Skip to main content

Prosurfactant Protein C Antibody - BSA Free

Novus Biologicals, part of Bio-Techne | Catalog # NBP1-87201

Novus Biologicals, part of Bio-Techne
Catalog #
Availability
Size / Price
Qty
Loading...
NBP1-87201
NBP1-87201-25ul

Key Product Details

Validated by

Orthogonal Validation

Species Reactivity

Human

Applications

Validated:

Immunohistochemistry, Immunohistochemistry-Paraffin, Western Blot

Cited:

Immunohistochemistry-Paraffin

Label

Unconjugated

Antibody Source

Polyclonal Rabbit IgG

Format

BSA Free

Concentration

Concentrations vary lot to lot. See vial label for concentration. If unlisted please contact technical services.

Product Specifications

Immunogen

This antibody was developed against Recombinant Protein corresponding to amino acids: PEAQQRLALSEHLVTTATFSIGSTGLVVYDYQQLLIAYKPAPGTCCYIMKIAPESIPSLEALTRKVHNFQAKPAVPTSKLGQAEGRDAGSAPSGGDPAFLGMAVSTLCG

Clonality

Polyclonal

Host

Rabbit

Isotype

IgG

Description

Novus Biologicals Rabbit Prosurfactant Protein C Antibody - BSA Free (NBP1-87201) is a polyclonal antibody validated for use in IHC and WB. Anti-Prosurfactant Protein C Antibody: Cited in 1 publication. All Novus Biologicals antibodies are covered by our 100% guarantee.

Scientific Data Images for Prosurfactant Protein C Antibody - BSA Free

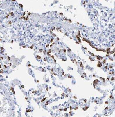
Immunohistochemistry-Paraffin: Prosurfactant Protein C Antibody [NBP1-87201]

Immunohistochemistry-Paraffin: Prosurfactant Protein C Antibody [NBP1-87201]

Immunohistochemistry-Paraffin: Prosurfactant Protein C Antibody [NBP1-87201] - Analysis in human lung and kidney tissues using HPA010928 antibody. Corresponding SFTPC RNA-seq data are presented for the same tissues.
Western Blot: Prosurfactant Protein C Antibody [NBP1-87201]

Western Blot: Prosurfactant Protein C Antibody [NBP1-87201]

Western Blot: Prosurfactant Protein C Antibody [NBP1-87201] - Analysis in human lung tissue.
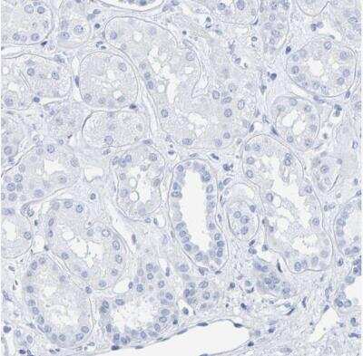
Immunohistochemistry-Paraffin: Prosurfactant Protein C Antibody [NBP1-87201]

Immunohistochemistry-Paraffin: Prosurfactant Protein C Antibody [NBP1-87201]

Immunohistochemistry-Paraffin: Prosurfactant Protein C Antibody [NBP1-87201] - Staining of human kidney shows no positivity in cells in glomeruli as expected.

Applications for Prosurfactant Protein C Antibody - BSA Free

Application
Recommended Usage

Immunohistochemistry

1:2500 - 1:5000

Immunohistochemistry-Paraffin

1:2500 - 1:5000

Western Blot

0.04 - 0.4 ug/ml
Application Notes
For IHC-Paraffin, HIER pH 6 retrieval is recommended.

Formulation, Preparation, and Storage

Purification

Affinity purified

Formulation

PBS (pH 7.2) and 40% Glycerol

Format

BSA Free

Preservative

0.02% Sodium Azide

Concentration

Concentrations vary lot to lot. See vial label for concentration. If unlisted please contact technical services.

Shipping

The product is shipped with polar packs. Upon receipt, store it immediately at the temperature recommended below.

Stability & Storage

Store at 4C short term. Aliquot and store at -20C long term. Avoid freeze-thaw cycles.

Background: Prosurfactant Protein C

The SFTPC gene encodes pulmonary-associated surfactant protein C (SPC), an extremely hydrophobic surfactant protein essential for lung function and homeostasis after birth. It is produced exclusively by type II alveolar epithelial cells in the lung. Pulmonary surfactant is a lipid-rich material that prevents lung collapse by lowering surface tension at the air-liquid interface in the alveoli of lung. Surfactant is composed of phospholipids and other surfactant-associated proteins (Clark and Clark, 2005 (PubMed 15927881)). See also SFTPA1 (MIM 178630), SFTPB (MIM 178640), and SFTPD (MIM 178635).(supplied by OMIM)

Alternate Names

PSP-C, pulmonary surfactant-associated protein C, Pulmonary surfactant-associated proteolipid SPL(Val), SFTP2, SFTP2pulmonary surfactant apoprotein-2 SP-C, SMDP2surfactant, pulmonary-associated protein C, SP-CSP5, surfactant protein C

Gene Symbol

SFTPC

Additional Prosurfactant Protein C Products

Product Documents for Prosurfactant Protein C Antibody - BSA Free

Certificate of Analysis

To download a Certificate of Analysis, please enter a lot number in the search box below.

Product Specific Notices for Prosurfactant Protein C Antibody - BSA Free

This product is for research use only and is not approved for use in humans or in clinical diagnosis. Primary Antibodies are guaranteed for 1 year from date of receipt.

Loading...
Loading...
Loading...
Loading...