffin, Western Blot

Label

Unconjugated

Antibody Source

Monoclonal Mouse IgG1 Clone # CL9091

Format

Azide and BSA Free

Concentration

LYOPH mg/ml

Product Specifications

Immunogen

This antibody was generated using a recombinant protein sequence of Q04609, with the exact immunogen sequence remaining proprietary.

Clonality

Monoclonal

Host

Mouse

Isotype

IgG1

Description

Novus Biologicals Mouse PSMA/FOLH1/NAALADase I Antibody (CL9091) - Azide and BSA Free (NBP2-88925) is a monoclonal antibody validated for use in IHC and WB. All Novus Biologicals antibodies are covered by our 100% guarantee.

Scientific Data Images for PSMA/FOLH1/NAALADase I Antibody (CL9091) - Azide and BSA Free

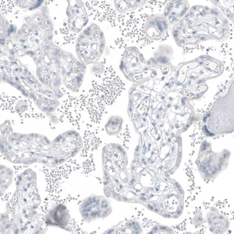
PSMA/FOLH1/NAALADase I Antibody (CL9091) - Azide and BSA Free Immunohistochemistry-Paraffin: PSMA/FOLH1/NAALADase I Antibody [NBP3-43873]

Immunohistochemistry-Paraffin: PSMA/FOLH1/NAALADase I Antibody [NBP3-43873]

Analysis in human duodenum and placenta tissues using NBP3-43873 antibody. Corresponding PSMA/FOLH1/NAALADase I RNA-seq data are presented for the same tissues.
PSMA/FOLH1/NAALADase I Antibody (CL9091) - Azide and BSA Free Immunohistochemistry-Paraffin: PSMA/FOLH1/NAALADase I Antibody [NBP3-43873]

Immunohistochemistry-Paraffin: PSMA/FOLH1/NAALADase I Antibody [NBP3-43873]

Staining of human liver shows moderate membranous positivity in hepatocytes.
PSMA/FOLH1/NAALADase I Antibody (CL9091) - Azide and BSA Free Immunohistochemistry-Paraffin: PSMA/FOLH1/NAALADase I Antibody [NBP3-43873]

Immunohistochemistry-Paraffin: PSMA/FOLH1/NAALADase I Antibody [NBP3-43873]

Staining of human duodenum shows strong membranous positivity in glandular cells.

Applications for PSMA/FOLH1/NAALADase I Antibody (CL9091) - Azide and BSA Free

Application
Recommended Usage

Immunohistochemistry-Paraffin

1:200 - 1:500

Western Blot

1 ug/ml
Application Notes
For IHC-Paraffin, HIER pH 6 retrieval is recommended.

Formulation, Preparation, and Storage

Purification

Protein A purified

Reconstitution

Centrifuge the vial of lyophilized antibody at 12,000 x g for 20 seconds. Reconstitute by adding sterile, distilled water to achieve a final antibody concentration of 1mg/ml.

Formulation

Lyophilized from a 0.2 um filtered solution in PBS with Trehalose

Format

Azide and BSA Free

Preservative

No Preservative

Concentration

LYOPH mg/ml

Shipping

The product is shipped at ambient temperature. Upon receipt, store it immediately at the temperature recommended below.

Stability & Storage

Store at 4C short term. Aliquot and store at -20C long term. Avoid freeze-thaw cycles.

Background: PSMA/FOLH1/NAALADase I

PSMA, also known as Glutamate carboxypeptidase 2, is a 84kDa 750 amino acid protein that has 8 isoforms produced by alternative splicing. The primary function of this protein is to act as a glutamate carboxypeptidase. Current research on PSMA is being conducted in relation to prostate cancer, muscular atrophy, small cell carcinoma, coronary heart disease and Huntington's disease. PSMA is known to interact with MME, MTAP and RPS3.

Long Name

Prostate-specific Membrane Antigen

Alternate Names

FGCP, FOLH1, GCP2, GCPII, mopsm, NAALAD1, NAALADase I

Gene Symbol

FOLH1

Additional PSMA/FOLH1/NAALADase I Products

Product Documents for PSMA/FOLH1/NAALADase I Antibody (CL9091) - Azide and BSA Free

Certificate of Analysis

To download a Certificate of Analysis, please enter a lot number in the search box below.

Product Specific Notices for PSMA/FOLH1/NAALADase I Antibody (CL9091) - Azide and BSA Free

This product is for research use only and is not approved for use in humans or in clinical diagnosis. Primary Antibodies are guaranteed for 1 year from date of receipt.

Loading...
Loading...
Loading...
Loading...
Loading...