PPP2R1B Antibody - BSA Free
Novus Biologicals, part of Bio-Techne | Catalog # NBP1-87251
Key Product Details
Species Reactivity
Human
Applications
Immunohistochemistry, Immunohistochemistry-Paraffin, Western Blot, Immunocytochemistry/ Immunofluorescence
Label
Unconjugated
Antibody Source
Polyclonal Rabbit IgG
Format
BSA Free
Concentration
Concentrations vary lot to lot. See vial label for concentration. If unlisted please contact technical services.
Product Specifications
Immunogen
This antibody was developed against Recombinant Protein corresponding to amino acids: NALQGEVKPVLQKLGQDEDMDVKYFAQEAISVVAQRLRKLEFPVKDSGEPSVPRADKNHFPRPTVPGEDMGKGPVYQLRGDTRDTLAQLGIAELVHFSQSTD
Clonality
Polyclonal
Host
Rabbit
Isotype
IgG
Description
Novus Biologicals Rabbit PPP2R1B Antibody - BSA Free (NBP1-87251) is a polyclonal antibody validated for use in IHC, WB and ICC/IF. All Novus Biologicals antibodies are covered by our 100% guarantee.
Scientific Data Images for PPP2R1B Antibody - BSA Free
Western Blot: PPP2R1B Antibody [NBP1-87251]
Western Blot: PPP2R1B Antibody [NBP1-87251] - Lane 1: Marker [kDa] 230, 130, 95, 72, 56, 36, 28, 17, 11. Lane 2: Human cell line RT-4. Lane 3: Human cell line U-251MG sp. Lane 4: Human plasma (IgG/HSA depleted). Lane 5: Human liver tissue. Lane 6: Human tonsil tissueImmunocytochemistry/ Immunofluorescence: PPP2R1B Antibody [NBP1-87251]
Immunocytochemistry/Immunofluorescence: PPP2R1B Antibody [NBP1-87251] - Staining of human cell line A-431 shows localization to plasma membrane & cytosol. Antibody staining is shown in green.Immunohistochemistry-Paraffin: PPP2R1B Antibody [NBP1-87251]
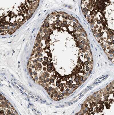
Immunohistochemistry-Paraffin: PPP2R1B Antibody [NBP1-87251] - Staining of human testis shows strong cytoplasmic positivity in cells in seminiferous ducts.Applications for PPP2R1B Antibody - BSA Free
Application
Recommended Usage
Immunocytochemistry/ Immunofluorescence
0.25-2 ug/ml
Immunohistochemistry
1:10-1:500
Immunohistochemistry-Paraffin
1:50-1:200
Western Blot
1:100-1:500
Application Notes
For IHC-Paraffin, HIER pH 6 retrieval is recommended. ICC/IF Fixation Permeabilization: Use PFA/Triton X-100.
Formulation, Preparation, and Storage
Purification
Affinity purified
Formulation
PBS (pH 7.2) and 40% Glycerol
Format
BSA Free
Preservative
0.02% Sodium Azide
Concentration
Concentrations vary lot to lot. See vial label for concentration. If unlisted please contact technical services.
Shipping
The product is shipped with polar packs. Upon receipt, store it immediately at the temperature recommended below.
Stability & Storage
Store at 4C short term. Aliquot and store at -20C long term. Avoid freeze-thaw cycles.
Background: PPP2R1B
Alternate Names
MGC26454, PP2A subunit A isoform PR65-beta, PP2A subunit A isoform R1-beta, PP2A, subunit A, PR65-beta isoform, PP2A, subunit A, R1-beta isoform, PP2A-Abeta, PR65B, protein phosphatase 2 (formerly 2A), regulatory subunit A (PR 65), beta isoform, protein phosphatase 2 (formerly 2A), regulatory subunit A, beta isoform, protein phosphatase 2, regulatory subunit A, beta, protein phosphatase 2, structural/regulatory subunit A, beta, serine/threonine-protein phosphatase 2A 65 kDa regulatory subunit A betaisoform
Gene Symbol
PPP2R1B
Additional PPP2R1B Products
Product Documents for PPP2R1B Antibody - BSA Free
Product Specific Notices for PPP2R1B Antibody - BSA Free
This product is for research use only and is not approved for use in humans or in clinical diagnosis. Primary Antibodies are guaranteed for 1 year from date of receipt.
Loading...
Loading...
Loading...
Loading...