PRMT1 Antibody (10W10U4)
Novus Biologicals, part of Bio-Techne | Catalog # NBP3-16423
Recombinant Monoclonal Antibody
Key Product Details
Species Reactivity
Human, Mouse, Rat
Applications
Immunohistochemistry, Immunohistochemistry-Paraffin, Western Blot, Immunocytochemistry/ Immunofluorescence
Label
Unconjugated
Antibody Source
Recombinant Monoclonal Rabbit IgG Clone # 10W10U4 expressed in HEK293
Concentration
Please see the vial label for concentration. If unlisted please contact technical services.
Product Specifications
Immunogen
A synthetic peptide corresponding to a sequence within amino acids 1-100 of human PRMT1 (Q99873). MAAAEAANCIMENFVATLANGMSLQPPLEEVSCGQAESSEKPNAEDMTSKDYYFDSYAHFGIHEEMLKDEVRTLTYRNSMFHNRHLFKDKVVLDVGSGTG
Clonality
Monoclonal
Host
Rabbit
Isotype
IgG
Description
Novus Biologicals Rabbit PRMT1 Antibody (10W10U4) (NBP3-16423) is a recombinant monoclonal antibody validated for use in IHC, WB and ICC/IF. All Novus Biologicals antibodies are covered by our 100% guarantee.
Scientific Data Images for PRMT1 Antibody (10W10U4)
Western Blot: PRMT1 Antibody (10W10U4) [NBP3-16423]
Western Blot: PRMT1 Antibody (10W10U4) [NBP3-16423] - Western blot analysis of extracts of various cell lines, using PRMT1 Rabbit mAb (NBP3-16423) at 1:1000 dilution. Secondary antibody: HRP Goat Anti-Rabbit IgG (H+L) at 1:10000 dilution. Lysates/proteins: 25ug per lane. Blocking buffer: 3% nonfat dry milk in TBST. Detection: ECL Enhanced Kit. Exposure time: 3min.Immunocytochemistry/ Immunofluorescence: PRMT1 Antibody (10W10U4) [NBP3-16423]
Immunocytochemistry/Immunofluorescence: PRMT1 Antibody (10W10U4) [NBP3-16423] - Immunofluorescence analysis of U-2 OS cells using PRMT1 Rabbit mAb (NBP3-16423) at dilution of 1:100 (40x lens). Blue: DAPI for nuclear staining.Immunohistochemistry-Paraffin: PRMT1 Antibody (10W10U4) [NBP3-16423]
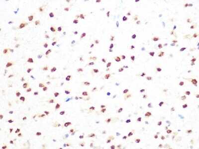
Immunohistochemistry-Paraffin: PRMT1 Antibody (10W10U4) [NBP3-16423] - Immunohistochemistry of paraffin-embedded human colon using PRMT1 Rabbit mAb (NBP3-16423) at dilution of 1:100 (40x lens).Perform microwave antigen retrieval with 10 mM PBS buffer pH 7.2 before commencing with IHC staining protocol.Applications for PRMT1 Antibody (10W10U4)
Application
Recommended Usage
Immunocytochemistry/ Immunofluorescence
1:50 - 1:200
Immunohistochemistry
1:50 - 1:200
Western Blot
1:500 - 1:2000
Formulation, Preparation, and Storage
Purification
Affinity purified
Formulation
PBS (pH 7.3), 50% glycerol, 0.05% BSA
Preservative
0.02% Sodium Azide
Concentration
Please see the vial label for concentration. If unlisted please contact technical services.
Shipping
The product is shipped with polar packs. Upon receipt, store it immediately at the temperature recommended below.
Stability & Storage
Store at -20C. Avoid freeze-thaw cycles.
Background: PRMT1
Long Name
Protein Arginine Methyltransferase 1
Alternate Names
ANM1, HCP1, HMT1, HMT2, HRMT1L2, IR1B4
Gene Symbol
PRMT1
Additional PRMT1 Products
Product Documents for PRMT1 Antibody (10W10U4)
Product Specific Notices for PRMT1 Antibody (10W10U4)
This product is for research use only and is not approved for use in humans or in clinical diagnosis. Primary Antibodies are guaranteed for 1 year from date of receipt.
Loading...
Loading...
Loading...
Loading...