PRMT1 Antibody (S08-3H8)
Novus Biologicals, part of Bio-Techne | Catalog # NBP3-19745
Recombinant Monoclonal Antibody
Key Product Details
Species Reactivity
Human, Mouse
Applications
Immunohistochemistry, Immunohistochemistry-Paraffin, Western Blot
Label
Unconjugated
Antibody Source
Recombinant Monoclonal Rabbit IgG Clone # S08-3H8 expressed in HEK293
Concentration
0.3 mg/ml
Product Specifications
Immunogen
A synthetic peptide of human PRMT1 (Uniprot # Q99873)
Clonality
Monoclonal
Host
Rabbit
Isotype
IgG
Theoretical MW
43 kDa.
Disclaimer note: The observed molecular weight of the protein may vary from the listed predicted molecular weight due to post translational modifications, post translation cleavages, relative charges, and other experimental factors.
Disclaimer note: The observed molecular weight of the protein may vary from the listed predicted molecular weight due to post translational modifications, post translation cleavages, relative charges, and other experimental factors.
Description
Novus Biologicals Rabbit PRMT1 Antibody (S08-3H8) (NBP3-19745) is a recombinant monoclonal antibody validated for use in IHC and WB. All Novus Biologicals antibodies are covered by our 100% guarantee.
Scientific Data Images for PRMT1 Antibody (S08-3H8)
Western Blot: PRMT1 Antibody (S08-3H8) [NBP3-19745]
Western Blot: PRMT1 Antibody (S08-3H8) [NBP3-19745] - Western blot detection of PRMT1 in K562, C6 cell lysates using NBP3-19745 (1:1000 diluted). Predicted band size: 43kDa. Observed band size: 43kDa.Immunohistochemistry-Paraffin: PRMT1 Antibody (S08-3H8) [NBP3-19745]
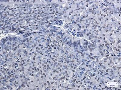
Immunohistochemistry-Paraffin: PRMT1 Antibody (S08-3H8) [NBP3-19745] - Immunohistochemistry of PRMT1 in paraffin-embedded Human breast cancer tissue using NBP3-19745 at dilution 1/20Applications for PRMT1 Antibody (S08-3H8)
Application
Recommended Usage
Immunohistochemistry
1/20
Western Blot
1/1000
Formulation, Preparation, and Storage
Purification
Affinity purified
Formulation
50mM Tris-Glycine(pH 7.4), 0.15M NaCl, 40% Glycerol, 0.05% BSA
Preservative
0.01% Sodium Azide
Concentration
0.3 mg/ml
Shipping
The product is shipped with polar packs. Upon receipt, store it immediately at the temperature recommended below.
Stability & Storage
Store at 4C short term. Aliquot and store at -20C long term. Avoid freeze-thaw cycles.
Background: PRMT1
Long Name
Protein Arginine Methyltransferase 1
Alternate Names
ANM1, HCP1, HMT1, HMT2, HRMT1L2, IR1B4
Gene Symbol
PRMT1
Additional PRMT1 Products
Product Documents for PRMT1 Antibody (S08-3H8)
Product Specific Notices for PRMT1 Antibody (S08-3H8)
This product is for research use only and is not approved for use in humans or in clinical diagnosis. Primary Antibodies are guaranteed for 1 year from date of receipt.
Loading...
Loading...
Loading...
Loading...