Protein Disulfide Isomerase/P4HB Antibody - BSA Free
Novus Biologicals, part of Bio-Techne | Catalog # NBP2-41319
Conjugate
Catalog #
Key Product Details
Species Reactivity
Validated:
Human, Mouse, Rat
Predicted:
Bovine (100%), Rabbit (100%). Backed by our 100% Guarantee.
Applications
Immunohistochemistry, Immunohistochemistry-Paraffin, Western Blot, ELISA, Immunocytochemistry/ Immunofluorescence
Label
Unconjugated
Antibody Source
Polyclonal Rabbit IgG
Format
BSA Free
Concentration
1 mg/ml
Product Specifications
Immunogen
Antibody was raised against a 17 amino acid peptide near the center of human Protein Disulfide Isomerase/P4HB. The immunogen is located within amino acids 190 - 240 of Protein Disulfide Isomerase/P4HB. Amino Acid Squence: FKKFDEGRNNFEGEVTK
Reactivity Notes
Immunogen displays the following percentage of sequence identity for non-tested species: Chicken (88%)
Clonality
Polyclonal
Host
Rabbit
Isotype
IgG
Theoretical MW
54 kDa.
Disclaimer note: The observed molecular weight of the protein may vary from the listed predicted molecular weight due to post translational modifications, post translation cleavages, relative charges, and other experimental factors.
Disclaimer note: The observed molecular weight of the protein may vary from the listed predicted molecular weight due to post translational modifications, post translation cleavages, relative charges, and other experimental factors.
Description
Novus Biologicals Rabbit Protein Disulfide Isomerase/P4HB Antibody - BSA Free (NBP2-41319) is a polyclonal antibody validated for use in IHC, WB, ELISA and ICC/IF. All Novus Biologicals antibodies are covered by our 100% guarantee.
Scientific Data Images for Protein Disulfide Isomerase/P4HB Antibody - BSA Free
Western Blot: Protein Disulfide Isomerase/P4HB AntibodyBSA Free [NBP2-41319]
Western Blot: Protein Disulfide Isomerase/P4HB Antibody [NBP2-41319] - Analysis of PDIA1 in rat small intestine tissue lysate with PDIA1 antibody at (A) 1 and (B) 2 ug/ml.Immunocytochemistry/ Immunofluorescence: Protein Disulfide Isomerase/P4HB Antibody - BSA Free [NBP2-41319]
Immunocytochemistry/Immunofluorescence: Protein Disulfide Isomerase/P4HB Antibody [NBP2-41319] - Immunofluorescence of Protein Disulfide Isomerase/P4HB in rat small intestine tissue with Protein Disulfide Isomerase/P4HB antibody at 20 ug/mL.Immunohistochemistry: Protein Disulfide Isomerase/P4HB Antibody - BSA Free [NBP2-41319] -
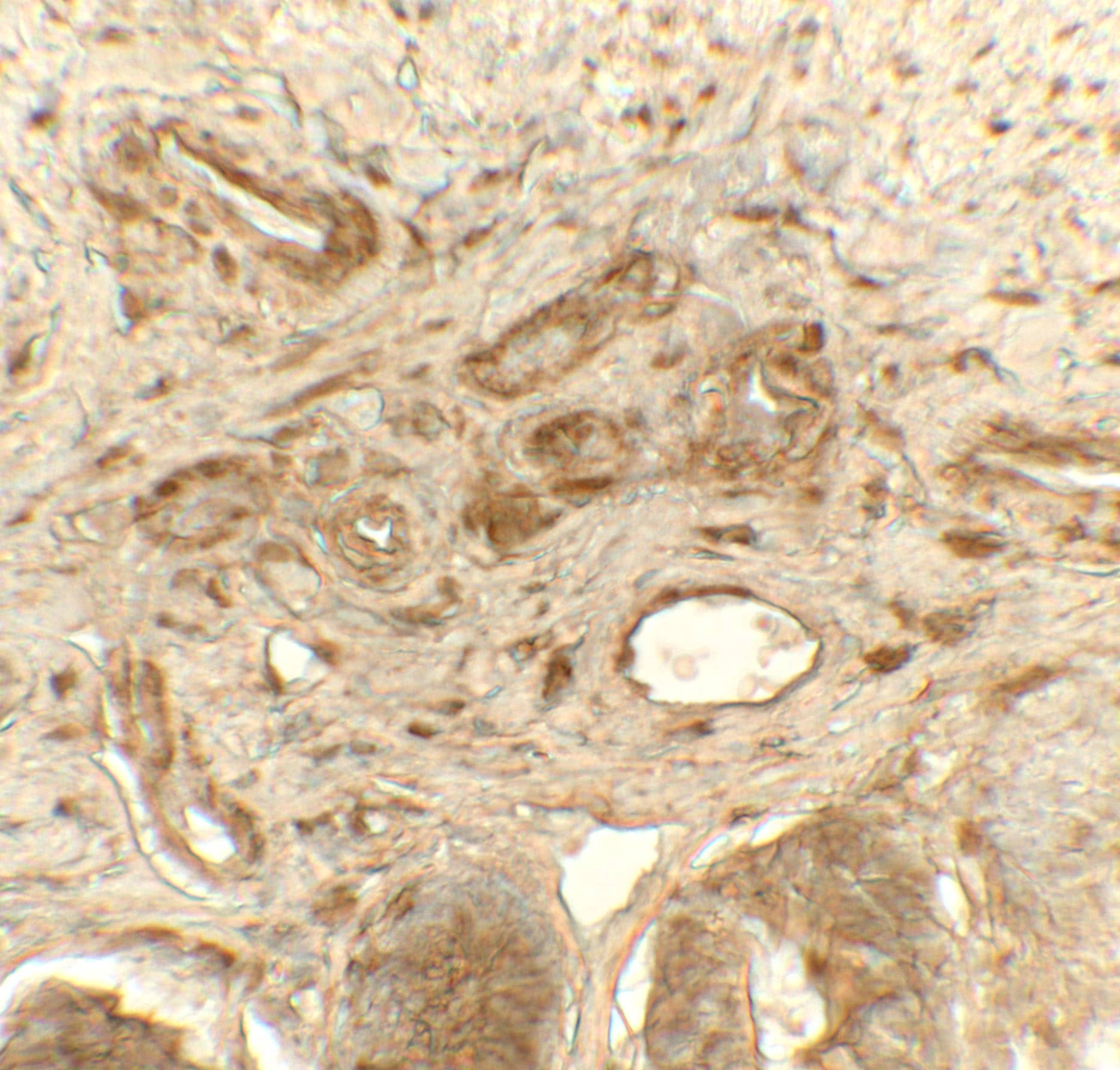
Immunohistochemistry: Protein Disulfide Isomerase/P4HB Antibody - BSA Free [NBP2-41319] - Immunohistochemistry of Protein Disulfide Isomerase/P4HB in rat small intestine tissue with Protein Disulfide Isomerase/P4HB antibody at 5 ug/mL.Applications for Protein Disulfide Isomerase/P4HB Antibody - BSA Free
Application
Recommended Usage
Immunocytochemistry/ Immunofluorescence
20 ug/mL
Immunohistochemistry
5 ug/ml
Immunohistochemistry-Paraffin
5 ug/ml
Western Blot
1-2 ug/ml
Formulation, Preparation, and Storage
Purification
Peptide affinity purified
Formulation
PBS
Format
BSA Free
Preservative
0.02% Sodium Azide
Concentration
1 mg/ml
Shipping
The product is shipped with polar packs. Upon receipt, store it immediately at the temperature recommended below.
Stability & Storage
Store at 4C short term. Aliquot and store at -20C long term. Avoid freeze-thaw cycles.
Background: Protein Disulfide Isomerase/P4HB
Long Name
Proline 4-Hydroxylase, Beta Polypeptide
Alternate Names
DSI, ERBA2L, GIT, PDI, PDIA1, PO4DB, PO4HB, PROHB, Thbp
Gene Symbol
P4HB
Additional Protein Disulfide Isomerase/P4HB Products
Product Documents for Protein Disulfide Isomerase/P4HB Antibody - BSA Free
Product Specific Notices for Protein Disulfide Isomerase/P4HB Antibody - BSA Free
This product is for research use only and is not approved for use in humans or in clinical diagnosis. Primary Antibodies are guaranteed for 1 year from date of receipt.
Loading...
Loading...
Loading...
Loading...