Skip to main content

PRAF1 Antibody - BSA Free

Novus Biologicals, part of Bio-Techne | Catalog # NBP2-19921

Novus Biologicals, part of Bio-Techne
Catalog #
Availability
Size / Price
Qty
Loading...
NBP2-19921

Key Product Details

Species Reactivity

Validated:

Human

Predicted:

Bovine (90%), Primate (100%). Backed by our 100% Guarantee.

Applications

Immunohistochemistry, Immunohistochemistry-Paraffin, Western Blot

Label

Unconjugated

Antibody Source

Polyclonal Rabbit IgG

Format

BSA Free

Concentration

Concentrations vary lot to lot. See vial label for concentration. If unlisted please contact technical services.

Product Specifications

Immunogen

Recombinant protein encompassing a sequence within the center region of human PRAF1. The exact sequence is proprietary.

Reactivity Notes

Chimpanzee (100%).

Clonality

Polyclonal

Host

Rabbit

Isotype

IgG

Theoretical MW

54 kDa.
Disclaimer note: The observed molecular weight of the protein may vary from the listed predicted molecular weight due to post translational modifications, post translation cleavages, relative charges, and other experimental factors.

Description

Novus Biologicals Rabbit PRAF1 Antibody - BSA Free (NBP2-19921) is a polyclonal antibody validated for use in IHC and WB. All Novus Biologicals antibodies are covered by our 100% guarantee.

Scientific Data Images for PRAF1 Antibody - BSA Free

Western Blot: PRAF1 Antibody [NBP2-19921]

Western Blot: PRAF1 Antibody [NBP2-19921]

Western Blot: PRAF1 Antibody [NBP2-19921] - Sample (30 ug of whole cell lysate) A: A549 10% SDS PAGE gel, diluted at 1:1000.
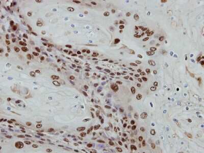
Immunohistochemistry-Paraffin: PRAF1 Antibody [NBP2-19921]

Immunohistochemistry-Paraffin: PRAF1 Antibody [NBP2-19921]

Immunohistochemistry-Paraffin: PRAF1 Antibody [NBP2-19921] - Immunohistochemical analysis of paraffin-embedded Ca922 xenograft, using antibody at 1:500 dilution.

Applications for PRAF1 Antibody - BSA Free

Application
Recommended Usage

Immunohistochemistry

1:100-1:1000

Immunohistochemistry-Paraffin

1:100-1:1000

Western Blot

1:500-1:3000

Formulation, Preparation, and Storage

Purification

Antigen Affinity-purified

Formulation

0.1M Tris, 0.1M Glycine, 20% Glycerol

Format

BSA Free

Preservative

0.01% Thimerosal

Concentration

Concentrations vary lot to lot. See vial label for concentration. If unlisted please contact technical services.

Shipping

The product is shipped with polar packs. Upon receipt, store it immediately at the temperature recommended below.

Stability & Storage

Aliquot and store at -20C or -80C. Avoid freeze-thaw cycles.

Background: PRAF1

DNA-dependent RNA polymerase catalyzes the transcription of DNA into RNA using the four ribonucleoside triphosphates as substrates. Component of RNA polymerase I which synthesizes ribosomal RNA precursors. Appears to be involved in the formation of the initiation complex at the promoter by mediating the interaction between Pol I and UBTF/UBF.

Alternate Names

DNA-directed RNA polymerase I subunit E, DNA-directed RNA polymerase I subunit RPA49, FLJ13390, FLJ13970, FLJ43482, PAF53RNA polymerase I-associated factor 1, polymerase (RNA) I associated factor 1, polymerase (RNA) I polypeptide E, 53kDa, PRAF1, RNA polymerase I associated factor 53, RNA polymerase I subunit A49, RNA polymerase I-associated factor 53, RP11-405L18.3

Gene Symbol

POLR1E

UniProt

Additional PRAF1 Products

Product Documents for PRAF1 Antibody - BSA Free

Certificate of Analysis

To download a Certificate of Analysis, please enter a lot number in the search box below.

Product Specific Notices for PRAF1 Antibody - BSA Free

This product is for research use only and is not approved for use in humans or in clinical diagnosis. Primary Antibodies are guaranteed for 1 year from date of receipt.

Loading...
Loading...
Loading...
Loading...

⚠ WARNING: This product can expose you to chemicals including mercury, which is known to the State of California to cause reproductive toxicity with developmental effects.  For more information go to www.P65Warnings.ca.gov.