Skip to main content

Proapoptotic Caspase Adaptor Protein Antibody

Novus Biologicals, part of Bio-Techne | Catalog # NBP1-31619

Novus Biologicals, part of Bio-Techne
Catalog #
Availability
Size / Price
Qty
Loading...
NBP1-31619

Key Product Details

Species Reactivity

Validated:

Human, Mouse, Rat

Predicted:

Rhesus Macaque (97%). Backed by our 100% Guarantee.

Applications

Immunohistochemistry, Immunohistochemistry-Paraffin, Immunohistochemistry-Frozen, Western Blot, Immunocytochemistry/ Immunofluorescence

Label

Unconjugated

Antibody Source

Polyclonal Rabbit IgG

Concentration

Concentrations vary lot to lot. See vial label for concentration. If unlisted please contact technical services.

Product Specifications

Immunogen

Recombinant protein encompassing a sequence within the center region of human Proapoptotic Caspase Adaptor Protein. The exact sequence is proprietary.

Localization

Secreted (Potential), Cytoplasm

Clonality

Polyclonal

Host

Rabbit

Isotype

IgG

Theoretical MW

21 kDa.
Disclaimer note: The observed molecular weight of the protein may vary from the listed predicted molecular weight due to post translational modifications, post translation cleavages, relative charges, and other experimental factors.

Description

Novus Biologicals Rabbit Proapoptotic Caspase Adaptor Protein Antibody (NBP1-31619) is a polyclonal antibody validated for use in IHC, WB and ICC/IF. All Novus Biologicals antibodies are covered by our 100% guarantee.

Scientific Data Images for Proapoptotic Caspase Adaptor Protein Antibody

Western Blot: Proapoptotic Caspase Adaptor Protein Antibody [NBP1-31619]

Western Blot: Proapoptotic Caspase Adaptor Protein Antibody [NBP1-31619]

Western Blot: Proapoptotic Caspase Adaptor Protein Antibody [NBP1-31619] - Mouse tissue extract (50 ug) was separated by 12% SDS-PAGE, and the membrane was blotted with PACAP antibody [N1C3] diluted at 1:500. The HRP-conjugated anti-rabbit IgG antibody (NBP2-19301) was used to detect the primary antibody, and the signal was developed with Trident ECL plus-Enhanced.
Immunohistochemistry-Paraffin: Proapoptotic Caspase Adaptor Protein Antibody [NBP1-31619]

Immunohistochemistry-Paraffin: Proapoptotic Caspase Adaptor Protein Antibody [NBP1-31619]

Immunohistochemistry-Paraffin: Proapoptotic Caspase Adaptor Protein Antibody [NBP1-31619] - Paraffin-embedded normal colon mucosa with lymphocyte. PACAP antibody [N1C3] dilution: 1:500.
Proapoptotic Caspase Adaptor Protein Antibody

Immunohistochemistry-Paraffin: Proapoptotic Caspase Adaptor Protein Antibody [NBP1-31619] -

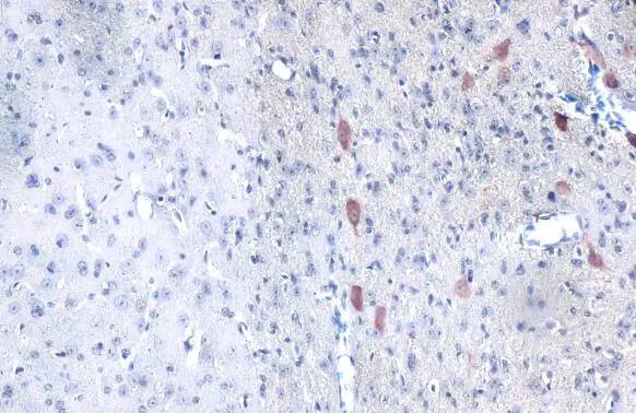
Immunohistochemistry-Paraffin: Proapoptotic Caspase Adaptor Protein Antibody [NBP1-31619] - Proapoptotic Caspase Adaptor Protein antibody [N1C3] detects Proapoptotic Caspase Adaptor Protein protein at cytoplasm by immunohistochemical analysis.
Sample: Paraffin-embedded rat brain.
Proapoptotic Caspase Adaptor Protein stained by Proapoptotic Caspase Adaptor Protein antibody [N1C3] (NBP1-31619) diluted at 1:200.
Antigen Retrieval: Citrate buffer, pH 6.0, 15 min

Applications for Proapoptotic Caspase Adaptor Protein Antibody

Application
Recommended Usage

Immunocytochemistry/ Immunofluorescence

Assay dependent

Immunohistochemistry

1:100-1:1000

Immunohistochemistry-Frozen

1:100-1:1000

Immunohistochemistry-Paraffin

1:100-1:1000

Western Blot

1:500-1:3000

Formulation, Preparation, and Storage

Purification

Antigen Affinity-purified

Formulation

PBS, 1% BSA, 20% Glycerol

Preservative

0.025% Proclin 300

Concentration

Concentrations vary lot to lot. See vial label for concentration. If unlisted please contact technical services.

Shipping

The product is shipped with polar packs. Upon receipt, store it immediately at the temperature recommended below.

Stability & Storage

Aliquot and store at -20C or -80C. Avoid freeze-thaw cycles.

Background: Proapoptotic Caspase Adaptor Protein

Proapoptotic Caspase Adaptor Protein may be involved in regulation of apoptosis

Alternate Names

caspase-2 binding protein, FLJ32987, HSPC190, marginal zone B and B1 cell-specific protein, MGC29506, PACAP, pERp1, plasma cell-induced ER protein 1, plasma cell-induced resident endoplasmic reticulum protein, Plasma cell-induced resident ER protein, Proapoptotic caspase adapter protein, proapoptotic caspase adaptor protein

Gene Symbol

MZB1

Additional Proapoptotic Caspase Adaptor Protein Products

Product Documents for Proapoptotic Caspase Adaptor Protein Antibody

Certificate of Analysis

To download a Certificate of Analysis, please enter a lot number in the search box below.

Product Specific Notices for Proapoptotic Caspase Adaptor Protein Antibody

This product is for research use only and is not approved for use in humans or in clinical diagnosis. Primary Antibodies are guaranteed for 1 year from date of receipt.

Loading...
Loading...
Loading...
Loading...

⚠ WARNING: This product can expose you to chemicals including mercury, which is known to the State of California to cause reproductive toxicity with developmental effects.  For more information go to www.P65Warnings.ca.gov.