Skip to main content

Proapoptotic Caspase Adaptor Protein Antibody - Azide and BSA Free

Novus Biologicals, part of Bio-Techne | Catalog # NBP2-97099

Novus Biologicals, part of Bio-Techne
Catalog #
Availability
Size / Price
Qty
Loading...
NBP2-97099-50ul
NBP2-97099-100ul
Conjugate
Catalog #

Key Product Details

Species Reactivity

Human

Applications

Immunohistochemistry, Immunohistochemistry-Paraffin, Western Blot, ELISA, Immunoprecipitation

Label

Unconjugated

Antibody Source

Polyclonal Rabbit IgG

Format

Azide and BSA Free

Concentration

Please see the vial label for concentration. If unlisted please contact technical services.

Product Specifications

Immunogen

Produced in rabbits immunized with purified, recombinant Human Proapoptotic Caspase Adaptor Protein (Uniprot#: Q8WU39-1; Met 1- Thr 185)

Specificity

Human MZB1/PERP1

Clonality

Polyclonal

Host

Rabbit

Isotype

IgG

Description

This antibody can be stored at 2C to 8C for one month without detectable loss of activity. Antibody products are stable for twelve months from date of receipt when stored at -20C to -80C. Avoid repeated freeze-thaw cycles.

Scientific Data Images for Proapoptotic Caspase Adaptor Protein Antibody - Azide and BSA Free

Western Blot: Proapoptotic Caspase Adaptor Protein Antibody [NBP2-97099]

Western Blot: Proapoptotic Caspase Adaptor Protein Antibody [NBP2-97099]

Western Blot: Proapoptotic Caspase Adaptor Protein Antibody [NBP2-97099] - Lane A: Molt4 Whole Cell Lysate. Lane B: Raji Whole Cell Lysate. Lysates/proteins at 30 ug per lane. Secondary: Goat Anti-Rabbit IgG H&L (Dylight800) at 1/10000 dilution. Developed using the Odyssey technique. Performed under reducing conditions. Predicted band size:21 kDa. Observed band size:18 kDa. (We are unsure as to the identity of these extra bands.)
Immunohistochemistry-Paraffin: Proapoptotic Caspase Adaptor Protein Antibody [NBP2-97099]

Immunohistochemistry-Paraffin: Proapoptotic Caspase Adaptor Protein Antibody [NBP2-97099]

Immunohistochemistry-Paraffin: Proapoptotic Caspase Adaptor Protein Antibody [NBP2-97099] - Staining of human MGC29506 in human small intestine with rabbit polyclonal antibody (1:10000).
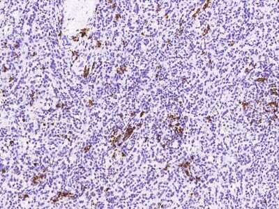
Immunohistochemistry-Paraffin: Proapoptotic Caspase Adaptor Protein Antibody [NBP2-97099]

Immunohistochemistry-Paraffin: Proapoptotic Caspase Adaptor Protein Antibody [NBP2-97099]

Immunohistochemistry-Paraffin: Proapoptotic Caspase Adaptor Protein Antibody [NBP2-97099] - Staining of human Proapoptotic Caspase Adaptor Protein in human small intestine with rabbit polyclonal antibody (1:10000).

Applications for Proapoptotic Caspase Adaptor Protein Antibody - Azide and BSA Free

Application
Recommended Usage

ELISA

1:5000-1:10000

Immunohistochemistry-Paraffin

1:2500-1:10000

Immunoprecipitation

1-4 uL/mg of lysate

Western Blot

1:500-1:2000

Formulation, Preparation, and Storage

Purification

Antigen and protein A Affinity-purified

Formulation

0.2 um filtered solution in PBS

Format

Azide and BSA Free

Preservative

No Preservative

Concentration

Please see the vial label for concentration. If unlisted please contact technical services.

Shipping

The product is shipped with polar packs. Upon receipt, store it immediately at the temperature recommended below.

Stability & Storage

Store at 4C short term. Aliquot and store at -20C long term. Avoid freeze-thaw cycles.

Background: Proapoptotic Caspase Adaptor Protein

Proapoptotic Caspase Adaptor Protein may be involved in regulation of apoptosis

Alternate Names

caspase-2 binding protein, FLJ32987, HSPC190, marginal zone B and B1 cell-specific protein, MGC29506, PACAP, pERp1, plasma cell-induced ER protein 1, plasma cell-induced resident endoplasmic reticulum protein, Plasma cell-induced resident ER protein, Proapoptotic caspase adapter protein, proapoptotic caspase adaptor protein

Gene Symbol

MZB1

Additional Proapoptotic Caspase Adaptor Protein Products

Product Documents for Proapoptotic Caspase Adaptor Protein Antibody - Azide and BSA Free

Certificate of Analysis

To download a Certificate of Analysis, please enter a lot number in the search box below.

Product Specific Notices for Proapoptotic Caspase Adaptor Protein Antibody - Azide and BSA Free

This product is for research use only and is not approved for use in humans or in clinical diagnosis. Primary Antibodies are guaranteed for 1 year from date of receipt.

Loading...
Loading...
Loading...
Loading...